ВХОД ДЛЯ ПАЦИЕНТОВ
вверх
поиск
админ
главная
исходное
|
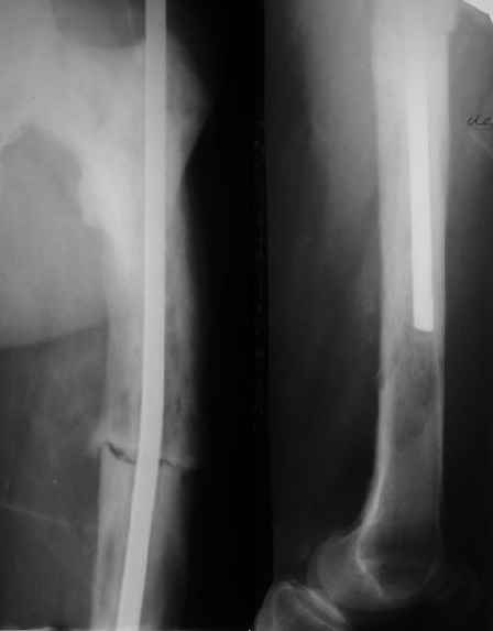
Re: перелом бедра на фоне болезни Педжета
послал Виноградский Александр 08 Декабрь 2007, 22:38
|
Бывали ли кого-нибудь такие случаи, чем это все заканчивалось?

Пациент 82 лет, поступил через 5 мес. с несросшимся переломом после открытого интрамедуллярного остеосинтеза. Выполнили реостеосинтез стержнем 12 мм. ( мах. доступного нам в 2003 г.) Через 4 мес динамизация. В течении 2х лет сращения нет, тем не менее конечность опорна (ходит с тростью). От очередного реостеосинтеза отказались из-за сопутств. патологии.
PS: случай конечно не аналогичный, учитывая первичный открытый остеосинтез.
|
| Послать ответ |
Обратите внимание: Поля с жирными названиями обязательны.
Старайтесь отвечать в рамках обсуждаемой темы, а не начинать новые обсуждения.
Указывайте адекватную тему сообщения, чтобы было ясно, о чем оно.
Не послайте сообщений не по теме (оффтопик), раздраженных, грубых или обидных комментариев. Здесь это неуместно.
|