вверх
отправить
поиск
админ
главная
|
перелом бедра на фоне болезни Педжета |
 |
 |
 |
Отправлено анатолий 07 Декабрь 2007, 15:11 минская обл. больница
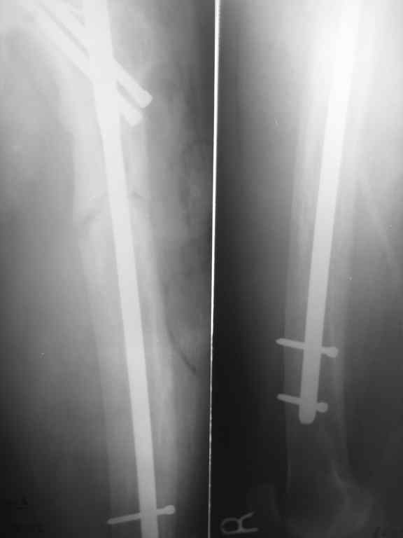
бывали ли у кого-нибудь такие случаи Уважаемые коллеги, вчера прооперировал женщину 60 лет с болезнью Педжета, переломом верхней трети бедра. Выявлена в августе этого года, сломала три дня назад от небольшого усилия. Из сопутствующих болезней лейкоз, сахарный диабет. Бывали ли кого-нибудь такие случаи, чем это все заканчивалось?
<
|
>
|
|
Ответить
|
Re: перелом бедра на фоне болезни Педжета
Виноградский Александр 08 Декабрь 2007, 22:38
|
Бывали ли кого-нибудь такие случаи, чем это все заканчивалось?

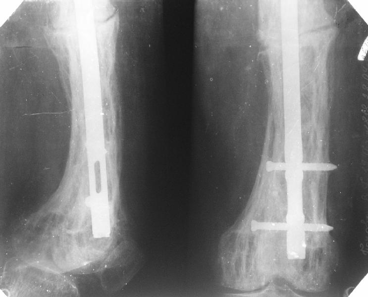
Пациент 82 лет, поступил через 5 мес. с несросшимся переломом после открытого интрамедуллярного остеосинтеза. Выполнили реостеосинтез стержнем 12 мм. ( мах. доступного нам в 2003 г.) Через 4 мес динамизация. В течении 2х лет сращения нет, тем не менее конечность опорна (ходит с тростью). От очередного реостеосинтеза отказались из-за сопутств. патологии.
PS: случай конечно не аналогичный, учитывая первичный открытый остеосинтез.
|
[
Ответить ]
|
Re: перелом бедра на фоне болезни Педжета
Отправитель: анатолий 08 Декабрь 2007, 23:38
|
спасибо. хотя, видно, перспективы не радужные. как думаете через сколько динаминизировать. Думаю это сделать удалив нижние винты
|
[
Ответить ]
|
Re: перелом бедра на фоне болезни Педжета
Отправитель: Виноградский Александр 09 Декабрь 2007, 13:29
|
< как думаете через сколько динаминизировать
месяца в 3-4, если дистальные винты не сломаются раньше
|
[
Ответить ]
|
|
Re: перелом бедра на фоне болезни Педжета
Alexander Chelnokov 09 Декабрь 2007, 10:50
|

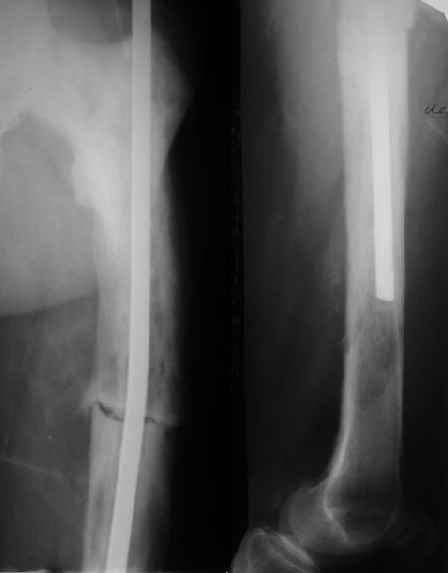
Еще один пример. Пациентка с юга России, прислала рентгенограммы через год. На сегодня прошло 2 г. 8 мес. после операции. Несмотря на не очень убедительный процесс сращения, пациентка ходит. Учитывая остеопороз при Педжете, решили, что динамизировать вообще не нужно.
|
[
Ответить ]
|
Re: перелом бедра на фоне болезни Педжета
анатолий 09 Декабрь 2007, 21:07
|
спасибо, перспективы видно не радужные. Хотелось бы узнать когда динаминизировать, думаю это сделать через 2-3 месяца удалив нижние винты
|
[
Ответить ]
|
Re: перелом бедра на фоне болезни Педжета
Анатолий 10 Декабрь 2007, 12:31
|
При переломах на фоне болезни Педжета металлоконструкция часто служит эндопротезом, несущим нагрузку. Динамизация индивидуальна,- по рентген-динамике. Основной упор- на медикаментозную терапию- см. канд. дисс. Колондаева А.Ф.
Стержень можно было бы поставить подлиннее.
С уважением, Анатолий Баранецкий.
|
[
Ответить ]
|
Re: перелом бедра на фоне болезни Педжета
А.Ф. Колондаев 06 Январь 2008, 00:36
|
Анатолий Леонидович Баранецкий совершенно прав. Сращения ждать надо очень долго (несколько лет). Главное - гвоздь попрочнее и потолще. Раньше использовали мощный 4-гранный штифт ЦИТО. Можно и гвоздь с блокированием (блокировать только с одной стороны) - но ни в коем случае не полый. И ходить с тростью. Сейчас в России зарегистрирован очень хороший препарат (с декабря 2006 г.) - Акласта, по 100 мл - обычно хватает 1 (реже двух) инфузии для полной ремиссии (в Белоруссии он появился даже раньше, чем на Украине и в Россиии). Немного хуже Аредия, ее надо в сумме 180-240 мг, полная эффективность 84%. Все в\в кап. бисфосфонаты вызывают выраженную гипокальциемию. Поэтому приходится назначать по нескольку лет альфакальцидол под контролем Са крови (каждые 3-6 мес). Сперва по 6-8 капсул (капель), т.е 1,5-2,0 мкг, затем через 2-4 месяца - по 0,5-0,75 мкг. Препараты Са по 1-2 гр. в день, очень долго.
Кстати, при метастатических поражениях костей или вторичном остеопорозе на фоне лейкоза можно перелить Зомету (это тот же золедронат, что и Акласта, только зарегистрированный по-другому).
Подбор дозы - при выраженной ХПН.
|
[
Ответить ]
|
Re: перелом бедра на фоне болезни Педжета
Отправитель: анатолий 06 Январь 2008, 00:57
|
вот за это спасибо, очень подробно.
|
[
Ответить ]
|
|
( Ответить )
|
|