вверх
отправить
поиск
админ
главная
|
Контрактура локтевого сустава |
 |
 |
 |
Отправлено Sergey Melashenko 18 Декабрь 2007, 21:46
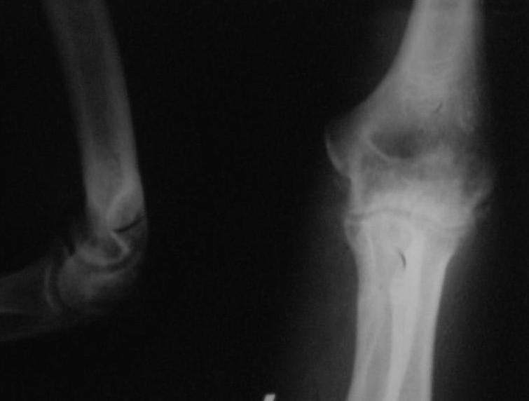
Поступил пациент, 47 лет. травма 15 сентября - вывих предплечья, репозиция. Фиксация 1 месяц. До настоящего времени не обращался. Вот рентенограммы на 2-й и 3-й месяцы после травмы. Неврологии нет. Имеется контрактура локтевого сустава (сгибиние 90, разгибание 120). На снимках что-то похожее на гетеротопические оссификаты, такое впечатление. Как лучше восстановить функцию, возможно ли применить редрессацию? Все-таки локтевой сустав "капризный".С ув. Sergey Melashenko, г. Запорожье
<
|
>
|
|
Ответить
|
Re: Контрактура локтевого сустава
Антон Бехтерев 19 Декабрь 2007, 11:22
|
Для суждения о гетеротопических оссификациях нужны снимки хорошего качества, а не то, что есть. Или преобразуйте их в photoshop.
Редрессация ничего не даст. Поробуйте применить аппараты для пассивной разработки двжиений в суставах типа Artromot. http://www.ormed.com.ru/k3.html
|
[
Ответить ]
|
Re: Контрактура локтевого сустава
Leonid Solomin 19 Декабрь 2007, 20:36
|
Уважаемый Sergey Melashenko:
Мы бы в подобной ситуации использовали шарнирный чрескостный аппарат.
Особенностями наложения, ведения послеоперационного при необходимости с удовольствием поделимся.
Всего наилучшего,
Л.Соломин
|
[
Ответить ]
|
Re: Контрактура локтевого сустава
Nikita Zadneprovsky 19 Декабрь 2007, 20:37
|
LS> Мы бы в подобной ситуации использовали шарнирный чрескостный аппарат.
LS> Особенностями наложения, ведения послеоперационного при необходимости
LS> с удовольствием поделимся.
Действительно, наложение наружного шарнирного аппарата, наверно самый
реальный путь реабилитации локтевого сустава, так называемый "closed distraction
arthrolysis". Зарубежные коллеги применяют "A Hinged External Fixator
for the Elbow" (Oper Orthop Traumatol 2006 · No. 1 © Urban & Vogel, Werner Kolb,
Hanno Guhlmann, Eberhard Markgraf, Klaus Kolb). Где показаниями
являются:
• Elbow dislocations with persistent sagittal instability
in 90° flexion after reduction.
• Persistent instability at 90° flexion following closed
or open dislocation fractures.
• Persistent instability at 90° flexion following reconstructive
procedures such as internal fixation, arthrolysis,
ligament reconstruction, and graft arthroplasty.
• Posttraumatic joint stiffness.
Но самая закавыка получается с нахождением оси вращения сустава,
которую за рубежом решают при помощи image intensifier. Каким образом
решаете эту проблему Вы, в условиях, например, отсутствия ЭОПа?
--
С уважением, Заднепровский Никита Николаевич
|
[
Ответить ]
|
Re: Контрактура локтевого сустава
Отправитель: Sergey Melashenko 20 Декабрь 2007, 02:52
|
Если быть откровенным, мы уже и не помним, когда у нас производили такой ВЧКДО. Особого опыта нет. Есть ли альтернативные варианты?
|
[
Ответить ]
|
Re: Контрактура локтевого сустава
Отправитель: Leonid Solomin 20 Декабрь 2007, 19:15
|
Когда не было ЭОПа использовали метод, предложенный глубокоуважаемыми Мстиславом Васильевичем и Оганезом Вардановичем: Рг делали с металлической сеткой, а шарниры потом ставили в проекции "правильных"
ячеек.
Всего наилучшего,
Л. Соломин
|
[
Ответить ]
|
Re: Контрактура локтевого сустава
Отправитель: В.Машталов 20 Декабрь 2007, 19:16
|
Проводили осевую спицу через центр ротации, которая в их аппаратах проходит и фиксируется через центр шарниров.
Мы использвоали несколько раз. После снятия аппарата терялся объем движения, достигнутый в нем, на 30%.
В.Машталов
|
[
Ответить ]
|
Re: Контрактура локтевого сустава
Отправитель: Никита Заднепровский 20 Декабрь 2007, 19:18
|
В одном из журналов по травматологии и ортопедии еще тех, далеких советских времен, я читал статью, где предлагался метод "сеток", но только при определении точного местонахождения инородных тел в мягких тканях.
Сетку прокрашивали, прижимали к участку тела, делали снимок ... при отделении сетки, на коже оставался "штамп" соответствующий оному на рентгеновском снимке. Ну, и соответственно проводилась "рекогносцировка на местности". Авторов не помню (давно это было ;))
С уважением, Заднепровский Никита Николаевич
|
[
Ответить ]
|
|
Re: Контрактура локтевого сустава
Markushevich Michael 20 Декабрь 2007, 22:24
|
Dear colleguaes! I almost sure this elbow after dislocation and clouse readuction treatment.Despite pure quality of x-ray picture
I suspect small detachment fragment from coronal process.He is lucky guy that haven't instability.
In other side stiff elbow isn't happy prise in the life. In this case I would like to go to open arthrorisis(Column operation ) release anterior joint capsula and after that if you achieve range of movment good on the operation table can use physiotherapy-active assistance exersise and Univerasal elbow brace fixation. If you have not acceptable movement in the operation ( I mean in this case flexion extension 70-150 wiil be good)
I strongly recomend to use hinge solution monolateral or frame. Not necessary insert axial KW.You can use exteranal hing in the ORTHOFIX or COMPAS apparatus.
Good luck,Michael.
|
[
Ответить ]
|
Re: Контрактура локтевого сустава
Отправитель: Pepp 31 Декабрь 2007, 12:18
|
Миша, привет. Это Керцелли Александр.
Причина данного, это фиксация сустава на целый месяц. При вывихе локтевого сустава, если помнишь, рекомендуют моментальную активизацию с разгибанием до момента пока сустав вновь не дислоцируется. Это производится с помощью наружного аппарата с угловыми направляющими. И устанавливается аппарат на разгибание до момента дислокации сустава, с дальнейшим увеличением угла разгибания постепенно.
На мой взгляд, рановато лезть в сустав и делать рассечение спаек. Ты можешь только усугубить ситуацию. Адгезиолизис можно попробовать под наркозом без вскрытия сустава. Кстати под наркозом можно увидеть, действительно ли это спаечный процесс или сам пациент ограничивает движения из-за боли.
|
[
Ответить ]
|
|
( Ответить )
|
|