ВХОД ДЛЯ ПАЦИЕНТОВ
вверх
поиск
админ
главная
исходное
последующие
|
Re: Снимок плечевого сустава
послал Зинчук Игорь 04 Январь 2008, 19:13
|
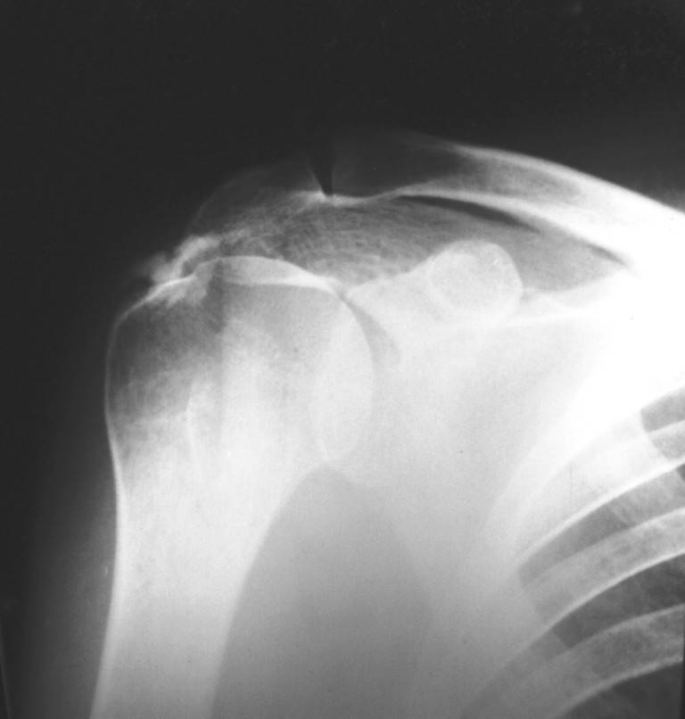
Снимок проводился с целью контроля. Больная обратилась по поводу аналогичного процесса только в левом плече. Я попросил сделать снимок также и правого сустава, так как лечил её в 2003г. с аналогичным диагнозом, но только с правой стороны.
По поводу качества я согласен, но я не могу заставлять больную платить деньги за снимки сделанные на качественном оборудовании, если она может сделать бесплатно в поликлинике...

По вашей просьбе размещаю снимок 2003г.
|
| Послать ответ |
Обратите внимание: Поля с жирными названиями обязательны.
Старайтесь отвечать в рамках обсуждаемой темы, а не начинать новые обсуждения.
Указывайте адекватную тему сообщения, чтобы было ясно, о чем оно.
Не послайте сообщений не по теме (оффтопик), раздраженных, грубых или обидных комментариев. Здесь это неуместно.
|