AOTRAUMA.ORG Центр Илизарова  

Ортопедия и травматология Общие вопросы/General questions Help Информационные технологии в медицине
 вверх
 отправить
 поиск
 админ
 главная
 Предыдущее


Re: Снимок плечевого сустава
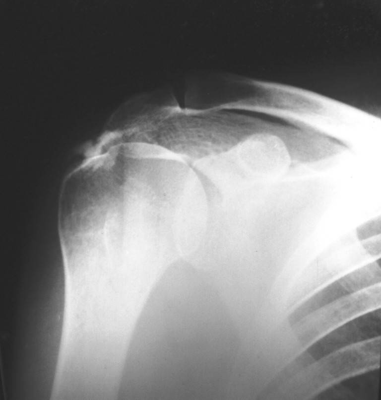
Андрей Верховский 04 Январь 2008, 09:12
"Жалоб на функцию правого плечевого сустава не предъявляет, движения в полном объеме, активные и пассивные без ограничений и боли.снимок был проведен с целью контроля состояния сустава, так как больная в 2003 году проходила у меня лечение по поводу правостороннего осифицирующего тендинита надостной мышцы." - все таки непонятно, с какой целью сделана рентгенография, и были ли ли для нее показания. К сожалению снимок не позволяет что либо судить конкретно (скорее всего качество потеряно при переформатировании). Конечно желательно бы разместить старые и свежие снимки хорошего качества.
  • Сообщения о Ортопедия и травматология
  • Также Андрей Верховский
  • Связаться с автором
  • Ответить

    Re: Снимок плечевого сустава
    Зинчук Игорь 04 Январь 2008, 19:13
    Снимок проводился с целью контроля. Больная обратилась по поводу аналогичного процесса только в левом плече. Я попросил сделать снимок также и правого сустава, так как лечил её в 2003г. с аналогичным диагнозом, но только с правой стороны.
    По поводу качества я согласен, но я не могу заставлять больную платить деньги за снимки сделанные на качественном оборудовании, если она может сделать бесплатно в поликлинике...



    По вашей просьбе размещаю снимок 2003г.



    [ Ответить ]


    ( Ответить )

    Powered by Zope  Squishdot Powered MedLink
    Посетитель: 0151316
      "По форме правильно, а по существу - издевательство" В.И.Ленин
    ©2001-2019Orthoforum Coordinator.
    [ Главная | Отправить сообщение | Поиск | Админ ]