AOTRAUMA.ORG Центр Илизарова  

Ортопедия и травматология Общие вопросы/General questions Help Информационные технологии в медицине
 вверх
 отправить
 поиск
 админ
 главная
 Предыдущее


Re: Лечение пролежней
Дмитрий Кравцов 18 Январь 2008, 19:30
Уважаемый коллега!
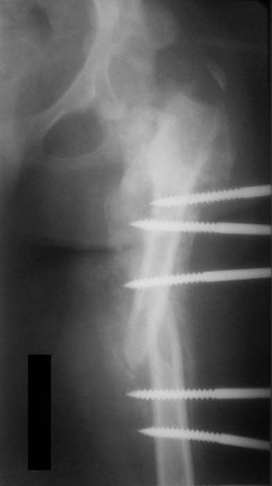
Хотелось бы увидеть рану с разных ракурсов и рентгенограммы таза и бедра. Тогда можно создать представление о площади и глубине раны.
С уважением!
  • Сообщения о Ортопедия и травматология
  • Также Дмитрий Кравцов
  • Связаться с автором
  • Ответить

    Re: Лечение пролежней
    Тарасов Сергей 22 Январь 2008, 01:23
















    К сожалению, на выходных выбило розетки в палате, отключилась противопролежневая система...(
    Двух суток хватило, чтобы на хорошей гранулирующей ране появились продолженные некрозы. Так что теперь вопрос с пластикой отпал, придётся делать очередную некрэктомию((

    [ Ответить ]

    • Re: Лечение пролежней
      Отправитель: Рунков А.В. 26 Январь 2008, 22:13
      К сожалению, на выходных выбило розетки в палате, отключилась противопролежневая система...(
      Двух суток хватило, чтобы на хорошей гранулирующей ране появились продолженные некрозы.


      Можно наложить простейший аппарат таз-бедро и подвесить больного (он с ним и ходить сможет), а потом спокойно перемещать лоскуты.


      [ Ответить ]
      • Re: Лечение пролежней
        Отправитель: Тарасов Сергей 28 Январь 2008, 19:11
        >Можно наложить простейший аппарат таз-бедро и подвесить больного

        Такая мысль тоже приходила. Не решились, так как:1.Выраженный остеопороз костей таза и бедра, больная тучная - высок риск того, что стержни не выдержат. 2.Сейчас больная передвигается в инвалидном кресле - хоть какая-никакая, а динамизация. Если лишить её этой возможности - застойная пневмония со всеми вытекающими...

        >(он с ним и ходить сможет)

        К сожалению, не сможет - у неё давнее повреждение спинного мозга с нижней параплегией

        [ Ответить ]

     

    ( Ответить )

    Powered by Zope  Squishdot Powered MedLink
    Посетитель: 0017919
      "По форме правильно, а по существу - издевательство" В.И.Ленин
    ©2001-2019Orthoforum Coordinator.
    [ Главная | Отправить сообщение | Поиск | Админ ]