ВХОД ДЛЯ ПАЦИЕНТОВ
вверх
поиск
админ
главная
исходное
|
Re: Застарелое повреждение таза
послал Андрей Казанцев 16 Январь 2008, 20:13
|
Дорогой Андрей. Мы имеем дело с комбинированной (ротационно и вертикально) нестабильностью таза со смещением правого гнемипелвиса. При таких переломах, фиксация только переднего полукольца вне зависимости от метода фиксации, как уже было сказано Djoldas Kuldjanov, M.D., не может создать адекватной фиксации. И перелом пластины был вполне ожидаемым после активизации пациента. Смещение сохраняется, и по-видимому не 2 см., а все 4, если не более. Разница всего (+2 см) по конечностям как вы указываете, скорее скомпенсировано позвоночником и протезом. Дополнительные снимки или КТ исследование помогли бы уточнить степень смещения с точностью до мм., выявить перелом поперечного отростка пятого поясничного позвонка, или помимо разрыва правого крестцово-подвздошного сочленения выявить перелом боковой массы крестца справа и т.д. При возможности, конечно, все это желательно сделать. Но мало что изменится с практической точки зрения, т.к. задача - это низведение репозиция и надежная фиксация правого гемипелвиса. Учитывая плачевный опыт стержневого аппарата, давность травмы совершенно очевидно, что поставленная задача достижима при открытой репозиции и одномоментной фиксации переднего полукольца с артродезированием правого крестцово-подвздошного сустава. Операция выполняется в положении больного на здоровом боку или полубоку из расширенного трансоссального подвздошно-пахового доступа с переходом на лонное сочленение доступом по Pfannenstiel. Указанный доступ обеспечивает подход к крестцово-подвздошному сочленению как спереди так и сзади. После артродезирования выполняется синтез лонного сочленения. Клинический пример
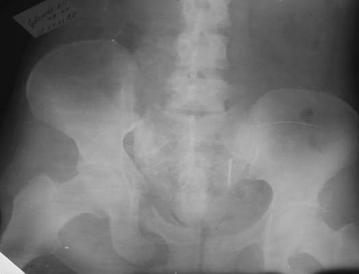
Пациентка С.26 лет. Травма за 6 месяцев до поступления
Укорочение правой нижней конечности до 10см

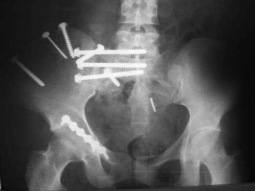
23.09.2003. Одновременный остеосинтез переднего и заднего тазовых полуколец
Результат через 10 дней

и 8месяцев после операции
|
| Послать ответ |
Обратите внимание: Поля с жирными названиями обязательны.
Старайтесь отвечать в рамках обсуждаемой темы, а не начинать новые обсуждения.
Указывайте адекватную тему сообщения, чтобы было ясно, о чем оно.
Не послайте сообщений не по теме (оффтопик), раздраженных, грубых или обидных комментариев. Здесь это неуместно.
|