вверх
отправить
поиск
админ
главная
Предыдущее
|
Re: Застарелое повреждение таза
Андрей Казанцев 17 Январь 2008, 18:07
|
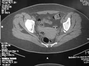
Это наблюдение 5-летней давности тогда кровопотеря составила 2,5 литра. В настоящий момент мы теряем не более 0,7-1,5 литров при одностороннем повреждении и около 2,5-3 литров тогда, когда речь идет о двусторонних повреждениях. Клинический пример.
Что касается доступа и остеотомии прикладываю пат.анатомический материал сделанный моим аспирантом Тер-Григоряном.
|
|
|
Ответить
|
Re: Застарелое повреждение таза
Миронов Андрей 18 Январь 2008, 21:55
|
Спасибо за клинические примеры и комментарии. Если честно то просто восхищен представлеными R-ммами (классно сделали!!!). По поводу обсуждаемого больного: конечно КТ и дополнительные R-ммы сделаем. Но хочу напомнить, что после травмы прошло более 6 лет, на сегодняшний день клинически еще и R-ки признаки нестабильности эндопротеза( как бедренного компонента так и чашки). Хочется определиться как делать в аппарате или одномоментно открыто. Лично я склоняюсь к аппаратному лечению на первом этапе.
Ув.коллеги помогите еще вот в каком вопросе: у нас нет R-негативного стола. Зато новый ЭОП. Как вы проводите илиосакральные винты? хотябы кратенько методику.
|
[
Ответить ]
|
Re: Застарелое повреждение таза
Отправитель: Maxim Agalakov 19 Январь 2008, 11:42
|
> хочу напомнить, что после травмы прошло более 6 лет, на сегодняшний
прилагаю пример с такой же давностью травмы, репонировали аппаратом

> в аппарате или одномоментно открыто. Лично я склоняюсь к аппаратному лечению на первом этапе.
задача непростая, если мало опыта в этом деле, подумайте еще раз
> Ув.коллеги помогите еще вот в каком вопросе: у нас нет
> R-негативного стола. Зато новый ЭОП. Как вы проводите илиосакральные
> винты? хотябы кратенько методику.
стаскиваете пациента вниз, кладете под ноги какую-нибудь подставку, а дальше как обычно, можно , например, прочитать здесь
С уважением,
Maxim
|
[
Ответить ]
|
Re: Застарелое повреждение таза
Отправитель: Миронов Андрей 19 Январь 2008, 19:36
|
Спасибо, Максим. Еще раз все взвесим, думаю, наши местные матерые травматологи возьмутся. Сам пока не рискну, опыта моловато. Почему так подробно выспрашиваю, потому что на местном клиническом разборе с пеной у рта доказывали, что хватит передней рамы и пластинку заменить. А теперь можно не только на словах, но и наглядно показать, как нажно делать.
|
[
Ответить ]
|
|
( Ответить )
|
|