Ответить
|
Re: post-nailing fracture
Enes M. Kanlic 17 Январь 2008, 00:36
|
Dr. Reverberi
In my opinion:
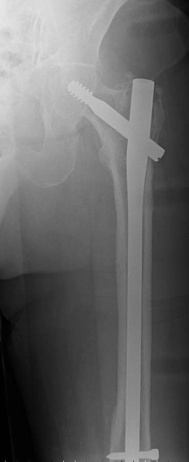
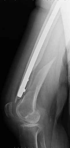
- It is an long, spiral, metaphyseal fracture – very good chance of healing (will not be any need for any bone cement…bone substitute – filler)
- I would use: distal femoral locking plate with few cerclage wires in midsegment and some unicortical locked screws and cerclage wires proximal…
Sincerely,
Enes M. Kanlic, MD, FACS
Professor
|
[
Ответить ]
|
Re: post-nailing fracture
Wojciech Glinkowski 17 Январь 2008, 00:40
|
Dear Sandro,
I would consider retrograde femoral interlocking nail after Gamma nail removal during the same surgery.
In my opinion the femoral bone looks osteoporotic, but no bone defect is visible to justify bone cement.
General condition of the patient may influence on size of your surgical intervention.
Plating with unicortical screws on osteoporotic bone will not probably stable fix this fracture. Early destabilization may occur when patient
begins to walk and unfortunately step on her foot.
With regards
Wojciech Glinkowski MD, PhD
Chair and Department of Orthopedics and Traumatology of Locomotor System
Center of Excellence "TeleOrto"
Medical University
Warsaw, Poland
|
[
Ответить ]
|
Re: post-nailing fracture
Отправитель: Alexander Chelnokov 17 Январь 2008, 00:49
|
Wojciech Glinkowski пишет:
> > I would consider retrograde femoral interlocking nail after Gamma nail
> > removal during the same surgery.
If we have a ready entry point after the gamma removal why perforate the intact knee for another entry - why not just insert a longer antegrade
nail? We definitely would do this. Of course retrograde nailing as well as locked plating would do the job but antegrade nailing in this case is
least invasive among mentioned options.
|
[
Ответить ]
|
Re: post-nailing fracture
Отправитель: Enes Kanlic 17 Январь 2008, 12:19
|
If I may again:
1. Removal of the nail in elderly, frail lady is not a small procedure (timing and blood loss)
2. It is hard to do "good fixation" of distal fracture through antegrade approach.... and probably distal incision (more than just
for distal locking) would have to be made anyway (reduction, cerclage wires...).
3. Retrograde nail (small diameter in large bone) does not allow for good, stable fixation (often malalignment) and early weight bearing (I have seen the locking screws and nail cutting through the distal femur into the knee joint - in osteoporotic bone, heavy persons)
4. We could treat this fracture like there is no a nail - new locking plates allow for secure fixation.... two similar cases are attached...

5. Immediate full weight bearing after this type of fracture is in my opinion to risky - I would suggest rather minimal.... or not at all (just transfers in wheelchair for about six weeks, until some healing happens).
Sincerely,
Enes M. Kanlic, MD, FACS
Professor
|
[
Ответить ]
|
Re: post-nailing fracture
Отправитель: Wojciech Glinkowski 18 Январь 2008, 01:37
|
Dear all,
Interesting discussion, Thx.
Play with osteoporotic bone is always the challenge.
Images sent by Professor Kanlic look nice, very good job. Excellent achorage in distal fragment. However, unicortical screwing or bicortical
makes a difference, also for locked screws. Proximal fragment unicortical fixation may present stability not easlily predictable. Certainly its stability for wheelchair should be sufficient. Full weight bearing can not be mentioned for this case. If minimal bearing is allowed full weight
single step may happen in elderly.
Gamma nail exchange may probably fit the criteria of optimal and minimal invasivness, indeed. Removal could be relatively fast due to large intramedullary diameter seen on X-ray.
I do agree that distal locking of the nail in distal femur remains critical.
Best regards
Wojciech Glinkowski
|
[
Ответить ]
|
Re: post-nailing fracture
Отправитель: Marco Berlusconi 18 Январь 2008, 01:38
|
Our experience with locking plates in osteoporoticbone and weight bearing is that there's no difference with a nail. the old patient start walking with crutches and 20kg weight bearing as the general conditions are good as for the nail. In this case 13 holes LISS with at least 8 cortex proximally
best regards
|
[
Ответить ]
|
Re: post-nailing fracture
Отправитель: Marco Berlusconi 18 Январь 2008, 01:41
|
As you know the strain theory of Perren says that a narrow line of fracture should have absolute stability especially in this porotic bone. So the
option of a longer nail with 2 screws in will not give an absolute stability; it should go if it was a multiragmentary pattern of fracture.
best regards
marco berlusconi
|
[
Ответить ]
|
|
Re: post-nailing fracture
Marco Berlusconi 17 Январь 2008, 00:44
|
Dear Sir, in my opinion it's better to take off the gamma nail, anatomically reduce the spiral with 2 lag screws, and fix the shaft fracture with a LISS-LCP 13 holes. No bone graft. Immediate mobilization and weight bearing.
Best regards
Marco Berlusconi
Trauma Unit
Milan
|
[
Ответить ]
|
Re: post-nailing fracture
Adonin Sergiy 17 Январь 2008, 10:47
|
I completely agree with Dr Wojciech Glinkowski. I would also do a retrograde nailingfor this patient.
unfortunately , I don't have any expirience with minimally invasive femoral locking plating and can't judje this technique. Anterograde nailing in this particular case will be definately inferior to retrograde one in terms of quality of distal bone purchase, central positioning of the implant in the medullary canal and, thereby, fracture reduction
|
[
Ответить ]
|
Re: post-nailing fracture
Dino Aguilar 17 Январь 2008, 11:09
|
Remove gamma nail, proceed for a supracondylar nail.
Regards.
Dino Aguilar
|
[
Ответить ]
|
Re: post-nailing fracture
Wojciech Glinkowski 17 Январь 2008, 12:36
|
Dear all,
Interesting discussion, Thx.
Play with osteoporotic bone is always the challenge.
Images sent by Professor Kanlic look nice, very good job. Excellent achorage in distal fragment. However, unicortical screwing or bicortical makes a difference, also for locked screws. Proximal fragment unicortical fixation may present stability not easlily predictable. Certainly its
stability for wheelchair should be sufficient. Full weight bearing can not be mentioned for this case. If minimal bearing is allowed full weight
single step may happen in elderly.
Gamma nail exchange may probably fit the criteria of optimal and minimal invasivness, indeed. Removal could be relatively fast due to large
intramedullary diameter seen on X-ray.
I do agree that distal locking of the nail in distal femur remains critical.
Best regards
Wojciech Glinkowski
|
[
Ответить ]
|
Re: post-nailing fracture
Michael Markushevich 18 Январь 2008, 18:36
|
Good day dears colleguaes! In this case I'd like to use distal femoral lock plate with locking across nail through two holes of nail and number monocortical screws on proximal fragment. This technique demand some skill but be posible.
Good luck! Best regards Michael.
|
[
Ответить ]
|
Re: post-nailing fracture
олег 17 Февраль 2008, 02:46
|
можна дати дистракцыю та зкомпресувати в кiльцi iлiзарова + лiжковий режим
|
[
Ответить ]
|
( Ответить )
|