AOTRAUMA.ORG Центр Илизарова  

Ортопедия и травматология Общие вопросы/General questions Help Информационные технологии в медицине
 вверх
 отправить
 поиск
 админ
 главная


Перелом бедра
Ортопедия и травматология Отправлено Станислав Дмитриев 17 Январь 2008, 23:00
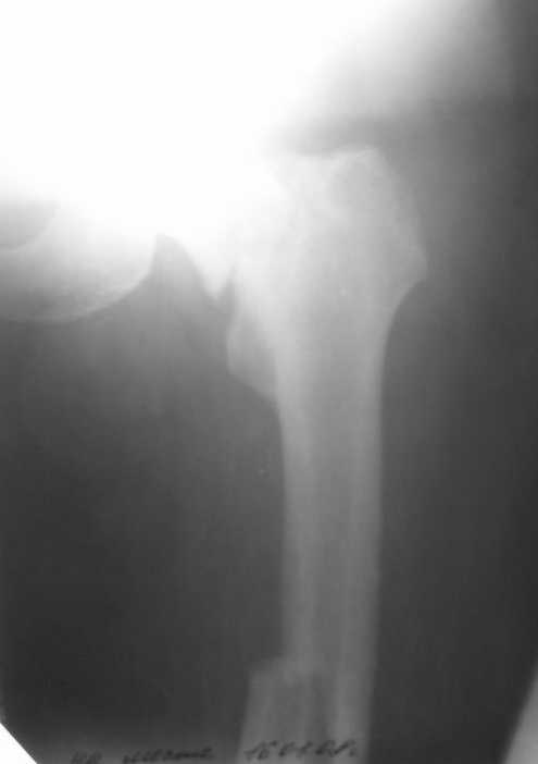
Уважаемые коллеги! Поступил пациент 46 лет после автоаварии от 3.01.
Лечился в ЦРБ. К нам поступил вчера. Имеется оскольчатый перелом диафиза левого бедра, перелом медиального мыщелка, краевой перелом надколенника. У нас, кроме того, выявили перелом шейки бедра. Перелом закрытый, имеется рана в в/3 голени(ниже уровня бугристости б/берцовой кости)без признаков инфицирования.Планируем закрыто фиксировать мыщелок и надколенник винтами, затем закрыто заштифтовать бедро. Вопрос возник по перелому шейки: что предпочесть - длинный PFN или DFN + DHS на шейку?Буду благодарен за ценные советы.С уважением, Станислав Дмитриев.

<  |  >

 

  • Сообщения о Ортопедия и травматология
  • Также Станислав Дмитриев
  • Связаться с автором
  • Ответить

    Re: Перелом бедра
    Павел Плотников. 18 Январь 2008, 00:19
    Уважаемый Станислав, на мой взгляд в данной ситуации следует использовать длинный PFN, или длинный Gamma-стержень. Остеосинтез DHS увеличивает (и без того высокий в данной ситуации) риск развития аваскулярного некроза шейки бедра.
    С уважением Павел Плотников
    [ Ответить ]

    • Re: Перелом бедра
      Отправитель: Alexey Semenisty 19 Январь 2008, 01:38
      Павел, а за счет чего при использовании DHS риск AVN больше, чем при PFN или Gamma?

      [ Ответить ]
      • Re: Перелом бедра
        Отправитель: Павел Плотников 19 Январь 2008, 22:28
        Малотравматичный доступ, более стабильная фиксация.

        [ Ответить ]
        • Re: Перелом бедра
          Отправитель: Alexey Semenisty 20 Январь 2008, 17:31
          Доступ для DHS совсем не нужно делать 10-15 см, нам хватает 3-4 см кожного разреза, так, что суммарная длина и травматичность доступов для PFN больше, чем для DHS. Во-вторых, формирование дырки в 17-мм в большом вертеле и интрамедуллярное введение штифта досточно травматично и может ухудшить кровоснабжение шейки и головки. В-третьих, для данного перелома шейки стабильность, которую можно достичь с DHS, вполне достаточна.

          С уважением, А.Семенистый.
          ГКБ № 13, Москва.

          [ Ответить ]
    Re: Перелом бедра
    Станислав Дмитриев 18 Январь 2008, 00:34
    Заранее приношу извинения за качество снимков. То что есть - либо из ЦРБ, либо сделано в приемном покое, где дежурят рентгенлаборанты различной квалификации. Завтра постараемся сделать снимки всего бедра на длинные кассеты в 2 проекциях. Сейчас больной на скелетном вытяжении. Состояние стабильное.
    [ Ответить ]

    Re: Перелом бедра
    Павел Н-Н. 18 Январь 2008, 00:35
    Советую---DFN + DHS на шейку.Мыщелок 3 винтами.
    [ Ответить ]

    • Re: Перелом бедра
      Отправитель: Станислав Дмитриев 18 Январь 2008, 08:57
      Я тоже склоняюсь к такой версии.Перелом практически базальный, тип Пауэлс 3 - однозначно нужна угловая стабильность - ни о каких спонгиозных винтах речи нет. Возраст 46 лет, т.е. достаточно молодой - насчет ас. некроза. Накладку DHS вероятно придется ставить монокортикально - штифт получается до малого вертела. Померили расположение имплантов - что называется "стык в стык".
      Насчет PFN. Заблокировать проксимальный отломок диафиза будет проблематично.Как репонировать шейку при неблокированном верхнем диафизарном фрагменте? У PFN проксимальный блокирующий диафизарный винт при введении "конфликтует" с нижним шеечным винтом. Фиксация шейки на одном верхнем винте,на мой взгляд, недостаточна. Затем, помню высказывания на форуме Джолдаса Кульджанова на счет ипсилатеральных переломов, о том что "лечить" их надо "по отдельности".Там же были картинки со сломанными шеечными винтами PFN. К сожалению ссылку дать не могу.

      [ Ответить ]
      • Re: Перелом бедра
        Отправитель: Alexey Semenisty 19 Январь 2008, 02:08
        Станислав, Ваш вариант вполне приемлим, хотя длинная Gamma или PFNA будет дешевле и нехуже (если сравнивать оригинальные имплантаты).
        Но есть несколько вопросов:

        > . Накладку DHS вероятно придется ставить монокортикально -


        Это будет нвый DHHS Synthes со спиральным лезвием и диафизарной накладкой в LCP-дизайне? если "да", то это отлично!



        > У PFN проксимальный блокирующий диафизарный винт при введении
        > "конфликтует" с нижним шеечным винтом.


        как это понять? можете привести примеры?


        > Фиксация шейки на одном верхнем винте,на мой взгляд, недостаточна.

        А это как???

        А что Вы скажете о Gamma or PFNA ? Доступны ли они у вас?

        > Затем, помню высказывания на форуме Джолдаса Кульджанова на счет
        > ипсилатеральных переломов, о том что "лечить" их надо "по отдельности".Там
        > же были картинки со сломанными шеечными винтами PFN.



        Там были картинки с мигрировавшим шеечным винтом, но не с PFN, а с реконструктивным штифтом



        > К сожалению ссылку дать не могу.


        http://weborto.net/forum/1186880147/1186881306/

        С уважением, А.Семенистый.
        ГКБ № 13, Москва.

        [ Ответить ]
        • Re: Перелом бедра
          Отправитель: Станислав Дмитриев 19 Январь 2008, 22:14
          > У PFN проксимальный блокирующий диафизарный винт при введении
          > "конфликтует" с нижним шеечным винтом.

          >Это будет новый DHHS Synthes со спиральным лезвием и диафизарной накладкой в LCP-дизайне? если "да", то это отлично!
          Это было бы чудесно, но кроме отца в отделении лежит еще и его 19-летний сын с таким же переломом только одного диафиза бедра. Боюсь мамашка "не потянет" такие расходы на металл, хотя это и два самых любимых человека.

          >как это понять? можете привести примеры?

          Т.е. отверстия у "стандартного" - не PFN-A- расположены так, что винт вводится либо поперечно в диафиз, либо под углом 135 в шейку(нижний шеечный. Или не так?

          >были картинки со сломанными шеечными винтами PFN.

          http://www.weborto.net/forum/1199791715/index_html#1200169717 - в ответе Джолдаса - имел ввиду эти снимки





          [ Ответить ]
          • Re: Перелом бедра
            Отправитель: Alexey Semenisty 20 Январь 2008, 17:22

            Т.е. отверстия у "стандартного" - не PFN-A- расположены так, что винт
            вводится либо поперечно в диафиз, либо под углом 135 в шейку(нижний
            шеечный. Или не так?


            Конечно не так! Нет никаких поперечных винтов ни у PFNA ни у PFN, или Вы какой-то другой штифт имеете в виду.


            >были картинки со сломанными шеечными винтами PFN.

            http://www.weborto.net/forum/1199791715/index_html#1200169717 - в ответе
            Джолдаса - имел ввиду эти снимки



            Это обычный UFN.
            С уважением, А.Семенистый.
            ГКБ № 13, Москва.



            [ Ответить ]
        • Re: Перелом бедра
          Отправитель: Станислав Дмитриев 19 Январь 2008, 22:25
          >А что Вы скажете о Gamma or PFNA ? Доступны ли они у вас?
          Доступны. И, спасибо 13 курсу АО и региональным семинарам АО - научили. Ставили PFN 2 раза, гамму и PFN-A в клинике не ставили. А "учиться" на таком переломе не след. К тому же есть проблемы с инструментами, вернее с их доставкой для операции (для DHS и DFN - в наличии). Прошло после травмы почти уже 3 недели. Оттягивать дальше некуда - будут проблемы с репозицией. Вероятно будем применять спицевой дистрактор.


          [ Ответить ]
          • Re: Перелом бедра
            Отправитель: Alexander Chelnokov 20 Январь 2008, 01:58
            Приветствую, Станислав

            orthoforum@weborto.net пишет:
            >> >> А что Вы скажете о Gamma or PFNA ? Доступны ли они у вас?
            > > Доступны. И, спасибо 13 курсу АО и региональным семинарам АО - научили.


            Безусловно, это дало очень ценные знания, спасибо организаторам и докладчикам. Но, как оказывается, мир несколько больше, чем нам говорили на курсах AO ;-)

            > > Ставили PFN 2 раза, гамму и PFN-A в клинике не ставили. А "учиться" на
            > > таком переломе не след. К тому же есть проблемы с инструментами, вернее
            > > с их доставкой для операции (для DHS и DFN - в наличии).


            Ну тогда выбор сделан обстоятельствами, а не вами, это морально легче. И выбор тут, в общем, в пользу более технологичного варианта.

            > > Прошло после травмы почти уже 3 недели. Оттягивать дальше некуда - будут проблемы с
            > > репозицией.


            Доводилось и в более поздние сроки оперировать такое. Проблемы обычно преодолимые (кроме укорочения бедра, если груз был маленький, и
            ретракция получилась большая сильно, иногда приходится в палату в дистракторе отправлять на несколько дней).

            Как бы мы сделали: провели бы спицу в "промежуточный отломок" над малым вертелом спереди назад. Закрепили бы ее в дуге. Манипулируя этой дугой, сопоставили бы шейку, лучше немножко с вальгусом. В шейку по передней и задней ее стенка ввели бы штук по 4-5 спиц для временной фиксации. И к этой же дуге присоединили бы опору на дистальном отделе бедра, и вправляли бы его, забыв про шейку.Далее - гвоздь через колено, кондуктор
            не остоединяем. Делаем DHS, и в диафизарной накладке попадаем в гвоздь хоты бы в одно отверстие. Для этого кондуктор и не снимаем, чтобы, если что, гвоздь под отверстие в пластине пододвинуть.

            > Вероятно будем применять спицевой дистрактор.

            О! Потом фото покажете?


            [ Ответить ]
            • Re: Перелом бедра
              Отправитель: Cтанислав Дмитриев 20 Январь 2008, 12:40
              >Делаем DHS, и в диафизарной накладке попадаем в гвоздь хоты бы в одно

              Планируются остеомедовские гвозди, а у их длинной версии дистального гвоздя нет отверстий для блокирования во фронтальной плоскости.Там проксимальные отверстия спереди назад. Хотя может и ошибаюсь, кажется одно все-таки есть(?. Насверлить?

              [ Ответить ]
              • Re: Перелом бедра
                Отправитель: Alexander Chelnokov 20 Январь 2008, 17:49
                Возможно. Надо уж все-таки до операции с фиксатором познакомиться поближе.

                [ Ответить ]
    Re: Перелом бедра
    Артак Григорян 19 Январь 2008, 00:52
    Попробуйте выполнить остесинтез щейки бедра конлюривоанными винтами, а диафиз фиксировать LSP DF, выполнить мостовидный остеосинтез
    [ Ответить ]

    Re: Перелом бедра
    Виктор 19 Январь 2008, 01:39
    Случай интересный и не простой.
    Что то вроде подобного недавно выносили на форум ( где сделали блокирующий остеосинтез а потом там еще и оказался перелом шейки )

    в даном случае возможно подошел бы TFN ,длинный штифт 300-460 мм
    [ Ответить ]

    • Re: Перелом бедра
      Отправитель: Alexey Semenisty 19 Январь 2008, 01:40
      Victor Nicolajevich, а что такое TFN?

      [ Ответить ]
      • Re: Перелом бедра
        Отправитель: А.Миронов(Новокузнецк) 19 Январь 2008, 20:25
        Алексей!
        Про TFN можно здесь посмотреть

        http://products.synthes.com/KYOTrauma/home/submenu.asp?MEDBODYRGN=PROXIMAL%20FEMUR&partImg=skel_pfem.gif&headImg=pfem_head.gif

        С Уважением А.Миронов(Новокузнецк)

        [ Ответить ]
        • Re: Перелом бедра
          Отправитель: Alexey Semenisty 20 Январь 2008, 17:35
          Привет, Андрей М. (из Новокузнецка), да знаю я, где посмотреть про TFN, и в руках держал. Только нет его в наших краях и никогда не будет.

          С уважением, А.Семенистый.
          ГКБ № 13, Москва.

          [ Ответить ]
      • Re: Перелом бедра
        Отправитель: Андрей Волна 20 Январь 2008, 15:41
        TFN - это коммерческое название PFNa на североамериканском рынке. С моей точки зрения - длинная версия этого имплантата - одно из возможных,вероятно - лучшее, но, безусловно, не единственное решение в подобной ситуации.

        [ Ответить ]
        • Re: Перелом бедра
          Отправитель: Alexey Semenisty 20 Январь 2008, 19:28
          Нет, это разные имплантаты. TFN конструктивно отличается от PFNa, причем, с моей точки зрения, в лучшую сторону. Действительно, TFN доступен только Северной Америке.


          [ Ответить ]
          • Re: Перелом бедра
            Отправитель: А.Миронов(Новокузнецка) 21 Январь 2008, 05:26
            >TFN доступен только Северной Америке
            В Европе, в Испании и Голландии используют TFN


            [ Ответить ]
            • Re: Перелом бедра
              Отправитель: Alexey Semenisty 21 Январь 2008, 18:42
              Ай молодцы! Глядишь, и до нас доберется!

              [ Ответить ]
          • Re: Перелом бедра
            Отправитель: А.Миронов(Новокузнецк) 21 Январь 2008, 15:30
            TFN ставят и в Европе (Испания и Нидерланды), ну и нам в регионах доступно, если закажем.

            [ Ответить ]
          • Re: Перелом бедра
            Отправитель: Djoldas Kuldjanov, M.D. 22 Январь 2008, 01:28
            Да, действительно разные импланты.

            Proximal Femoral Nail (PFN) Synthes является имплантом из первой генерации цефаломедуллярных проксимальных гвоздей и в данное время Synthesом не выпускается. В различных странах имеются множественные копии PFN.

            Не по теме может кто то прочтет,...и дальше...

            Примерными характеристиками владеет ATN Antegrade Trochanteric Nail System от Johnson&Johnson DePuy и IMHS nail от SmithNephew тоже снятые из пройзводства.

            Не популярный PFN заменен TFN или другое название TTFN-Titanium Trochanteric Femoral Nail со спиральной конфигурацией гвоздя. По замыслу разработчиков спиральная конфигурация гвоздя в головку должен повторить механические преимущества Blade Plate (Г-образной пластины).

            TFN очень популярный имплант, но с прошлегодного судебного разбирательства с компанией Smith Nephew в нарушении патента, спорят по методике компрессии, несмотря на то что они разошлись по мирному стали применятся все реже.

            Теперь по решению суда, при диктовке операционного протокола надо подчеркнуть что в компрессия чрезвертельных переломов сделано методом..., вообщем запутано?

            Трудно сказать сыграло ли это или появились новые импланты, многие стали переходить на другие импланты для фиксации проксимальных переломов бедра.
            Из цефаломедуллярных: InterTan от SmithNephew или Gamma 3 от Stryker.

            Из сколзящих, старый DHS выпущенный еще Richards Manufacturing Company в 1956 году Мемфисе в данное время SmithNephew. Имеются различные варианты копии в различных странах и по прежнему остается самым популярным среди ортопедов при лечении чрезвертельных переломов.

            С теми же характеристиками владеет Capture Screw DePuy- шуруп в головку и сбоку пластина, недавно заменили на PEAK system. Из титана, шурупная часть импланта замыкается сбоку в пластине и можно ввести перкутанным методом.

            В прошедшую субботу 4 отропеда из Японии и Tony Russel, William Richi, Paul и я, в Мемфисе в головном оффисе SmithNephew проводили Validation на трупах новую разработанную имплант для фиксации проксимальных переломов бедра.
            В разработке участвовали японские и американские доктора. Приняли решение, ограниченное применения титанового варианта в Японии и железного варианта в США уже в этом году.


            [ Ответить ]
    • Re: Перелом бедра
      Отправитель: Cтанислав Дмитриев 19 Январь 2008, 22:12
      >Что то вроде подобного недавно выносили на форум ( где сделали блокирующий остеосинтез а потом там еще и оказался перелом шейки )

      Кажется, вот это http://www.weborto.net/forum/1199791715/index_html#1200169717

      [ Ответить ]
    Re: Перелом бедра
    Timur 19 Январь 2008, 15:08
    Единственно правильным вариантом будет фиксация полифасцикулярным аппаратом Н А Шестерни.
    Как вариант можно предложить остеосинтез 4-мя стержнями для перкутанного остеосинтеза.
    [ Ответить ]

    • Re: Перелом бедра
      Отправитель: Alexander Chelnokov 19 Январь 2008, 21:30
      К аппаратам отношение положительное для временной фиксации, особенно при тяжелой множественной и сочетанной травме. Для окончательной фиксации аппарат непрактичен. Хотя позволяет достичь хорошего результата. Идеально было бы, если бы все удалось зафиксировать одним гвоздем. Но это может быть непросто выполнить.

      Кстати, если Вы владеете технологией полифасцикулярного остеосинтеза, разработанного Н. А. Шестернёй, то можно таким аппаратом зафиксировать не только проксимальный отдел, но и, практически, все остальные повреждённые отделы бедра.

      "зафиксировать не только проксимальный отдел, но и, практически, все остальные повреждённые отделы бедра" можно и массой других аппаратов. Чтобы далеко не ходить, можно их скомпоновать из стандартных деталей для ЧКО по Илизарову, имеющихся повсеместно.

      Не уверен, что владею этой технологией, но полагаю, что какую разновидность аппаратной фиксации не примени, принципиально это "те же яйца, вид сбоку". Какие-то фиксаторы накладываются много быстрее других, какие-то легче, какие-то рентгенопрозрачны, но...

      [ Ответить ]
    Re: Перелом бедра
    Мукашев Максат 22 Январь 2008, 19:52
    Предлагаю сделать остеосинтез шейки бедра канюлированными винтами АО, миниинвазивный остеосинтез перелома бедра пластиной LCP. Это мало травматично, достаточно стабильно, технически не сложно.
    [ Ответить ]


    ( Ответить )

    Powered by Zope  Squishdot Powered MedLink
    Посетитель: 0407718
      "По форме правильно, а по существу - издевательство" В.И.Ленин
    ©2001-2019Orthoforum Coordinator.
    [ Главная | Отправить сообщение | Поиск | Админ ]