вверх
отправить
поиск
админ
главная
|
Двухлодыжечный перелом + разрыв синдесмоза - оперировать или нет? |
 |
 |
 |
Отправлено Сергей Тарасов 13 Февраль 2008, 22:07
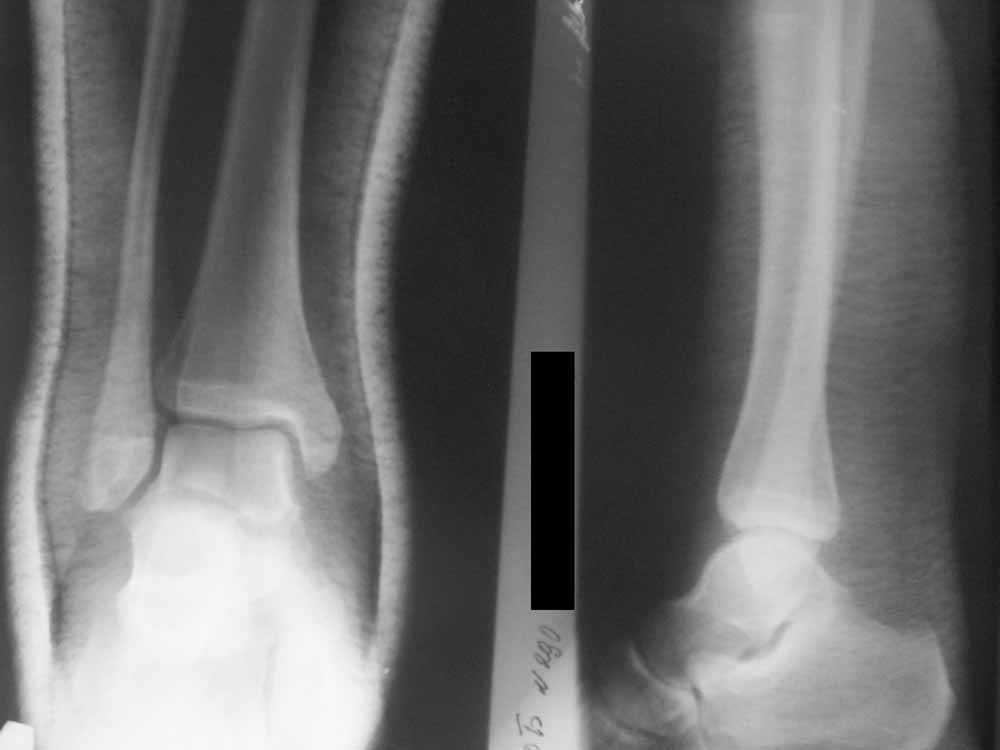
Уважаемые коллеги!Помогите, пожалуйста, советом! Пациентка 14 лет. Двухлодыжечный перелом с (как нам кажется) повреждением межберцового синдесмоза. Вопрос один: оперировать или оставить "как есть" в гипсе? Не будет ли в дальнейшем проблем с суставом. Заранее спасибо.
<
|
>
|
|
Ответить
|
Re: Двухлодыжечный перелом + разрыв синдесмоза - оперировать или нет?
Алексей 14 Февраль 2008, 02:12
|
если нет ран на коже и девочка 14-и лет соматически сохранна - оставте гипсовую повязку, Rtg контроль через 5-7 дней, и дальше по схеме.
|
[
Ответить ]
|
Re: Двухлодыжечный перелом + разрыв синдесмоза - оперировать или нет?
Paul 16 Февраль 2008, 21:54
|
КТ это очень хорошо. В данной ситуации КТ не помогает а ставит новые вопросы... На мой взгляд проблема в синдесмозе: нужно исключить его расхождени - сделать снимок здоровой конечности. В этом плане МРТ еще круче - при исследовании свежего повреждения коленного сустава всегда найдутся показания к операции.
|
[
Ответить ]
|
Re: Двухлодыжечный перелом + разрыв синдесмоза - оперировать или нет?
Евгений Толстихин 20 Февраль 2008, 17:41
|
Уважаемый Сергей! Я не навязываю свое мнение, но по моему, ребенка в данном случае нужно лечить консервативно в гипсовой повязке. Старая мудрость "Хирург славен не теми операциями которые он сделал, а теми от которых он отказался" На мой взгляд по тем снимкам которые представлены, суставная щель по ширине одинакова по всему суставу, значит "вилка" удерживающая таранную кость не разошлась. С уважением Евгений.
|
[
Ответить ]
|
Re: Двухлодыжечный перелом + разрыв синдесмоза - о
Отправитель: Alexander Chelnokov 21 Февраль 2008, 09:59
|
ЕТ> Старая мудрость "Хирург славен не теми операциями которые он
ЕТ> сделал, а теми от которых он отказался".
Отказ по Илизарову от чрескостного остеосинтеза, например?
Никогда не понимал, в чем "мудрость" этого изречения. И не могу вспомнить ни одного хирурга, кто прославился таким образом.
|
[
Ответить ]
|
Re: Двухлодыжечный перелом + разрыв синдесмоза - о
Отправитель: Сергей Иванов 06 Ноябрь 2009, 14:54
|
Изречение, на мой взгляд, понять несложно. Мудрость хирурга в правильном определении операционного риска. Операционный риск понятие сложное. Для его определения, говоря на современном языке, ужно проводить сложным многофакторный кореляционный анализ, основываясь на экспертной бальной оценке каждого фактора. Оценивание каждого фактора зависит, как минимум от опыта эксперта (хирурга) и той шкалы оценки которую он применяет (другими словами от его понимания сути болезни). Теперь становится понятно,что хирург тот, то работает головой а делает руками. Относительно обсуждаемого случая позвольте мое скромное мнение. Лечение переломов голеностопного сустава по классике: точная репозиция и надежное удержание до полного сращения. Внутреннюю лодыжку репонировать и получить хорошую рентгенкартинку можно, но удержать не всегда. Причем губчатая кость консолидируется за счет преимущественног эндостального костного мозоля и требует сколоченности отломков. Этого гипсовая повязка может не дать. Сомнительна и щадящесть консервативного метода. Обездвиживание сустава в теч 3-3,5 мес ведет к увеличению риска развития нейротроф с-ма, остепороза, д-артроза. Таким образом если у вас есть все условия для проведения оперативного вмешательства с надежной стабилизацией латерального стаб комплекса, анатомическим сопоставлением и компресионным о-синтезом медиальной лотыжки, укреплением синдесмоза, лучше сделать операцию. Если правильно выбрать время операции кожу можно ушить косметикой. Вот Вам и будет ранняя функция позняя нагрузка. Но помните медицина наука не точная и победителеф не судят. Лечите как хотите лиж бы результат удовлетворил пациента
|
[
Ответить ]
|
|
( Ответить )
|
|