Ответить
|
Re: застарелое повреждение голеностопного сустава
Alexey Semenisty 24 Февраль 2008, 01:54
|
Здравствуйте, Максим!
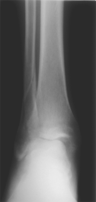
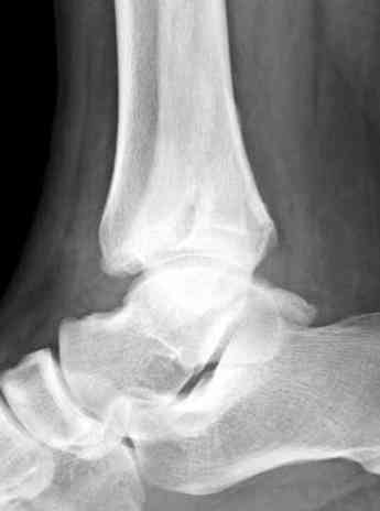
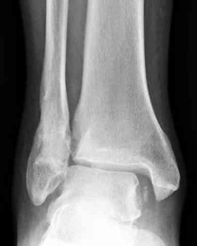
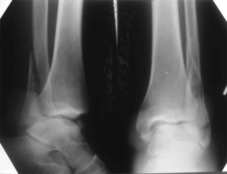
Мне кажется есть все основания попытаться сделать остеосинтез. Боль вследствие нестабильности. Нестабильность вследствие неанатомичного положения дистального отломка малоберцовой кости. Через 1,5 вполне возможно разобщить, репонировать и фиксировать длинный косой перелом наружной лодыжки. Вероятно, одновременно придется делать медиальный доступ для мобилизации внутренней лодыжки. Мы оперируем таких пациентов, функциональные (объем движений) результаты конечно хуже по сравнению с теми кого оперируем в первые 5-10 дней, но вполне удовлетворительные.
С уважением, А.Семенистый.
ГКБ № 13, Москва.
|
[
Ответить ]
|
Re: застарелое повреждение голеностопного сустава
Отправитель: Алексей В 24 Февраль 2008, 13:40
|
Согласен, на предоставленных рентгенограммах все основания для проведения открытого остеосинтеза.
|
[
Ответить ]
|
Re: застарелое повреждение голеностопного сустава
Отправитель: Maxim Agalakov 24 Февраль 2008, 17:04
|
> Через 1,5 вполне возможно разобщить, репонировать и фиксировать длинный косой перелом наружной лодыжки. Вероятно, одновременно придется делать медиальный доступ для мобилизации внутренней лодыжки.
сроки действительно небольшие, но если мы его и возьмем, то пройдет еще минимум неделя, кроме того смущает впечатление сращения н/лодыжки, похоже, что придется не разобщать,а остеотомировать, формирование оссификатов в полости сустава с медиальной стороны, да и сам пациент 1,5 месяца по поводу своей травмы сильно не напрягался
|
[
Ответить ]
|
Re: застарелое повреждение голеностопного сустава
Отправитель: Alexey Semenisty 24 Февраль 2008, 22:26
|
> кроме того смущает впечатление сращения н/лодыжки, похоже, что придется не разобщать,а остеотомировать, формирование >оссификатов в полости сустава с медиальной стороны,
Это все не повод для смущения.
>да и сам пациент 1,5 месяца по поводу своей травмы сильно не напрягался
Вот это действительно смущает, и Вам безусловно надо понять, почему 1,5 мес. его это не напрягало, а теперь вдруг напрягло. Может у человека действительно были очень серьезные причины, по которым он не лечился? Хотя первичные снимки от 15.01 есть, и что, из травмункта его просто так отпустили? А если просто придурок, то и артродез его и Вас счастливым не сделает. Тогда загипсуйте на пару месяцев...
С уважением, А.Семенистый.
ГКБ № 13, Москва.
|
[
Ответить ]
|
Re: застарелое повреждение голеностопного сустава
Отправитель: Бехтерев Антон 25 Февраль 2008, 01:19
|
Судя по тому, что человек обратился за помощью - он не придурок. Скорее всего потому и прошло 1,5 месяца, что его "лечили" в травмпункте - стандартные сроки иммобилизации для перелома наружной лодыжки.
|
[
Ответить ]
|
Re: застарелое повреждение голеностопного сустава
Отправитель: Alexey Semenisty 25 Февраль 2008, 14:03
|
так ведь не было же никаких попыток репозиции и фиксации (см. первое сообщение от автора темы)
|
[
Ответить ]
|
|
Re: застарелое повреждение голеностопного сустава
Юрий Алексеевич Булахтин 24 Февраль 2008, 17:02
|
Сустав сохранный, я бы полечил. Молодой пациент, да и 1,5 мес - не
срок.
Успехов, с уважением, Ю.А. Булахтин
|
[
Ответить ]
|
Re: застарелое повреждение голеностопного сустава
Максимов Сергей 26 Февраль 2008, 01:06
|
Уважаемые коллеги, не слишком ли легко относимся к артродезу? Калечащая операция, вовсе не исключающая боли... в смежных суставах, нарушение биомеханики ходьбы и т.п. Возраст больного достаточно молодой, пока нет признаков деф. артроза необходимо попытаться восстановить соотношение в суставе (тем более, что это никто не пытался делать)и максимально восстановить функцию сустава. Это возможно только оперативным путем. А артродез никогда не поздно сделать.
С уважением, Сергей.
|
[
Ответить ]
|
Re: застарелое повреждение голеностопного сустава
В.Машталов 26 Февраль 2008, 19:19
|
Несомненно, здесь показана реконструктивная операция.
Оценка интелектуальных возможностей пациента всегда крайне важна, т.к переломы лодыжек сродни аппендициту- славы не сыщешь, а проблем можно заработать. Вариант гипс на 2 месяца иногда предпочтителен.
А к ардродезу, коллега ,надо относиться крайне осторожно. Больной,зная возможность его выполнения, должен сам уговорить врача на эту операцию.
|
[
Ответить ]
|
Re: застарелое повреждение голеностопного сустава
Исмаил Дибиров 26 Февраль 2008, 22:02
|
Приветствую! Важно ли, придурок он, или афганец? Может и есть определенная связь? Поведение больного часто зависит от того, как его настроит доктор при первой встрече. Если:"простой перелом наружной лодыжки и достаточно в гипсе недель 6 походить"... Следующая явка к врачу "для снятия гипса и РГ-контроля", именно через 6 недель. Представьте себе, что пациент не работает, Б/Л не нужен, сидеть в очередях в травмпункте он не хочет и смысла особого не видит. А если бы сказали, что серьезная травма, направили бы в стационар или хотя бы назначили Р/Г-контроль в гипсе, через 10-12 дней, посоветовались бы, если что-то неясно, с более опытными коллегами, этой ситуации скорее всего не было бы. А сейчас надо исходить из того, что есть на данный момент. Попытаться все восстановить, видимо открыто. Если он откажется, дать "походить". Больной сам поймет,что ему важнее: нестабильный болезненный, но подвижный сустав; или стабильный безболезненный(ой ли?) но неподвижный. Напоследок хочется спросить: а где же контроль зав.травмпунктом? Не на необитаемом же острове это произошло...?
|
[
Ответить ]
|
Re: застарелое повреждение голеностопного сустава
Мазур Юрий 28 Февраль 2008, 02:38
|
Здравствуйте.На мой взгляд, нужно попытаться сделать остеосинтез внутренней лодыжки. Самое главное-как устранить подвывих стопы кнаружи.Начинать все равно нужно с МОС наружной лодыжки (не исключена и остеотомия на уровне сустава).Если достигнется медиализация стопы-приступайте к МОС внутренней лодыжки.После удаления рубцовых тканей даже не думайте о маллеолярных винтах(постиммобилизационный остеопороз, проверено)-2 спицы и проволка(по Веберу).Что касается артродеза - рано, гипс-глупо.Каждый день уже не в Вашу пользу
|
[
Ответить ]
|
Re: застарелое повреждение голеностопного сустава
Константин Деданов 28 Февраль 2008, 20:57
|
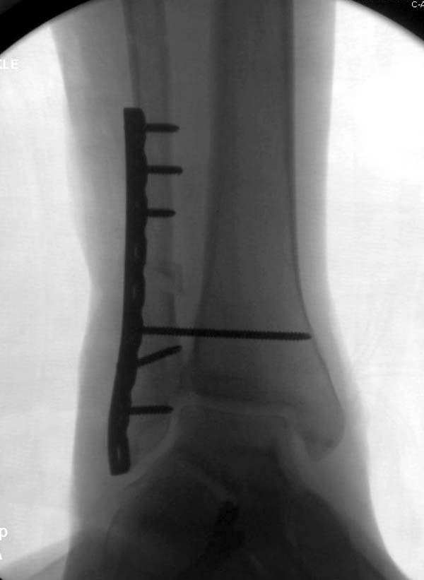
Здравствуйте, Максим! Мое мнение - оперировать, вот только срок после травмы определяет последовательность оперативных действий. В свежем случае при таком повреждении операция начинается с репозиции и синтеза наружной лодыжки, затем - вмешательство на внутренней стороне. В данном случае ригидность тканей может не позволить Вам, начав операцию снаружи, произвести адекватную репозицию. Мы в таких случаях поступаем следующим образом: начинаем с внутреннего доступа, из которого производим мобилизацию внутренней лодыжки. Затем из наружного доступа выполняем мобилизацию перелома наружной лодыжки. После этого достигается мобильность, характерная для свежего перелома. Синтез производим в последовательности: наружная сторона, синдесмоз (при необходимости), внутренняя сторона. 6 недель - не критический срок. Удавалось восстановить повреждения 3-4 месячной давности с хорошими функциональными результатами. А почему больных с такими сроками после травмы очень много - совсем другой вопрос. Кстати, почти наверняка сращения еще нет. Удачи! Константин Деданов, Челябинск, Областная больница
|
[
Ответить ]
|
Re: застарелое повреждение голеностопного сустава
Maxim Agalakov 28 Февраль 2008, 22:23
|
Уважаемые коллеги. прошу прощения. что не отвечал на ваши комментарии к заданному мной вопросу (проблемы с И-нетом). Сейчас, прочитав их целиком, постараюсь изложить свои мысли блоками.
Итак, позиция- никогда не поздно, должен сам прийти, калечащая операция и т.д. Сам слышал не один раз,но аргументов, кроме личного опыта и "expert opinion" не встречал.
Но, не далее, как вчера встретил пациента, мужчину 40 лет с АНГБ, в одном НИИ предложили THR, в другом, не менее известном, сказали, что рано и убедили в необходимости туннелизации. Сильно операция не помогла, но убедили хорошо в том, что - пусть плохая, но своя-. Ногу он поразгружал
, постепенно перешел на трость с тем же убеждением (своя)и за 4 года сформировал полноценный комплекс "иждивенца", сейчас ему уже не нужна нога, близкая к родной, от операции отказался, но попросил очередное направление на МСЭК. (сильно хромает, ходит - трость/костыли, ограничение движений выраженное)_ но своя!
По-поводу артродеза, мысль возникла после прочтения дисера А.М. Лаврукова. Обнаружил интересные вещи, например, при восстановительных операциях на голеностопе с хорошим результатом (как правило наиболее "простые" повреждения основные позиции при учете результатов - боль и объем движений, остальное -производные), удовлетворительный объем движений обеспечивался за счет увеличения подвижности в передних отделах стопы, выявлено это было при сравнительном исследовании клинического и рентгенологического методов измерения объема движений (отличались). Восстановление анатомии г/с в застарелых случаях не гарантирует от развития вторичного артроза, даже если его и не было.
Так стоит ли "ломать копья", так ли однозначен ответ на вопрос о целесообразности артродеза г/c?
С уважением, Максим
|
[
Ответить ]
|
Re: застарелое повреждение голеностопного сустава
Анатолий 04 Март 2008, 15:20
|
Скинте, пож-та, ссылку, если диссер А.М. Лаврукова в и-нете имеется.
|
[
Ответить ]
|
Re: застарелое повреждение голеностопного сустава
Djoldas Kuldjanov 10 Март 2008, 13:19
|
Максим,
Если больному показан артродез, то какой метод выбрали бы для артродезирования голеностопного сустава?
Мне кажется, что невысокие требования больного не
являются показанием для радикальных решений, и поэтому ваши аргументы по показаниям к артродезированию звучат не так убедительно.
Иногда "доброжелатели врачи" из-за незнания
современной тактики лечения дают противоречивый совет.
Для убежденности больных в безуспешности консервативного лечения требуется время, в результате чего происходит потеря конгруэнтности сустава, что может привести к ранним артрозам.
Больному всего 42, сохранный сустав, за 1.5-2 месяца сустав еще не успел "выработаться".
Навряд ли консервативное лечение на скелетном
вытяжении или гипс, как рекомендуют наши коллеги,
помогут восстановить сустав.
Каждый, представляющий что-то на сайте, особенно из крупных центров, на которых равняются ЦРБ и все остальные, должен знать, что без полного обследования со стандартными снимками нет смысла дискутировать, теряется интерес к случаю.
>"По-поводу артродеза, мысль возникла после прочтения дисера А.М. Лаврукова. Обнаружил интересные вещи, например, при восстановительных операциях на голеностопе с хорошим результатом (как правило наиболее "простые" повреждения"
По-моему не многим известно содержание диссертации и даже если она написана на высоком уровне, вряд ли там была рассмотрена сегодняшняя восстановительная техника.
В век стремительного развития ортопедии даже некоторые пятигодичные данные считаются уже устаревшими.
В данный момент больной из категории "фиксируемых
переломов" переходит в категорию "плановых", т.е.
сейчас без спешки, согласно "стандартных"
рентгенологических обследований можно планировать
восстановление.
К тому времени несросщиеся кости консолидируются,
потом легче произвести расчеты по высоте малоберцовой и выбору типа остеотомии.
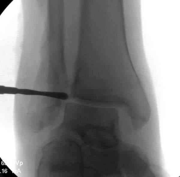
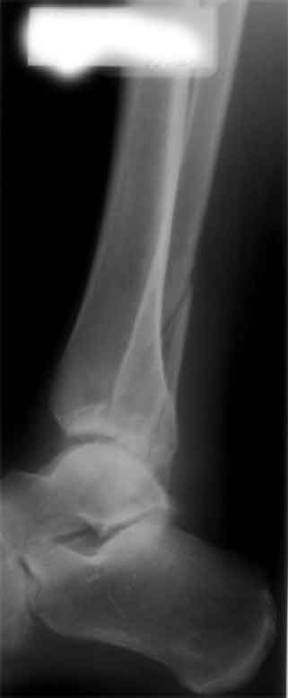
Здесь представлено решение похожей проблемы. Больной в течение года лечился консервативными мерами, и боли в голеностопе были основным показанием к операции.

Проведена обычная стандартная процедура по исправлению неудовлетворительного состояния голеностопного сустава, где кроме удлинения малоберцовой с применением compression tension device за проксимальный конец пластины, проведено замещение трикортикальным графтом из крыла, освобождение синдесмоза и медиальной щели от
фибротических масс с фиксацией.
Не могу дать ссылку на сравнительную литературу
"артродез против восстановления", но можешь поверить мне, что несмотря на продолжительный период до восстановления сустава, после таких операции больные чувствует намного легче чем после расхваливаемого артродеза.
Djoldas Kuldjanov, MD
Department of Orthopedic Surgery
St. Louis University Medical Center
|
[
Ответить ]
|
Re: застарелое повреждение голеностопного сустава
Отправитель: Анатолий Баранецкий, Москва. 11 Март 2008, 15:57
|
Медиализирующей остеотомией пяточной кости Вы расчитываете компенсировать вальгус в таранно-большеберцовом суставе или преследуете какую-либо другую цель?
|
[
Ответить ]
|
Re: застарелое повреждение голеностопного сустава
Отправитель: Djoldas Kuldjanov, M.D. 11 Март 2008, 19:06
|
Дополнительно у больного плоская стопа, во время операции провели небольшую скользящую остеотомию, надеемся, что поможет.
|
[
Ответить ]
|
|
( Ответить )
|
|