вверх
отправить
поиск
админ
главная
Предыдущее
|
Re: И снова пилон
А.Миронов (Новокузнецк) 24 Февраль 2008, 13:35
|
Уважаемый Иван!
Если есть ЭОП, то перелом подходит для малоинвазивной фиксации. Репозиция суставного отдела (использовать репозиционные щипцы)и его фиксация стягивающими винтами чрезкожно, затем пластина медиально малоинвазивно, лучше метафизарная. Если не располагаете подходящим имплантом или непозволяют мягкие ткани, вполне возможно применить вместо платы Fix.Ex.

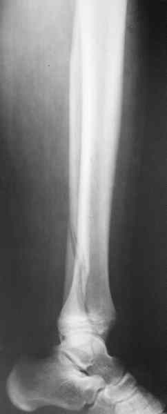
В приложении метафизарный перелом у ребёнка 14лет, с распространением линии перелома на зону роста.
С Уважением!
|
|
|
Ответить
|
Re: И снова пилон
Жаглин Антон 25 Февраль 2008, 17:28
|
Уважаемый Андрей!Уточняю, что нашего коллегу интерисуют принципы хирургического лечения ПЕРЕЛОМА ПИЛОНА, о чем я и высказался. Действительно, Ваша демонстрация имеет отношение постольку-поскольку (один сегмент)... Заманчивый и перспектиный метод "малой инвазии" может помешать устранить импрессию и увеличить время оперативного вмешательства именно при репозиции, а установить малоинвазивно пластину думаю не составит труда у уважаемых коллег. Что касается Вашей демонстрации, то БЛЕСТЯЩЕ сказав "Б", вы почему-то ушли от остеосинтеза "А", хотя не думаю что (судя по представленным снимкам) на это ушло бы у Вас много времени и сил,значительно увеличило травматичность вмешательства...
|
[
Ответить ]
|
Re: И снова пилон
Отправитель: Alexey Semenisty 26 Февраль 2008, 21:40
|
Уважаемый Андрей!Уточняю, что нашего коллегу интерисуют принципы
хирургического лечения ПЕРЕЛОМА ПИЛОНА, о чем я и высказался.
Антон, коллегу интересуют возможные варианты лечения конкретного перелома у конкретного 60-ти летнего пациента весом 120 кг, а не ПИЛОНА ВООБЩЕ!
Заманчивый и перспектиный метод "малой инвазии"
может помешать устранить импрессию
...Но должен сохранить жижнеспособность мягких тканей
и увеличить время оперативного
вмешательства именно при репозиции,
А что открытая реозиция вдавленного фрагмента намного проще и быстрее?
Антон, не руби с плеча!
Я согласен а А.Мироновым (Новокузнецк), что этот случай вполне подходит для малоинвазивной хирургии.
С уважением, А.Семенистый.
ГКБ № 13, Москва.
|
[
Ответить ]
|
|
( Ответить )
|
|