Ответить
|
Re: И снова пилон
А.Миронов (Новокузнецк) 24 Февраль 2008, 13:35
|
Уважаемый Иван!
Если есть ЭОП, то перелом подходит для малоинвазивной фиксации. Репозиция суставного отдела (использовать репозиционные щипцы)и его фиксация стягивающими винтами чрезкожно, затем пластина медиально малоинвазивно, лучше метафизарная. Если не располагаете подходящим имплантом или непозволяют мягкие ткани, вполне возможно применить вместо платы Fix.Ex.

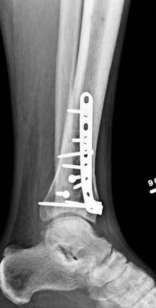
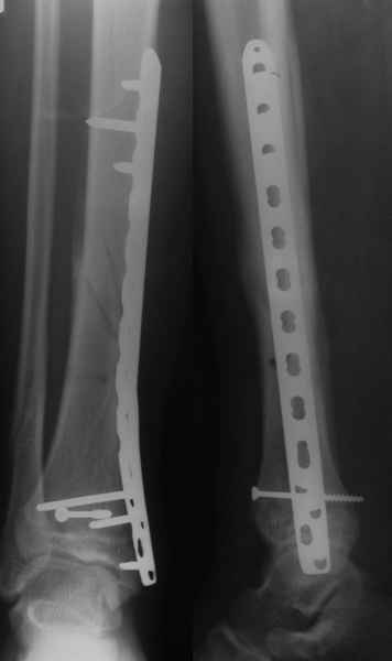
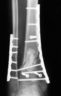
В приложении метафизарный перелом у ребёнка 14лет, с распространением линии перелома на зону роста.
С Уважением!
|
[
Ответить ]
|
Re: И снова пилон
Отправитель: Жаглин Антон 25 Февраль 2008, 17:28
|
Уважаемый Андрей!Уточняю, что нашего коллегу интерисуют принципы хирургического лечения ПЕРЕЛОМА ПИЛОНА, о чем я и высказался. Действительно, Ваша демонстрация имеет отношение постольку-поскольку (один сегмент)... Заманчивый и перспектиный метод "малой инвазии" может помешать устранить импрессию и увеличить время оперативного вмешательства именно при репозиции, а установить малоинвазивно пластину думаю не составит труда у уважаемых коллег. Что касается Вашей демонстрации, то БЛЕСТЯЩЕ сказав "Б", вы почему-то ушли от остеосинтеза "А", хотя не думаю что (судя по представленным снимкам) на это ушло бы у Вас много времени и сил,значительно увеличило травматичность вмешательства...
|
[
Ответить ]
|
Re: И снова пилон
Отправитель: Alexey Semenisty 26 Февраль 2008, 21:40
|
Уважаемый Андрей!Уточняю, что нашего коллегу интерисуют принципы
хирургического лечения ПЕРЕЛОМА ПИЛОНА, о чем я и высказался.
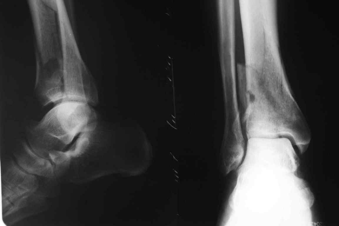
Антон, коллегу интересуют возможные варианты лечения конкретного перелома у конкретного 60-ти летнего пациента весом 120 кг, а не ПИЛОНА ВООБЩЕ!
Заманчивый и перспектиный метод "малой инвазии"
может помешать устранить импрессию
...Но должен сохранить жижнеспособность мягких тканей
и увеличить время оперативного
вмешательства именно при репозиции,
А что открытая реозиция вдавленного фрагмента намного проще и быстрее?
Антон, не руби с плеча!
Я согласен а А.Мироновым (Новокузнецк), что этот случай вполне подходит для малоинвазивной хирургии.
С уважением, А.Семенистый.
ГКБ № 13, Москва.
|
[
Ответить ]
|
|
Re: И снова пилон
Владимир Бахарев 24 Февраль 2008, 15:51
|
А в чем собственно проблема то? (инструмент,навыки,фиксатор?)
|
[
Ответить ]
|
Re: И снова пилон
Жаглин Антон 24 Февраль 2008, 21:19
|
Уважаемый коллега! Обычно, хирургичское лечение переломов пилона начинают с остеосинтеза малоберцовой кости (чего не продемонстрировали коллеги из Новокузнецка). В Вашем случае нет убедительных данных за перелом малоберцовой кости, так что, видимо, этот этап вы пропускаете. После чего переходят собственно к пилону - основные усилия в лечении которого необходимо направить на устранение импрессии (отчетливо видна на боковой R-грамме), затем пластика дефекта ну и накостный остеоинтез платиной, коих достаточно много. Хотел бы предостеречь Вас от: закрытой "малоинвазивной" техники в данном случае, так как для устранения импрессии малоинвазивно необходим определенный опыт и начинать с этого я бы не стал, использовать пластину Pilon Plate-имплант сложный в установке и , опять же, требует определенных навыков. Я бы синтезировал традиционной пластиной "лист клевера" с угловой стабильностью.
С ув., Жаглин А.В.
|
[
Ответить ]
|
Re: И снова пилон
Отправитель: А.Миронов (Новокузнецк) 25 Февраль 2008, 09:01
|
Уажаемый Антон!
> Обычно, хирургичское лечение переломов пилона начинают с остеосинтеза малоберцовой кости (чего не продемонстрировали коллеги из Новокузнецка).
В примере показан не перелом пилона, а эпифизеолиз, м/берцовую кость сознательно не фиксировал(длина её восстановлена, ротации нет),у детей стараемся минимизировать операц.травму, несколько позже разрешил полную нагрузку на ногу(4 недели). Но принцип фиксации б/берцовой кости м.б. таким же.
> Хотел бы предостеречь Вас от: закрытой "малоинвазивной" техники в данном случае, так как для устранения импрессии малоинвазивно необходим определенный опыт
Проблем с закрытой(прямой или непрямой) репозицией возникнуть не должно, даже при небольшом опыте, перелом как раз для этого, суставная поверхность и метафиз рассколоты, смещение небольшое. В крайнем случае можно сделать неболшой передний доступ для репозиции и остеосинтеза винтами сустава, а дальше обязательно малоинвазивно медиальную плату или аппарат.
С Уважением.
|
[
Ответить ]
|
|
Re: И снова пилон
Alexander Chelnokov 24 Февраль 2008, 22:39
|
Есть смысл начать с наложения дистрактора голень-стопа. Лигаментотаксис может очень существенно помочь с репозицией. При переломе малоберцовой кости этот подход позволяет не тратить время на ее остеосинтез. Больших участков импрессии суставной поверхности не видно, перелом больше по типу раскалывания. Это делает возможной полностью закрытую репозицию с фиксацией либо аппаратом, либо компрессирующими винтами и аппаратом, либо пластиной малоинвазивно.
|
[
Ответить ]
|
Re: И снова пилон
Алексей 25 Февраль 2008, 01:27
|
1 - перелом закрытый;
2 - соотношение осей голени и стопы практически идеальное;
И какой смысл переводить закрытый в открытый, подвергать операционным рискам пациента с ГБ в 60 лет? Тем более, что после операции наступать на ногу ему никто не разрешит минимум 3 месяца. Моё мнение - только консервативно и под регулярным контролем и дозированным ЛФК, причем движения в суставе начинать не познее конца 6-ой недели, а лучше с 5-ой.
Привет.
|
[
Ответить ]
|
Re: И снова пилон
Отправитель: Alexey Semenisty 26 Февраль 2008, 22:08
|
>2 - соотношение осей голени и стопы практически идеальное;
Это спорно.
>И какой смысл переводить закрытый в открытый, подвергать операционным
>рискам пациента с ГБ в 60 лет?
Чтобы рано начать движения
Тем более, что после операции наступать
на ногу ему никто не разрешит минимум 3 месяца.
Недель 5-6 будет достаточно.
А что, при консервативном лечении наступать можно будет раньше?
Моё мнение - только
консервативно и под регулярным контролем и дозированным ЛФК,
Такой вариант, конечно, тоже нужно рассматривать.
причем
движения в суставе начинать не познее конца 6-ой недели, а лучше с 5-ой.
А после операции можно (и нужно) начинать движения уже на следующий день
С уважением, А.Семенистый.
ГКБ № 13, Москва.
|
[
Ответить ]
|
Re: И снова пилон
Отправитель: Алексей 27 Февраль 2008, 12:47
|
Ув А.Семенистый из ГКБ №13, Москвы!
Не всегда надо гнаться за "А после операции можно (и нужно) начинать движения уже на следующий день". Точнее - не всегда так получается, как желается. Кстати, объясните пожалуйста, в чём Вы видите практический смысл цифровой кодировки (42А3)пеоеломов костей, и чем немецкие коды лучше русского языка.
Сама классификация существует не первый десяток лет, бесспорно рациональное зерно есть, но не кодировка же. Представте, что пульмонологи выставят диагноз 22, что вы как доктор поймете?
Кстати, я рад, что вам у нас понравилось.
З повагою, лiкар Колеснiков.
КМКЛ №3, Киcв.
|
[
Ответить ]
|
Re: И снова пилон
Отправитель: Alexander Chelnokov 01 Март 2008, 21:32
|
Приветствую,
Не всегда надо гнаться за "А после операции можно (и нужно) начинать
движения уже на следующий день". Точнее - не всегда так получается, как
желается.
Неудачи, конечно, случаются, но почему ж "не всегда надо гнаться"? Наверно, во всех случаях надо пытаться сделать максимум возможного?
Кстати, объясните пожалуйста, в чём Вы видите практический
смысл цифровой кодировки (42А3)переломов костей, и чем немецкие коды
лучше русского языка.
Это средство быстро объяснить коллегам из любой страны, о каком повреждении речь. Эта классифкация де факто больше 10 лет как стала средством международного общения. Второе - это избавляет от необходимости многословно описывать повреждение. Как в нашем общении, но особенно в статьях, отчетах и других текстах, где многократно повторяются варианты повреждений. Можно написать, что "при переломах дистального отдела бедра типа C1 и C2, в отличие от C3, возможна закрытая репозиция", и все поймут. И не нужно в каждой подобной фразе в статье подробно характеризовать, что такое C1, C2 и C3.
Сама классификация существует не первый десяток лет, бесспорно
рациональное зерно есть, но не кодировка же. Представте, что
пульмонологи выставят диагноз 22, что вы как доктор поймете?
Так ведь классификация же ортопедическая, и понимать ее надо ортопедам. Ясное дело, что дерматологи или ЛОРы с ходу не разберутся, как и мы в их классификациях.
|
[
Ответить ]
|
|
Re: И снова пилон
Жаглин Антон 25 Февраль 2008, 01:56
|
Не проводить остеосинез малоберцовой кости в случае ее перелома (при сочетании с пилоном)-считаю ошибкой! На мой взгляд-имперссия очевидна и значительна. Я за открытую репозицию!
|
[
Ответить ]
|
Re: И снова пилон
Отправитель: Alexander Chelnokov 01 Март 2008, 21:12
|
Не проводить остеосинез малоберцовой кости в случае ее перелома (при
сочетании с пилоном)-считаю ошибкой!
Добавление восклицательного знака вряд ли делает точку зрения более обоснованной.
Если в дистракторе длина берцовых костей уже восстановлена, взаимоотношения наружной лодыжки и тарана уже правильные, какие еще проблемы решит остеосинтез малоберцовой кости?
Напомню, речь идет не о переломе лодыжек, тут механизм травмы другой, и малоберцовая может вообще быть целой при тяжелых разрушениях дистального конца большеберцовой.
На мой взгляд-имперссия очевидна и
значительна. Я за открытую репозицию!
Если несложно, в графическом редакторе выделите pls то, что Вы полагаете участками импрессии.
|
[
Ответить ]
|
Re: И снова пилон
Отправитель: Андрей Волна 02 Март 2008, 11:11
|
Уважаемые коллеги, остеосинтез малоберцовой кости при переломах пилона помогает решить, как минимум, 3 задачи:
1. шинировать сегмент. При переломах типа С, как правило, остеосинтез большеберцовой кости выполняется по спаданию отёка и заживлению мягких тканей, как и говорит об этом чуть ниже Djoldas. В этот период - с момента поступления пациента в стационар до собственно остеосинтеза перелома пилона мы можем стабилизировать конечность или путём остеосинтеза малоберцовой кости, или ExFix. Естественно, одно не равнозначно другому, для каждого метода есть свои показания в зависимости от характера перелома;
2. за счёт эффекта лигаментотаксиса восстановить правильные взаимоотношения в большеберцово-таранном сочленении. И действительно, я полностью согласен с Вами, Александр, такую же задачу мы решаем зачастую с помощью ExFix. И если наружная фиксация при переломе пилона является не методом первого этапа, а окончательным методом лечения перелома - ни о каком дополнительном остеосинтезе малоберцовой кости, как правило, речи не идёт и идти не должно. Но, если мы решили выполнить внутреннюю фиксацию, желательно помнить, что остеосинтез малоберцовой кости при переломе пилона помогает решить и ещё одну задачу - ортопедическую:
3. стабилизировать наружный опорный комплекс голени и предотвратить вальгусную деформацию голеностопного сустава. Конечно, данная проблема не очень актуальна, или вовсе не актуальна для 43С1, но для повреждений типа 43С2,3, особенно в случаях, когда метафизарный дефект потребовал пластики, а пластину пришлось уложить по медиальной стороне - остеосинтез малоберцовой кости является крайне необходимым - привожу характерный пример.

Но перелом малоберцовой кости может быть и много проксимальнее, и его так же приходится фиксировать из этих же соображений. И особенно, если пациент полный. Из отечественных хирургов на возможность развития такого осложнения - вальгусной деформации голеностопного сустава ч/з 2-3 месяца после операции при переломах типа 43С2 в отсутствии фиксации малоберцовой кости одним из первых указал Виталий Дрягин из ГКБ №3 Челябинска ещё в конце 90х.
С уважением
|
[
Ответить ]
|
|
Re: И снова пилон
Djoldas Kuldjanov 26 Февраль 2008, 21:50
|
Публикации за последние пять лет показывают, что в лечении переломов пилона важным является состояние
мягких тканей. Поэтому при лечении пилона, особенно после высокоэнергетической травмы, необходимо придерживаться правила - лучше проводить запоздалую фиксацию, чем после операции иметь проблемы с мягкоткаными осложнениями.
Закрытый метод фиксации рекомендуется, когда фрагменты были сопоставлены в результате лигаментотаксиса, а открытый минимальный метод при нерепонированных отломках.
После репозиции сустава необходимо удостовериться
в заполнении образовавшейся полости ауто- или синтетическими заполнителями, что в последующем предохраняет от варусного коллапса.
После ExFix проведение компьютерной томографии считаем обязательным, получаем информацию о расположении крупных фрагментов, которая подскажет сторону операционного доступа и направления проведения фиксирующего материала.
Фиксация наружной лодыжки подсказывается переломом, а малоберцовая является ключом-ориентиром для длины конечности.
Если отсутствует перелом малоберцовой тогда теряется смысль проведение дистракции наружным "spanning или traveling" фиксатором.
В данном случае ориентир сохранен, малоберцовая хорошо сочленена с тараном. Но несмотря на отсутствия перелома на снимке, все-таки для страховки можно было бы сделать снимок проксимальной части конечности.
Любая фиксация - преконтурированные пластины с уголовой стабильностью, медиальная, латеральная в зависимости от нахождения отломков или наружная фиксация типа аппарата Илизарова подходят для ранней мобилизации.
Не все переломы пилона фиксируются медиальной
пластиной, поэтому, учитывая что большой фрагмент
находится на латеральной стороне, я бы применил
передне-латеральную пластину.

Djoldas Kuldjanov, MD
Department of Orthopedic Surgery
St. Louis University Medical Center
|
[
Ответить ]
|
Re: И снова пилон
Рунков А.В. 26 Февраль 2008, 21:50
|
Уважаемый Иван.
Выбор лечения во многом связан с Вашей оценкой Ваших возможностей (умения, оборудования и т.д.)произвести идеальную репозицию суставной поверхности.
На снимках смещение не является критичным для явного плохого исхода. Видали и больше, и все замечательно при консервативном лечении. (импрессии по моему нет, подвывиха тоже, вылечить рентгенограмму можно - а цена для больного?)
Вопрос, сможете ли Вы улучшить ситуацию скальпелем?
Основная опасность - передний подвывих, если при контрольной рентгенографии появились его признаки - лучше репонировать и фиксировать.
Если после спадения отека положение прежние подумайте десять раз прежде чем взять в руки скальпель.
Удачи РАВ.
|
[
Ответить ]
|
Re: И снова пилон
Корнеев Филипп 03 Март 2008, 16:35
|
учитывая особенности пациента я бы ограничился скелетным вытяжением с весом 7-8 кг в течение 1,5 мес затем лечение функциональными гипсовыми повязками.
|
[
Ответить ]
|
( Ответить )
|
|