ВХОД ДЛЯ ПАЦИЕНТОВ
вверх
поиск
админ
главная
исходное
последующие
|
Re: И снова пилон
послал Андрей Волна 02 Март 2008, 11:11
|
Уважаемые коллеги, остеосинтез малоберцовой кости при переломах пилона помогает решить, как минимум, 3 задачи:
1. шинировать сегмент. При переломах типа С, как правило, остеосинтез большеберцовой кости выполняется по спаданию отёка и заживлению мягких тканей, как и говорит об этом чуть ниже Djoldas. В этот период - с момента поступления пациента в стационар до собственно остеосинтеза перелома пилона мы можем стабилизировать конечность или путём остеосинтеза малоберцовой кости, или ExFix. Естественно, одно не равнозначно другому, для каждого метода есть свои показания в зависимости от характера перелома;
2. за счёт эффекта лигаментотаксиса восстановить правильные взаимоотношения в большеберцово-таранном сочленении. И действительно, я полностью согласен с Вами, Александр, такую же задачу мы решаем зачастую с помощью ExFix. И если наружная фиксация при переломе пилона является не методом первого этапа, а окончательным методом лечения перелома - ни о каком дополнительном остеосинтезе малоберцовой кости, как правило, речи не идёт и идти не должно. Но, если мы решили выполнить внутреннюю фиксацию, желательно помнить, что остеосинтез малоберцовой кости при переломе пилона помогает решить и ещё одну задачу - ортопедическую:
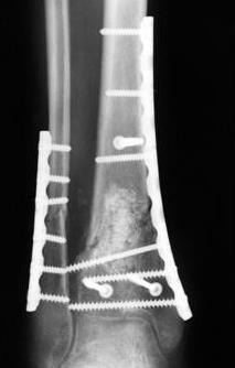
3. стабилизировать наружный опорный комплекс голени и предотвратить вальгусную деформацию голеностопного сустава. Конечно, данная проблема не очень актуальна, или вовсе не актуальна для 43С1, но для повреждений типа 43С2,3, особенно в случаях, когда метафизарный дефект потребовал пластики, а пластину пришлось уложить по медиальной стороне - остеосинтез малоберцовой кости является крайне необходимым - привожу характерный пример.

Но перелом малоберцовой кости может быть и много проксимальнее, и его так же приходится фиксировать из этих же соображений. И особенно, если пациент полный. Из отечественных хирургов на возможность развития такого осложнения - вальгусной деформации голеностопного сустава ч/з 2-3 месяца после операции при переломах типа 43С2 в отсутствии фиксации малоберцовой кости одним из первых указал Виталий Дрягин из ГКБ №3 Челябинска ещё в конце 90х.
С уважением
|
| Послать ответ |
Обратите внимание: Поля с жирными названиями обязательны.
Старайтесь отвечать в рамках обсуждаемой темы, а не начинать новые обсуждения.
Указывайте адекватную тему сообщения, чтобы было ясно, о чем оно.
Не послайте сообщений не по теме (оффтопик), раздраженных, грубых или обидных комментариев. Здесь это неуместно.
|