ВХОД ДЛЯ ПАЦИЕНТОВ
вверх
поиск
админ
главная
исходное
последующие
|
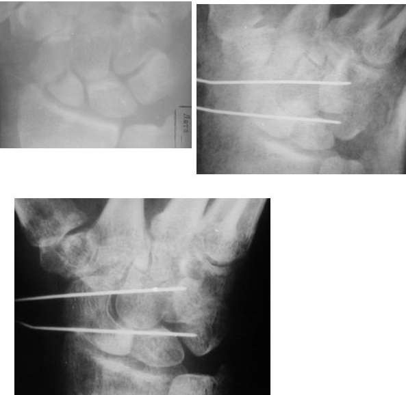
Re: Несращение ладьевидной кости после остеосинтеза компрессирущим винтом (nonunion of navicular bone after osteosynthesis with compression screw)
послал Алексей 13 Март 2008, 02:49
|

Боюсь, да - сращение не является результатом только фиксации, очень важно наличие кровообращения в стабильно фиксированых отломках. О механизме травмы общее представление мы получили, как питаются кости запястья знаем, да здесь вообще все может закончиться тотальным артродезом или эндопротезированием, а Вы о режиме думаете зачем-то. Это тоже важно конечно, если он до сих пор мотоциклист.
PS: ладьевидная кость является стабилизатором всех костей запястья, - она одна! Боль (субъективно) и нарушение функции (обьективно) по-другому преодалеть не удастся.
С уважением Алексей.
|
| Послать ответ |
Обратите внимание: Поля с жирными названиями обязательны.
Старайтесь отвечать в рамках обсуждаемой темы, а не начинать новые обсуждения.
Указывайте адекватную тему сообщения, чтобы было ясно, о чем оно.
Не послайте сообщений не по теме (оффтопик), раздраженных, грубых или обидных комментариев. Здесь это неуместно.
|