AOTRAUMA.ORG Центр Илизарова  

Ортопедия и травматология Общие вопросы/General questions Help Информационные технологии в медицине
 вверх
 отправить
 поиск
 админ
 главная


перелом лодыжек трёхмесячной давности
Ортопедия и травматология Отправлено Димтрий бондарь 16 Март 2008, 14:08
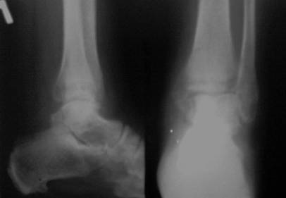
Здравствуйте, коллеги! Ко мне на консультацию обратилась больная 54 года, 110 кг весом.

первичные

3 мес.
Травма 3 мес. назад, лечилась амбулаторно в гипсовой лонгете. Как поступить далее? Я планирую ORIF, внутреннюю лодыжку - спицами и проволокой, наружную - пластиной 1\3 трубки. Позиционный винт для фиксации синдесмоза. Как Вы считаете, это верная тактика? какой вероятен исход? Какие имеются нюансы в этом сроке, особенности техники? Может стоит вначале разработать движения в голеностопе? Нужен ли гипс после операции ?С уважением Д.Б.

<  |  >

 

  • Сообщения о Ортопедия и травматология
  • Также Димтрий бондарь
  • Связаться с автором
  • Ответить

    Re: перелом лодыжек трёхмесячной давности
    Алексей20 16 Март 2008, 17:56
    Правый снимок или размыт, или, что вероятнее - все срослось. Лечите деф. артроз, коллега. А металл, металл в металлолом. Или снимки более четкие. С уважением.
    [ Ответить ]

    Re: перелом лодыжек трёхмесячной давности
    Андрей Верховский 16 Март 2008, 21:59
    Снимки конечно нечитаемые. Оставлять так конечно нельзя, не устранен подвывих. Но нужно внимательно оченить зоны перелома, т.к. срок достаточно большой. Может так получиться, что вы пойдете на МОС, а найти зоны переломов будет очень сложно, придется отломки разъединять. Хотя в личной практике часто встречаю подобные переломы 2,3,4 мес давности, и когда открываешь - ВООБЩЕ нет признаков сращения, что мне пока непонятно. Если все таки нет сращения рекомендовал бы наружную пластиной с позиционным с концевой резьбой (или рассверлить fibula до ширины резьбы, обязательно зацепившись за внутренний кортикальный слой tibia), а внутреннюю конечно винтом, отломок позволяет. Но есть еще один момент, даже если нет сращения, то зона синдесмоза наверняка уже заполнена рубцовой тканью, поэтому просто затянуть его не получится, нужно или делать ревизию или вообще идти на ВКДО.
    [ Ответить ]

    • Re: перелом лодыжек трёхмесячной давности
      Отправитель: Алексей20 22 Март 2008, 17:29
      Уважаемый, Андрей! По специфики моего отделения, я часто салкиваюсь с случаями отторжения МК, нагноения ран в ранние и поздние сроки после МОС (пациенты леченные в различных стационарах наше страны и не только нашей). По этой причине я по возможности сам стараюсь не оперировать в случаях, когда возможно избежать операцию. В данном случае 110 кг, нет информации как ходит пациент, что его беспокоит, да и вообще, чего он сам хочит от лечения, какой результат его устроит? Новой ноги у него не будет и такой как прежде она не станет, вне зависимости от тактики лечения. А мы выстраиваем тактику отталкиваясь всего лишь от информации с Rg снимков не оч. хор. качества. С уважением!

      [ Ответить ]
    Re: перелом лодыжек трёхмесячной давности
    Димтрий бондарь 17 Март 2008, 00:32
    Прошу прощения за качество снимков . Во вторник постараюсь сбросить более читабельные снимки + мортиз проекцию . Спасибо за ответ . С уважением Д.Б.
    [ Ответить ]

    Re: перелом лодыжек трёхмесячной давности
    сергей адонин 17 Март 2008, 00:43
    тактика совершенно верная. наиболее вероятный результат лечения - неудовлетворительный :), так что сразу морально готовьте больную к артродезу в будущем.
    Возможен второй вариант - все в деталях обсудить с больной и идти сразу на артродез. Это - "дело вкуса" - если в этой ветке наберется хотя бы пять советчиков - услышите оба мнения с вероятностью в 99,9% :)

    [ Ответить ]

    • Re: перелом лодыжек трёхмесячной давности
      Отправитель: Aнатолий Баранецкий 17 Март 2008, 14:46
      Почему даже не рассматриваете вопрос об эндопротезировании голеностопного сустава?

      [ Ответить ]
      • Re: перелом лодыжек трёхмесячной давности
        Отправитель: Димтрий бондарь 18 Март 2008, 01:15
        Здравствуйте,коллеги ! К сожалению нет ни технической ни материальной возможности провести ЭП ,увы . либо артродез (если больная "уговорит" меня , а я "соглашусь" ) либо остеосинтез . Но я уже имел неоднократные плохие результаты подобных вмешательств (синтез) в подобные сроки . Почему и обратился к Сообществу (а вдруг у кого-то результаты были лучше...). НО несколько случаев закончились превосходным результатом при худшей рентгенкартинке ! Вот и думаем ! Снимки выложу возможно завтра .
        С уважением Д.Б.

        [ Ответить ]
      • Re: перелом лодыжек трёхмесячной давности
        Отправитель: Игорь Кучерявый 18 Март 2008, 12:15
        Зачем такие вопросы, дорогой? :))))))

        [ Ответить ]
    Re: перелом лодыжек трёхмесячной давности
    Alexey Semenistry 17 Март 2008, 11:43
    Планируете правильно, НО! Вы встретитесь с остеопорозом, жестоким. А синдесмоз тут как раз цел. А зачем после стабильной фиксации гипс? А если фиксация лодыжек нестабильна, то зачем она вообще нужна?
    С уважением, А.Семенистый.
    ГКБ № 13, Москва.

    [ Ответить ]

    • Re: перелом лодыжек трёхмесячной давности
      Отправитель: Наврась О.В. 06 Апрель 2008, 20:04
      Уваажемый коллега! Полностью поддерживаю Вас касательно тактики лечения, однако, вынужден с Вами не согласиться в вопросе стабильности остеосинтеза застарелого перелома лодыжек. Вполне вероятно, что вследствие выраженного остеопороза не удастся достигнуть абслютной стабильности. Поэтому вопрос о необходимости внешней фиксации стоит рассматривать лишь после операции и сделать это сможет лишь оперироваший хирург, ибо только он знает насколько стабилен остеосинтез. Вне всяких сомнений, стабильная фиксация перелома с последущим функциональным ведением пациентки - это идеальный метод лечения данной пациентки. Однако заранее гарантировавть жесткую фиксацию невозможно, особенно в условиях жестокого остеопороза, как Вы изволили выразиться. С глубоким увжением Наврась О.В.


      [ Ответить ]
      • Re: перелом лодыжек трёхмесячной давности
        Отправитель: Алексей Семенистый 07 Апрель 2008, 02:51
        Об том и говорил, что ни анатомичной репозиции, ни стабильной фиксации в этом случае не предвидится, а значит, функциональный результат операции будет плохим, вероятно, хуже, чем при консервативном лечении.

        Кстати, интересно было бы узнать, на каком выборе остановились авторы темы, прошло три недели.


        С уважением, А.Семенистый.
        ГКБ № 13, Москва.

        [ Ответить ]
    Re: перелом лодыжек трёхмесячной давности
    Тимур 17 Март 2008, 11:56
    Какая "клиника" (объём движений, болевой синдром)?
    [ Ответить ]

    Re: перелом лодыжек трёхмесячной давности
    Николай Кондырев 18 Март 2008, 00:00
    Добрый день коллеги!
    В этой ситуации даже после идеально выполненого остеосинтеза толку будет не много - слишком долгий срок после травмы, да и подвывих не так ужасен, как кажется.Здесь сработает старое правило - "ходят не на рентгенограмме".
    Полностью согласен с коллегой о возможном в перспективе артродезе. Хотя и до него дело может не дойти.
    На одном из обществ травматологов Москвы И.Г.Гришин рассказал, как более 40 лет назад пытался найти больных под артродез после неправильно сросшихся лодыжек - к удивлению, большинство пациентов все устраивало.
    [ Ответить ]

    Re: перелом лодыжек трёхмесячной давности
    Gleb Korobushkin 18 Март 2008, 12:03
    Согласен с д-ром Кондыревым!
    Можно лечить и без операции. Применить ортез голеностопного сустава.
    И рекомендовать полную нагрузку. Ортез удержит от смещения кнаружи таранной кости.
    Функциональный результат будет не хуже чем после операции. Но многое определят настрой пациента.
    С ув Коробушкин Глеб
    [ Ответить ]

    Re: перелом лодыжек трёхмесячной давности
    Игорь Кучерявый 18 Март 2008, 12:24
    > Я планирую ORIF , внутреннюю лодыжку - спицами и
    > проволокой , наружную - пластиной 1\3 трубки .Позиционный винт для фиксации
    > синдесмоза. Как Вы считаете , это верная тактика ? какой вероятен исход ?
    > Какие имеются нюансы в этом сроке , особенности техники? Может стоит вначале
    > разработать движения в голеностопе ? Нужен ли гипс после операции ?


    Вполне нормальные планы. Главное - чтобы остеосинтез был стабильным, что позволит начать раннюю разработку и нагрузку. В принципе, если подвывих на интраоперационных снимках удастся устранить до стяжки, то наверное можно будет обойтись и без стягивающего синдесмоз винта? Гипс........ Если она сразу после операции свои 110 кг на ногу не положит - тогда гипс не нужен.
    Гипс в этом случае - признание не совсем удачной операции... :)

    С уважением,
    Кучерявый Игорь,
    г. Сергиев Посад.

    [ Ответить ]

    Re: перелом лодыжек трёхмесячной давности
    Алексей Минервин 21 Март 2008, 02:05
    Уважаемый, Алексей Юрьевич! Хотелось бы у Вас уточнить насчет иммобилизации голеностопного сустава при переломах лодыжек. У нас в отделении методику АО внедрили 2 года назад (к стыду признаюсь, до этого времени болты-стяжки рулили). А руководствовались Мюллером и статьей в Margo Anterior (1999г.). Вот цитата авторов статьи (J.Schatzker, M.Tile):
    “Обязательным является наложение мягких повязок и шины, удерживающей голеностопный сустав под прямым углом. Невыполнение этих требований приведет к эквинусной деформации стопы вследствие разрыва переднего отдела капсулы. Наш опыт показывает, что это одна из крупных ошибок, допускаемых при лечении повреждений в голеностопном суставе. Она может перечеркнуть результаты даже самой совершенной внутренней фиксации. В раннем послеоперационном периоде конечности должно быть прида¬но возвышенное положение с целью профилактики отека. Когда пациент сможет активно сокращать мышцы, обеспечивающие тыльную флексию, обычно на 2 - 4 день после операции, шину можно снимать для выполнения упражнений. Одна¬ко ее необходимо одевать на ночь или в промежутках между сеансами лечебной физкультуры для предупреждения эквинусной деформации.
    При травмах голеностопного сустава нельзя поступиться анатомической репозицией ради возможности ранних движений. Окончательный результат лечения зависит в большей степени от конгруэнтности сустава, чем от ранних движений. Если хирург сомневается в стабильности внутренней фиксации или в качестве ко¬сти, особенно наружной лодыжки, остеосинтез должен быть дополнен внешней иммобилизацией до развития сращения. Пренебрежение этим приведет к несчастью. Мы наблюдали несостоятельность прекрасно выполненного остеосинтеза наружной лодыжки вследствие начатых неоправданно рано движений. В то же время последние исследования, проведенные в нашем центре, не выявили существенной разницы в исходах лечения переломов при ранней разработке движений и без нее (Gollish с соавторами, 1977)”.
    Поэтому как-то побаиваемся в раннем периоде совсем оставлять без иммобилизации. Мой к Вам вопрос: при стабильной фиксации и хорошем качестве кости (абстрагируясь от обсуждаемого больного, при свежем переломе) действительно можно обойтись без иммобилизации (хоть и короткой по времени)? Или есть какие-то принципиальные моменты?
    Спасибо.
    А.Минервин.

    [ Ответить ]

    • Re: перелом лодыжек трёхмесячной давности
      Отправитель: Alexey Semenisty 22 Март 2008, 09:30
      Уважаемый Алексей Юрьевич! Хотелось бы у Вас уточнить насчет иммобилизации голеностопного сустава при переломах лодыжек. А руководствовались Мюллером и статьей в Margo Anterior (1999г.). Вот цитата авторов статьи (J.Schatzker, M.Tile):

      Да, хорошая статья, но очень давняя. Ко всему увиденному, услышанному и сделанным самим надо относится критически, тогда будет движение вперед. Не стоит все воспринимать слепо и тупо на веру. В статье дан общий подход к пониманию переломов лодыжек вообще, но мы должны понять каждый конкретный перелом у конкретного пациента.


      Обязательным является наложение мягких повязок и шины, удерживающей голеностопный сустав под прямым углом. Невыполнение этих требований приведет к эквинусной деформации стопы

      Это обязательно.

      вследствие разрыва переднего отдела капсулы.

      Насчет причинно-следственных связей я бы поспорил.Мне кажется причина в другом

      Наш опыт показывает, что это одна из крупных ошибок, допускаемых при лечении повреждений в голеностопном суставе. Она может перечеркнуть результаты даже самой совершенной внутренней фиксации.

      Наш опыт показывает тоже самое

      В раннем послеоперационном периоде конечности должно быть прида¬но возвышенное положение с целью профилактики отека. Когда пациент сможет активно сокращать мышцы, обеспечивающие тыльную флексию, обычно на 2 - 4 день после операции, шину можно снимать для выполнения упражнений.

      Да

      Однако ее необходимо одевать на ночь или в промежутках между сеансами лечебной физкультуры для предупреждения эквинусной деформации.

      Уж точно ничего дурного от ночного одевания шины еще 2-3 недели не будет, но во многих случаях это излишне.

      При травмах голеностопного сустава нельзя поступиться анатомической репозицией ради возможности ранних движений.

      Да

      Окончательный результат лечения зависит в большей степени от конгруэнтности сустава, чем от ранних движений.

      Да. Но, заметьте: "...В большей степени...", а не абсолютно.

      Если хирург сомневается в стабильности внутренней фиксации или в качестве кости, особенно наружной лодыжки, остеосинтез должен быть дополнен внешней иммобилизацией до развития сращения. Пренебрежение этим приведет к несчастью.

      Мы наблюдали несостоятельность прекрасно выполненного остеосинтеза наружной лодыжки вследствие начатых неоправданно рано движений.


      Хорошая рентгенологическая картинка еще не признак прекрасно выполненного остеосинтеза. Мы видели плохие функциональные результаты и при правильно выполненном остеосинтезе напрочь загубленной 6-ти недельной иммобилизацией

      В то же время последние исследования, проведенные в нашем центре, не выявили существенной разницы в исходах лечения переломов при ранней разработке движений и без нее (Gollish с соавторами, 1977).

      Разница пропадает примерно к 12 месяцам, однако в первые 1-3 месяца она весьма существенна (по нашим исследованиям 2001-2005г)


      Поэтому как-то побаиваемся в раннем периоде совсем оставлять без иммобилизации. Мой к Вам вопрос: при стабильной фиксации и хорошем качестве кости (абстрагируясь от обсуждаемого больного, при свежем переломе) действительно можно обойтись без иммобилизации (хоть и короткой по времени)? Или есть какие-то принципиальные моменты?

      При названных Вами условиях достаточно лонгеты на 3-4 дня. Принципиальные моменты? - малоберцовая кость - ключ! , а вот нюансов много. Приезжайте на пару недель в гости (РУДН, клиника травматологии и ортопедии на базе ГКБ № 13).


      С уважением, А.Семенистый.
      ГКБ № 13, Москва.


      [ Ответить ]

     

    ( Ответить )

    Powered by Zope  Squishdot Powered MedLink
    Посетитель: 0005785
      "По форме правильно, а по существу - издевательство" В.И.Ленин
    ©2001-2019Orthoforum Coordinator.
    [ Главная | Отправить сообщение | Поиск | Админ ]