вверх
отправить
поиск
админ
главная
|
Застарелый вывых ладьевидной кости стопы |
 |
 |
 |
Отправлено Abdurashid Turaev 05 Апрель 2008, 01:44
Обратился больной 46 лет. 3 месяца назад получил травму левой стопы в результате ДТП, живет в отдаленный степной зоне, лечился у местного табиба. Ходит при помощи двух костылей, наступая на пятку, на передный отд стопы наступать не может из-за боли, умеренная отечность стопы и деформация в обл. ладьевидной кости, движения в голеностопном суставе в польном обьеме, в средном отд ограничены и болезненны. Уважаемые коллеги, я пока не знаю что делать, помогите, пожалуйста, советами! С уважением Абдурашид.
<
|
>
|
|
Ответить
|
Re: Застарелый вывых ладьевидной кости стопы
Андрей Волна 05 Апрель 2008, 11:16
|
Уважаемый Абдурашид, с большой долей вероятности можно говорить о том, что в результате ДТП пациент плучил вывих в суставе Шопара с переломом одной из костей, скорее всего, действительно ладьевидной. Подтвердить это можно, попытавшись сделать более качественные ргр плюс снимки косым лучом для идентификации передних отделов таранной кости и таранно-ладьевидного сустава. Как я понимаю, выполнить КТ для данного пациента маловероятно. Тогда попробуйте воспользоваться таким старым, но в ряде случаев эффективным методом, как сравнительные Ргр здоровой конечности. Если Вы подтвердите д-з вывиха, а скорее да, по сохраняющемуся подвывиху, да иначе и сложно себе представить, как произошло такое смещение фрагмента, и, учитывая срок с момента травмы, Вам придётся выполнить артродез таранно-ладьевидного и, скорее всего, пяточно-кубовидного сочленений. С уважением, Волна
|
[
Ответить ]
|
Re: Застарелый вывых ладьевидной кости стопы
Отправитель: Abdurashid Turaev 05 Апрель 2008, 23:51
|
Уважаемый Андрей. Хочу выразить свою благодарность Вам и за предыдушей обстоятельной комментарии и рекомендации( перелом таранной кости).
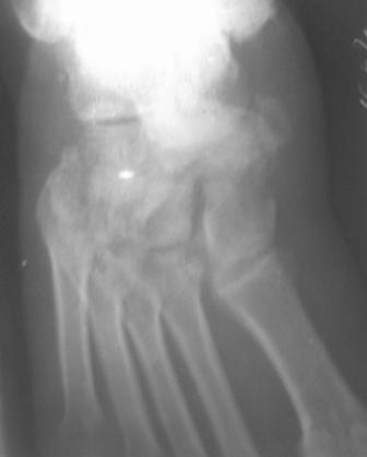
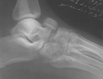
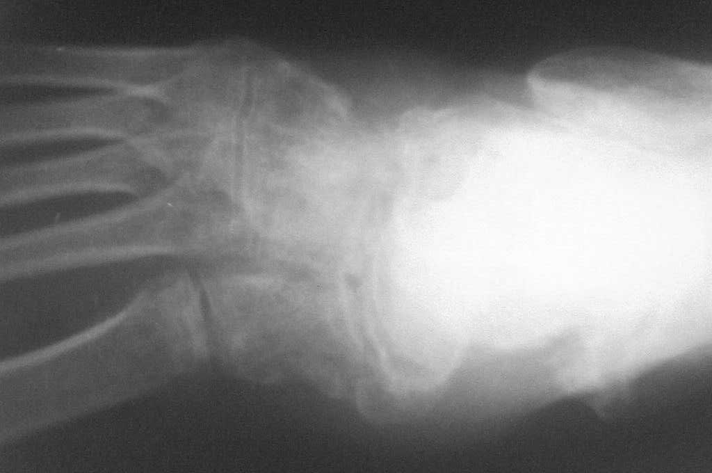
По данному случаю, оказалось 3 месяца назад было произведена Р-графия в райбольнице, но больной предпочел лечится у табиба. Присылаю первичные снимки.

С уважением Абдурашид.
|
[
Ответить ]
|
|
Re: Застарелый вывых ладьевидной кости стопы
Андрей Волна 06 Апрель 2008, 02:33
|
Да, наш с Вами диагноз, Абдурашид, подтвердился. Я бы предпочёл артродез, фиксация- в самом простом варианте-винтами 3,5 или 4,5 . Отломок послужит аутотрансплантатом. Плюс внешняя иммобилизация. С уважением, Волна
|
[
Ответить ]
|
( Ответить )
|
|