ВХОД ДЛЯ ПАЦИЕНТОВ
вверх
поиск
админ
главная
исходное
последующие
|
Re: Застарелый вывых ладьевидной кости стопы
послал Abdurashid Turaev 05 Апрель 2008, 23:51
|
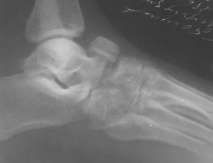
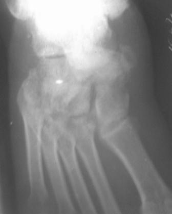
Уважаемый Андрей. Хочу выразить свою благодарность Вам и за предыдушей обстоятельной комментарии и рекомендации( перелом таранной кости).
По данному случаю, оказалось 3 месяца назад было произведена Р-графия в райбольнице, но больной предпочел лечится у табиба. Присылаю первичные снимки.

С уважением Абдурашид.
|
| Послать ответ |
Обратите внимание: Поля с жирными названиями обязательны.
Старайтесь отвечать в рамках обсуждаемой темы, а не начинать новые обсуждения.
Указывайте адекватную тему сообщения, чтобы было ясно, о чем оно.
Не послайте сообщений не по теме (оффтопик), раздраженных, грубых или обидных комментариев. Здесь это неуместно.
|