AOTRAUMA.ORG Центр Илизарова  

Ортопедия и травматология Общие вопросы/General questions Help Информационные технологии в медицине
 вверх
 отправить
 поиск
 админ
 главная
 Предыдущее


Re: Застарелый вывых ладьевидной кости стопы
Андрей Волна 05 Апрель 2008, 11:16
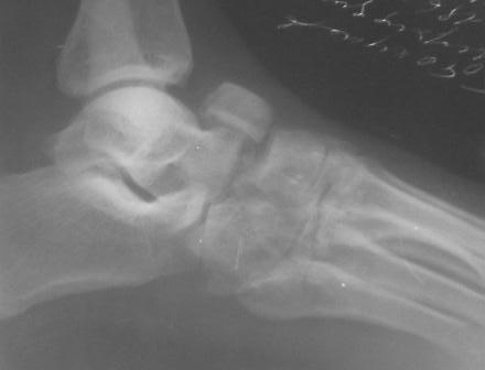
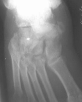
Уважаемый Абдурашид, с большой долей вероятности можно говорить о том, что в результате ДТП пациент плучил вывих в суставе Шопара с переломом одной из костей, скорее всего, действительно ладьевидной. Подтвердить это можно, попытавшись сделать более качественные ргр плюс снимки косым лучом для идентификации передних отделов таранной кости и таранно-ладьевидного сустава. Как я понимаю, выполнить КТ для данного пациента маловероятно. Тогда попробуйте воспользоваться таким старым, но в ряде случаев эффективным методом, как сравнительные Ргр здоровой конечности. Если Вы подтвердите д-з вывиха, а скорее да, по сохраняющемуся подвывиху, да иначе и сложно себе представить, как произошло такое смещение фрагмента, и, учитывая срок с момента травмы, Вам придётся выполнить артродез таранно-ладьевидного и, скорее всего, пяточно-кубовидного сочленений. С уважением, Волна
  • Сообщения о Ортопедия и травматология
  • Также Андрей Волна
  • Связаться с автором
  • Ответить

    Re: Застарелый вывых ладьевидной кости стопы
    Abdurashid Turaev 05 Апрель 2008, 23:51
    Уважаемый Андрей. Хочу выразить свою благодарность Вам и за предыдушей обстоятельной комментарии и рекомендации( перелом таранной кости).
    По данному случаю, оказалось 3 месяца назад было произведена Р-графия в райбольнице, но больной предпочел лечится у табиба. Присылаю первичные снимки.






    С уважением Абдурашид.

    [ Ответить ]


    ( Ответить )

    Powered by Zope  Squishdot Powered MedLink
    Посетитель: 0017306
      "По форме правильно, а по существу - издевательство" В.И.Ленин
    ©2001-2019Orthoforum Coordinator.
    [ Главная | Отправить сообщение | Поиск | Админ ]