AOTRAUMA.ORG Центр Илизарова  

Ортопедия и травматология Общие вопросы/General questions Help Информационные технологии в медицине
 вверх
 отправить
 поиск
 админ
 главная
 Предыдущее


Re: подбор имплантата
Sereda Andrey 22 Август 2008, 16:21
Здравствуйте
  • Сообщения о Help
  • Также Sereda Andrey
  • Связаться с автором
  • Ответить

    Re: подбор имплантата
    Sereda Andrey 22 Август 2008, 16:22
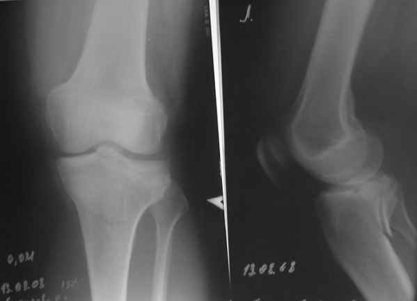
    , а обычные рентгенснимки есть?
    [ Ответить ]

    • Re: подбор имплантата
      Отправитель: С. Киселев 22 Август 2008, 16:57
      конечно есть, просто не дошли. Посылаю





      [ Ответить ]
      • Re: подбор имплантата
        Отправитель: Sereda Andrey 22 Август 2008, 22:16
        Действительно, доступ капризный. Из имплантов я бы выбрал Tomofix от синтез.

        [ Ответить ]

     

    ( Ответить )

    Powered by Zope  Squishdot Powered MedLink
    Посетитель: 0019111
      "По форме правильно, а по существу - издевательство" В.И.Ленин
    ©2001-2019Orthoforum Coordinator.
    [ Главная | Отправить сообщение | Поиск | Админ ]