вверх
отправить
поиск
админ
главная
Предыдущее
|
Re: Фиброзная дисплазия подвздошной кости
Djoldas Kuldjanov 22 Сентябрь 2008, 11:22
|
В прошлом были подобные комментарии, но учитывая, что многие коллеги участники не имели возможности ознакомиться с нашей концепцией лечения дисплазии у молодых решил повториться по поводу данного случая....
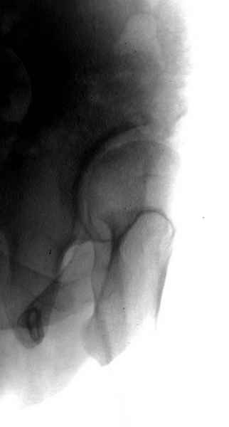
Картина типичной эволюции дисплазии сустава "кистовидная перестройка", на фоне неправильного взаймоотношения сустава "да тут угол Виберга 0 градусов" на вершине наибольшей нагрузки в вертлужной впадине образовался участок разрежения, "киста", в последующем через этот участок образуется перелом - стадия фрагментация дисплазии.
"Слишком мало информации. Каков характер болевого синдрома? Нагрузочный? Насколько выражено ограничение движений в суставе? Действительно ли болевой синдром связан с суставом? Были ли попытки консервативного лечения (в частности внутрисуставного введения протезов синовиальной жидкости? Если консервативного лечения не было, то начать надо с него. Есть ли возможность выполнить МРТ таза для уточнения характера костной перестройки, состояния хряща тазобедренного сустава?
Для установки диагноза достаточно информации, на рентгенограмме передний и задний край ацетабулум образовали перекрест, "цифру восемь", указывающий на небольшую ретроверсию, а суставная щель одинаковой ширины на всем протяжении, что доказывает, что с покрытием хряща проблем нет. Головка бедра покрыта всего наполовину, это явное нарушения взаимоотношений.
Неоднократные обсуждения на форуме "пропущенных переломов" показывает, что короткие урезанные снимки приводят к ошибке, тем более у данного больного для решения тактики лечения необходимо детальное исследование суставов.
Желательно все разбираемые случаи представить со всеми снимками, так легче принимается решение.
А для данного случая, необходим прямой снимок таза с отдельными суставами, также включить боковые снимки сустава, немаловажно знание покрытия головки спереди.
С клиникой ясно, боли в суставе связаны с нагрузкой, разгрузка сустава обычно помогает но ненадолго.
Консервативное лечение - потеря времени и финансов, обычно у молодых активных больных через год теряется сустав.
МРТ поможет, но не главное в диагностике дисплазии.
К сожалению, часто лечение диспластического коксартроза сводится лишь к остеотомиям (бедра или таза) и эндопротезированию."
В развитых ортопедических центрах после дисплазии в молодом возрасте для сохранения сустава периацетабулярная остеотомия стала стандартом лечения.
"Однако до 39 лет у пациента не было болей в суставе, и он возможно не знал о наличии у него дисплазии"
Правильно, многие в молодом возрасте не подозревают о наличии диспластических явлений, болезнь начинается с боли в суставе, особенно у женщин в третьей декаде жизни после замужества и беременности, когда набранный вес давит на сустав, а у мужчин набранный вес за короткое время приводит к ухудшению взаимотношений в суставе.
"Второй сустав у него не болит, хотя в течение последнего года он нагружает его "за двоих"
Долго работать “за двоих” не будет, скоро начнутся проблемы со вторым суставом, и поэтому рекомендуется срочная операция, который спасет второй сустав.
"Рентгенологические изменения в суставе не критические."
Отсутствие нормальных ренгенологических взаимотношении в суставе считается критическим, и отсюда генез всех перечисленных симптомов.
"блокада запирательного нерва, внутрисуставное введение гормонов, артроскопическое вмешательство могут отсрочить выполнение эндопротезирования на 3-5 лет."
Из-за отсутствия научных исследований всех перечисленных методов в лечении диспластического состояния трудно комментировать о полезности такой терапии.
Как я отметил, даже "для больного 40 лет (с оптимистическим расчетом на ревизионное эндопротезирование через 15 лет) это важно" мы бы рекомендовали коррегирующию периацетабулярную остеотомию с ревизией сустава и остеопластикой импинжмента шейки.

"Авторитеный ортопед, доктор Лонштейн, нероднократно призывал лечить не рентгенограмму, а больного."
Трудно спорить с авторитетом, но это как раз тот случай, когда ранние рентгенологические проявления дают возможность предугадать образование артроза в тазобедренном суставе в будущем.
Цель периацетабулярной операции - восстановление нормальных взаимоотношении в суставе, поэтому рекомендуемые остеотомии в молодом возрасте предназначены для профилактики дальнейшего разрушения сустава.
Кстати, после остеотомии и удаления нагрузки от проекции кист в нашей серии были самостоятельное выздоровление кисты и зарастание фрагментированного участка стенки кисты даже после минимальной фиксации.
Конечно, для оперативного решения необходимы другие технологические условия и другой менталитет больных, трудно уговорить на оперативное лечение по профилактике и сохранению сустава, когда по мнению наших коллег здесь "нормальная рентгенограмма".
Еще трудно там, где преобладает тенденция "лучше подождать", где больные и врачи настроены крайне агрессивно к новшествам, лучше "некритичный сустав" лечить назначением паллиативных "суставных эссенций", заранее зная что такое лечение преждевременно губит сустав и увеличивает статистику по эндопротезированию.
Поэтому, учитывая недоступность такой технологии на месте, подождать до ухудшения сустава и потом возможно двухсторонним эндопротезированием облегчить его страдания.
Djoldas Kuldjanov, MD
Clinical Professor
Department of Orthopedic Surgery
St. Louis University Medical Center
|
|
|
Ответить
|
Re: Фиброзная дисплазия подвздошной кости
Ivan Petrov 22 Сентябрь 2008, 17:46
|
Согласен с Вами полностью в той части, что в данном случае периацетабулярная остеотомия - оптимальный метод лечения. Однако, с учетом российского менталита, отказ от попыток консервативного лечения, хотя бы в течение 3 недель, при неудовлетворенности больным результатами первичного оперативного лечения чреват "разборками". Проведя курс консервативной терапии и не получив эффекта, доктор на 100% обосновывает операцию, не признанную пока в России, как стандарт хирургического лечения дисплазии ТБС у "молодых" взрослых.
|
[
Ответить ]
|
Re: Фиброзная дисплазия подвздошной кости
Отправитель: Alexander Chelnokov 23 Сентябрь 2008, 00:00
|
IP> учетом российского менталита, отказ от попыток консервативного
IP> лечения, хотя бы в течение 3 недель, при неудовлетворенности больным
IP> результатами первичного оперативного лечения чреват "разборками".
Видимо, ортопедам в своей работе следует руководствоваться не "российским менталитетом"(?!), а профессиональными знаниями, которые можно почерпнуть в том числе и из русскоязычных учебников и руководств. И представленный клинический пример даже в книжках многолетней давности является примером типичных показаний к оперативному лечению.
IP> Проведя курс консервативной терапии и не получив эффекта, доктор на
IP> 100% обосновывает операцию, не признанную пока в России, как стандарт
IP> хирургического лечения дисплазии ТБС у "молодых" взрослых.
В каком руководстве предлагается такой удивительный подход к выбору лечения при диспластических артрозах, какими исследованиями он
обоснован? Если консервативное лечение заведомо не решает проблемы, которая обусловлена грубыми анатомическими изменениями, тратить на него силы, время и средства - как минимум непрофессионально, и как раз это и должно быть "чревато разборками".
Периацетабулярная остеотомия "не признана в России как стандарт" не в большей мере, чем любая другая остеотомия, или консервативное лечение,
или эндопротезирование.
|
[
Ответить ]
|
Re: Фиброзная дисплазия подвздошной кости
Отправитель: Ivan Petrov 23 Сентябрь 2008, 17:56
|
Полностью согласен с Вами, уважаемые коллеги. Спорил исключительно для поддержания дискуссии.
Однако,как говорил H. Oligue:"Whatever we wish to believe we can find in experimental work to prove our theory".
1.Sanchez-Sotelo J, Trousdale R, Berry D, and Cabanela M: Surgical Treatment of Developmental Dysplasia of the Hip in Adults. J Am Acad Orthop Surg 2002;10:321-333.
«Patients who present with dysplasia with no or minimal symptoms should be treated nonsurgically. The natural history of dysplasia should be discussed with the patient and radiographs taken every 1 to 2 years to monitor the joint for development of arthritis. Nonsteroidal anti-inflammatory agents can be used and high-impact activities should be avoided. The surgical alternatives should be reserved for patients with persistent symptoms and severe limitation of their daily activities».
2.McCarthy JC, Mason JB, Wardell SR: Hip arthroscopy for acetabular dysplasia: A pipe dream? Orthopedics 1998;21:977-979.
« on 20 arthroscopies in 20 patients with mild dysplasia and mechanical pain that was reproduced with flexion and internal rotation. Eighteen had labral tears, seven had significant acetabular cartilage lesions, and three had loose bodies. After a minimum follow-up of 2 years, 85% of the patients reported improved pain and were able to return to sport and
leisure activities. Three patients had persistent pain; two of them required hip replacement».
|
[
Ответить ]
|
|
( Ответить )
|
|