Ответить
|
Re: Фиброзная дисплазия подвздошной кости
Alexander Chelnokov 20 Сентябрь 2008, 20:15
|
Похоже, это типичная кистовидная перестройка на фоне диспластического артроза.
Так что лечить надо артроз - либо улучшать соотношения в суставе, либо менять его.
|
[
Ответить ]
|
Re: Фиброзная дисплазия подвздошной кости
Ivan Petrov 20 Сентябрь 2008, 21:56
|
Слишком мало информации. Каков характер болевого синдрома? Нагрузочный? Насколько выражено ограничение движений в суставе? Действительно ли болевой синдром связан с суставом? Были ли попытки консервативного лечения (в частности внутрисуставного введения протезов синовиальной жидкости? Если консервативного лечения не было, то начать надо с него. Есть ли возможность выполнить МРТ таза для уточнения характера костной перестройки, состояния хряща тазобедренного сустава?
|
[
Ответить ]
|
Re: Фиброзная дисплазия подвздошной кости
Отправитель: Alexander Chelnokov 21 Сентябрь 2008, 21:17
|
Слишком мало информации. Каков характер болевого синдрома? Нагрузочный? Насколько выражено ограничение движений в суставе? Действительно ли болевой синдром связан с суставом? Были ли попытки консервативного лечения (в частности внутрисуставного введения протезов синовиальной жидкости?
Рентгенограмма здесь дает достаточно информации для осознания бесперспективности консервативного лечения - более чем очевидный дефицит покрытия головки, coxa valga и т.д. Никакое консервативное лечение, и "протезы синовиальной жидкости" в том числе, эту проблему не решит. Конечно, если пациента обезболить и поставить на костыли на несколько недель, это улучшит его самочувствие на какое-то время. А если думать о долгосрочной перспективе - надо планировать хирургическое лечение.
|
[
Ответить ]
|
Re: Фиброзная дисплазия подвздошной кости
Отправитель: sereda andrey 21 Сентябрь 2008, 22:13
|
Иван, да тут угол Виберга 0 градусов. Какое уж консервативное лечение. Кистозная перестройка - типичный компенсаторный (?) процесс при такой дисплазии.
|
[
Ответить ]
|
|
Re: Фиброзная дисплазия подвздошной кости
Ivan Petrov 21 Сентябрь 2008, 23:54
|
Уважаемые коллеги. Авторитеный ортопед, доктор Лонштейн, нероднократно призывал лечить не рентгенограмму, а больного. К сожалению, часто лечение диспластического коксартроза сводится лишь к остеотомиям (бедра или таза) и эндопротезированию. Однако до 39 лет у пациента не было болей в суставе, и он возможно не знал о наличии у него дисплазии. Второй сустав у него не болит, хотя в течение последнего года он нагружает его "за двоих". Рентгенологические изменения в суставе не критические. Таким образом, в настоящее время у больного причиной болевого синдрома у больного может быть часто встречающийся при дисплазии аддукторный синдром или фемороацетабулярный импиждмент, реже передняя нестабильность сустава. В этих случаях блокада запирательного нерва, внутрисуставное введение гормонов, артроскопическое вмешательство могут отсрочить выполнение эндопротезирования на 3-5 лет. для больного 40 лет (с оптимистическим расчетом на ревизионное эндопротезирование через 15 лет) это важно. Если вышеуказанные мероприятия не помогут - пожалуйства планируйте остеотомию или протез (но для выбора операции уже точно необходима МРТ). хрящ сильно поврежден - протез, частично сохранен,перенос нагрузочной зоны путем остеотомии.
|
[
Ответить ]
|
Re: Фиброзная дисплазия подвздошной кости
Djoldas Kuldjanov 22 Сентябрь 2008, 11:22
|
В прошлом были подобные комментарии, но учитывая, что многие коллеги участники не имели возможности ознакомиться с нашей концепцией лечения дисплазии у молодых решил повториться по поводу данного случая....
Картина типичной эволюции дисплазии сустава "кистовидная перестройка", на фоне неправильного взаймоотношения сустава "да тут угол Виберга 0 градусов" на вершине наибольшей нагрузки в вертлужной впадине образовался участок разрежения, "киста", в последующем через этот участок образуется перелом - стадия фрагментация дисплазии.
"Слишком мало информации. Каков характер болевого синдрома? Нагрузочный? Насколько выражено ограничение движений в суставе? Действительно ли болевой синдром связан с суставом? Были ли попытки консервативного лечения (в частности внутрисуставного введения протезов синовиальной жидкости? Если консервативного лечения не было, то начать надо с него. Есть ли возможность выполнить МРТ таза для уточнения характера костной перестройки, состояния хряща тазобедренного сустава?
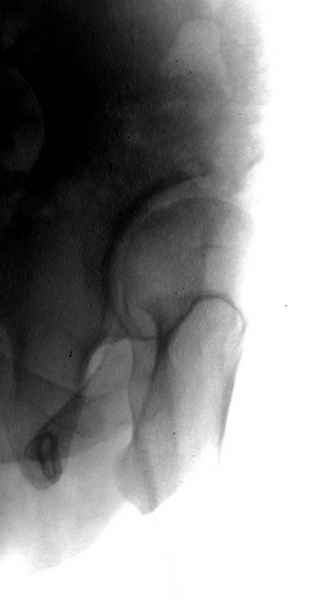
Для установки диагноза достаточно информации, на рентгенограмме передний и задний край ацетабулум образовали перекрест, "цифру восемь", указывающий на небольшую ретроверсию, а суставная щель одинаковой ширины на всем протяжении, что доказывает, что с покрытием хряща проблем нет. Головка бедра покрыта всего наполовину, это явное нарушения взаимоотношений.
Неоднократные обсуждения на форуме "пропущенных переломов" показывает, что короткие урезанные снимки приводят к ошибке, тем более у данного больного для решения тактики лечения необходимо детальное исследование суставов.
Желательно все разбираемые случаи представить со всеми снимками, так легче принимается решение.
А для данного случая, необходим прямой снимок таза с отдельными суставами, также включить боковые снимки сустава, немаловажно знание покрытия головки спереди.
С клиникой ясно, боли в суставе связаны с нагрузкой, разгрузка сустава обычно помогает но ненадолго.
Консервативное лечение - потеря времени и финансов, обычно у молодых активных больных через год теряется сустав.
МРТ поможет, но не главное в диагностике дисплазии.
К сожалению, часто лечение диспластического коксартроза сводится лишь к остеотомиям (бедра или таза) и эндопротезированию."
В развитых ортопедических центрах после дисплазии в молодом возрасте для сохранения сустава периацетабулярная остеотомия стала стандартом лечения.
"Однако до 39 лет у пациента не было болей в суставе, и он возможно не знал о наличии у него дисплазии"
Правильно, многие в молодом возрасте не подозревают о наличии диспластических явлений, болезнь начинается с боли в суставе, особенно у женщин в третьей декаде жизни после замужества и беременности, когда набранный вес давит на сустав, а у мужчин набранный вес за короткое время приводит к ухудшению взаимотношений в суставе.
"Второй сустав у него не болит, хотя в течение последнего года он нагружает его "за двоих"
Долго работать “за двоих” не будет, скоро начнутся проблемы со вторым суставом, и поэтому рекомендуется срочная операция, который спасет второй сустав.
"Рентгенологические изменения в суставе не критические."
Отсутствие нормальных ренгенологических взаимотношении в суставе считается критическим, и отсюда генез всех перечисленных симптомов.
"блокада запирательного нерва, внутрисуставное введение гормонов, артроскопическое вмешательство могут отсрочить выполнение эндопротезирования на 3-5 лет."
Из-за отсутствия научных исследований всех перечисленных методов в лечении диспластического состояния трудно комментировать о полезности такой терапии.
Как я отметил, даже "для больного 40 лет (с оптимистическим расчетом на ревизионное эндопротезирование через 15 лет) это важно" мы бы рекомендовали коррегирующию периацетабулярную остеотомию с ревизией сустава и остеопластикой импинжмента шейки.

"Авторитеный ортопед, доктор Лонштейн, нероднократно призывал лечить не рентгенограмму, а больного."
Трудно спорить с авторитетом, но это как раз тот случай, когда ранние рентгенологические проявления дают возможность предугадать образование артроза в тазобедренном суставе в будущем.
Цель периацетабулярной операции - восстановление нормальных взаимоотношении в суставе, поэтому рекомендуемые остеотомии в молодом возрасте предназначены для профилактики дальнейшего разрушения сустава.
Кстати, после остеотомии и удаления нагрузки от проекции кист в нашей серии были самостоятельное выздоровление кисты и зарастание фрагментированного участка стенки кисты даже после минимальной фиксации.
Конечно, для оперативного решения необходимы другие технологические условия и другой менталитет больных, трудно уговорить на оперативное лечение по профилактике и сохранению сустава, когда по мнению наших коллег здесь "нормальная рентгенограмма".
Еще трудно там, где преобладает тенденция "лучше подождать", где больные и врачи настроены крайне агрессивно к новшествам, лучше "некритичный сустав" лечить назначением паллиативных "суставных эссенций", заранее зная что такое лечение преждевременно губит сустав и увеличивает статистику по эндопротезированию.
Поэтому, учитывая недоступность такой технологии на месте, подождать до ухудшения сустава и потом возможно двухсторонним эндопротезированием облегчить его страдания.
Djoldas Kuldjanov, MD
Clinical Professor
Department of Orthopedic Surgery
St. Louis University Medical Center
|
[
Ответить ]
|
Re: Фиброзная дисплазия подвздошной кости
Отправитель: Ivan Petrov 22 Сентябрь 2008, 17:46
|
Согласен с Вами полностью в той части, что в данном случае периацетабулярная остеотомия - оптимальный метод лечения. Однако, с учетом российского менталита, отказ от попыток консервативного лечения, хотя бы в течение 3 недель, при неудовлетворенности больным результатами первичного оперативного лечения чреват "разборками". Проведя курс консервативной терапии и не получив эффекта, доктор на 100% обосновывает операцию, не признанную пока в России, как стандарт хирургического лечения дисплазии ТБС у "молодых" взрослых.
|
[
Ответить ]
|
Re: Фиброзная дисплазия подвздошной кости
Отправитель: Alexander Chelnokov 23 Сентябрь 2008, 00:00
|
IP> учетом российского менталита, отказ от попыток консервативного
IP> лечения, хотя бы в течение 3 недель, при неудовлетворенности больным
IP> результатами первичного оперативного лечения чреват "разборками".
Видимо, ортопедам в своей работе следует руководствоваться не "российским менталитетом"(?!), а профессиональными знаниями, которые можно почерпнуть в том числе и из русскоязычных учебников и руководств. И представленный клинический пример даже в книжках многолетней давности является примером типичных показаний к оперативному лечению.
IP> Проведя курс консервативной терапии и не получив эффекта, доктор на
IP> 100% обосновывает операцию, не признанную пока в России, как стандарт
IP> хирургического лечения дисплазии ТБС у "молодых" взрослых.
В каком руководстве предлагается такой удивительный подход к выбору лечения при диспластических артрозах, какими исследованиями он
обоснован? Если консервативное лечение заведомо не решает проблемы, которая обусловлена грубыми анатомическими изменениями, тратить на него силы, время и средства - как минимум непрофессионально, и как раз это и должно быть "чревато разборками".
Периацетабулярная остеотомия "не признана в России как стандарт" не в большей мере, чем любая другая остеотомия, или консервативное лечение,
или эндопротезирование.
|
[
Ответить ]
|
Re: Фиброзная дисплазия подвздошной кости
Отправитель: Ivan Petrov 23 Сентябрь 2008, 17:56
|
Полностью согласен с Вами, уважаемые коллеги. Спорил исключительно для поддержания дискуссии.
Однако,как говорил H. Oligue:"Whatever we wish to believe we can find in experimental work to prove our theory".
1.Sanchez-Sotelo J, Trousdale R, Berry D, and Cabanela M: Surgical Treatment of Developmental Dysplasia of the Hip in Adults. J Am Acad Orthop Surg 2002;10:321-333.
«Patients who present with dysplasia with no or minimal symptoms should be treated nonsurgically. The natural history of dysplasia should be discussed with the patient and radiographs taken every 1 to 2 years to monitor the joint for development of arthritis. Nonsteroidal anti-inflammatory agents can be used and high-impact activities should be avoided. The surgical alternatives should be reserved for patients with persistent symptoms and severe limitation of their daily activities».
2.McCarthy JC, Mason JB, Wardell SR: Hip arthroscopy for acetabular dysplasia: A pipe dream? Orthopedics 1998;21:977-979.
« on 20 arthroscopies in 20 patients with mild dysplasia and mechanical pain that was reproduced with flexion and internal rotation. Eighteen had labral tears, seven had significant acetabular cartilage lesions, and three had loose bodies. After a minimum follow-up of 2 years, 85% of the patients reported improved pain and were able to return to sport and
leisure activities. Three patients had persistent pain; two of them required hip replacement».
|
[
Ответить ]
|
|
Re: Фиброзная дисплазия подвздошной кости
Антон Андрианов 22 Сентябрь 2008, 17:13
|
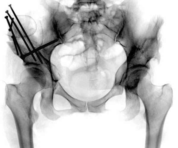
Большое спасибо коллегам, которые укрепили меня в моих сомнениях.А сомнения родились после того, когда больной, направленный мною для эндопротезирования, вернулся после операции экскохлеации кистозных полостей и костной аутопластики из гребня.Диагноз клиники -фиброзная дисплазия,со слов пациента подтвержден гистологически.Через несколько месяцев он бросит костыли и скорее всего вновь появятся боли и симптом Тренделенбурга.В подобных случаях с 86 года у нас производились варизующие остеотомии и многие больные избежали ТЭП.причем оперировали вначале манифестный сустав, убеждали и через год корригировали второй.Перед операцией делаем снимок в прямой проекции с максимальным приведением-отведением, оценивая позиционирование головки.Попытаемся убедить больного через 6-7 мес. в необходимости операции коррекции ШДУ.
|
[
Ответить ]
|
Re: Фиброзная дисплазия подвздошной кости
Ильдар Ахтямов 25 Сентябрь 2008, 08:05
|
Уважаемые коллеги!
Воистину, нет пророка в своем отечестве!
Складывается впечатление, что:
- наши ортопеды-травматологи перестали читать отечественную литературу или
- взрослые ортопеды с пренебережением относятся к публикациям детских "ортопедов" или
- просто не хотят читать специализированные издания, а "быстренько" задать вопрос по форуму.
Отечественная школа ортопедии одна из лучших в мире в плане хирургии дисплазии тазобедренного сустава. Это не пафосные слова, это признается и зарубежными специалистами.
Возьмите монографии прошлых лет:
Мирзоева И.И. с соавт. Оперативное лечение врожденного вывиха бедра у детей, Л., 1976
Соколовский А.М., Крюк А.С. Хирургическое лечение заболеваний тазобедренного сустава, Минск, 1993;
Корж А.А. с соавт. Диспластический коксартроз, -М., 1986
Ежов Ю.И. Внесуставные реконструктивные операции при лечении коскартроза и многие другие.
Почему нет ссылок и на современных отечественых авторов?
О.А. Соколовский считается одним из лучших специалистов по коррекции костей таза при ДКА. Он неоднократно публиковался в русскоязычной литературе, читал лекции в Европе и США по этому вопросу, в т.ч. по приглашению школы доктора Д. Поллея.
Я не "шувинист", но мы настолько приклонили голову перед Западом, что перестаем думать самостоятельно.
Читайте публикации М.М. Камоско, А. Плющева, В.И. Шевцова, Е.А. Волокитиной, В.П. Абельцева, А.Н. Горячева, А.П. Крисюка, В.М. Машкова, И.П. Соболева, М.В. Паршикова и многих других наших соотечественников, которые "собаку съели" на этой патологии. Вот вам и не придется делать ссылок на англицком языке.
А теперь о деле.
Если бы пациентке боло 15 - 25 лет, т.е. до окончания периода деторождения, то я согласился бы с вами на все 100% - необходима первичная остеотомия таза (но не периацетабулярная, а двойная или тройная). Однако она значительно старше и следует без раздумий делать первичное ТЭП.
Доводы:
- остеотомия таза приведет к ортопедическим ограничениям (в т. ч. постельный режим и т.п.) на срок до 6-9 месяцев. Процесс деф. артроза это не остановит и через 4-5 лет приведет к ТЭП.
- при первичном ТЭП больная со второго дня будут передвигаться на костылях, а через месяц - с полной нагрузкой. Возможная ревизия ЭП (надеюсь) в далекой переспективе.
Скажите, а остеотомия таза это легче чем ревизия ЭП? Почему вы пытаетесь обречь пациентку на вторую операцию уже через 4-5 лет (остеотомия таза - первичная ТЭП), а не через 15 - 20 (возможная ревизия ЭП)?
Вы спросите пациентку, а что для неё лучше из сказанного?
Поверьте, я только за этапное лечение больных с ДКА, но нужно четко дифференцировать как стадии процесса, так и возраст пациентов и их пожелания. Считаю, что не имеющим опыт в остеотомиях таза докторам, тем более не стоит экспериментаировать с пациентами при ДКА. Это очень не простой хлеб для ортопеда.
С уважением и наилучшими пожеланиями, АИФ
|
[
Ответить ]
|
Re: Фиброзная дисплазия подвздошной кости
Отправитель: Ivan Petrov 25 Сентябрь 2008, 21:20
|
К сожалению "Пушкин - это наше все", это не совсем верная аргументация.В медицине не важно, кто это делает наши или ваши, а у кого лучше результаты, причем оцененые объективно, а не диктуемые "властью авторитета". Чем двойная или тройная остеотомия лучше периацетабулярной? Зачем после остеотомии Вы укладываете больных в постель на 6-9 месяцев? К ТБС применимы те же принципы,что и при лечени поражений других суставов. например, при варусном гонартрозе 2-3 стадии Вы же не будете выполнять ТЭ, а начнете лечение с остеотомии, которая отсрочит ТЭ на 4-5 лет.Это единая концепция максимально долгого сохраниения собственного сустава, принятая в настояще время во всем мире "resurfacing - realiment - replacment".
|
[
Ответить ]
|
Re: Фиброзная дисплазия подвздошной кости
Отправитель: Ильдар Ахтямов 27 Сентябрь 2008, 09:02
|
Уважаемый Иван!
На Западе больные с III стадией гонартроза - достаточно редкая ситуация. Им и не снились наши больные. Оперируют раньше и не остеотомиями, а ЭП. Нет никакого авторитарного давления на врачей, а есть вполне обоснованная практика - периацетабулярная остеотомия увеличивает локальное давление на головку бедра, усугубляет дегенеративный процесс и может использоваться лишь в сочетании с варизирующей остеотомией бедра, что давно доказано "детскими" ортопедами. Я не впервые поднимаю вопрос об отсутствии преемственности лечения (и знания) больных с заболеваниями ТБС и вновь сталкиваюсь с упорным нежеланием учесть опыт своих коллег (детских ортопедов). В свою очередь, дет. ор-ды упорно не желают прислушиваться к мнению "взрослых" о необходимости разумного применения вариантов реконструкции ТБС в детском и подростковом возрасте, дабы не осложять оперативные вмешательства у повзрослевшего пациента после "светлого промежутка".
Я не хочу обидеть Вас и других коллег, желающих этапно (хирургически или консервативно)подвести пациента к терминальной стадии процесса, но считаю, что больной и во II стадии артроза имеет право на безболезненное житьё с полноценной функцией в суставе. В качестве обоснованного возражения приму ссылку на источники, утверждающие, что в 40 лет есть необходимость в этапном лечении ДКА. АИФ
|
[
Ответить ]
|
|
Re: Фиброзная дисплазия подвздошной кости
Антон Андрианов 25 Сентябрь 2008, 19:13
|
Уважаемые коллеги,
обсуждение данного конкретного случая выявило различия в подходах к проблеме ДКА.Приятно, что на форуме вновь разгорелась дискуссия.Но, направив пациента на ТЭП в клинику по с трудом полученной им квоте, я был удивлен и операцией и гистологическим результатом.Моему больному не повезло дважды- сначала первые симптомы коксартроза пытались лечить герниопластикой, а мне и ранее встречались подобные случаи, когда боли в подвздошно-паховой области-первые проявления АНГБК приводили пациента к общему хирургу и он, найдя многолетнюю грыжу, устранял ее. К ортопеду больной приходил уже с костылями.Можно к списку литературы, приведенному д-ром Ахтямовым добавить и монографию Гурьева-Двухстонний коксартроз.Подождать пару годиков и выполнить двухстороннее ТЭП можно было при условии, что эти операции вдруг станут бесплатными или пациент выиграет 200 тысяч в спортлото.Межвертельная варизующая остеотомия видится доступным во всех отношениях вмешательством, но лишь тогда, когда больной сам подойдет к этому.
|
[
Ответить ]
|
Re: Фиброзная дисплазия подвздошной кости
Бехтерев Антон 05 Октябрь 2008, 19:01
|
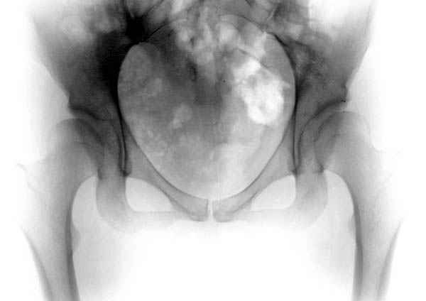
Как раз к обсуждению. Обратилась за косультацией 21-летняя девушка с жалобами на боли в левом тазобедренном суставе. Что можно ей порекомендовать?
coxa.jpg
43KB (44988 bytes)
|
[
Ответить ]
|
( Ответить )
|
|