ВХОД ДЛЯ ПАЦИЕНТОВ
вверх
поиск
админ
главная
исходное
|
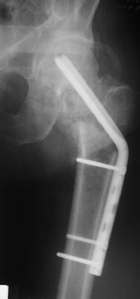
Re: Нелеченный перелом шейки бедра
послал Alexander Chelnokov 11 Октябрь 2008, 00:49
|
Приветствую всех. Спасибо за активное участие в обсуждении. Выбрали вариант с остеотомией.
Снимки в приложении.

Надеемся на днях поднять на костыли.
|
| Послать ответ |
Обратите внимание: Поля с жирными названиями обязательны.
Старайтесь отвечать в рамках обсуждаемой темы, а не начинать новые обсуждения.
Указывайте адекватную тему сообщения, чтобы было ясно, о чем оно.
Не послайте сообщений не по теме (оффтопик), раздраженных, грубых или обидных комментариев. Здесь это неуместно.
|