Ответить
|
Re: Нелеченный перелом шейки бедра
Бен Эльайфар Мохамед 29 Сентябрь 2008, 22:10
|
Можно вести этого пациента консервативно, вальгизирующая остеотомия поменяет анатомию костно-мозгового канала для ножки эндопротеза, а с эндопротезированием лучше не торопиться, дождитесь абсолютных показании к операции.
|
[
Ответить ]
|
Re: Нелеченный перелом шейки бедра
Антон Андривнов 30 Сентябрь 2008, 06:36
|
А.Н.,
очень хорошо,что Вы не ставите абсолютных показаний к ТЭП.Частота осложнений и достаточно высокая стоимость заставляют искать щадящий экономный вариант.Судя по снимкам, головка не ротирована, не порозна.В силу малодоступности нашим пациентам ТЭП у нас имеется положительный опыт применения вальгизирующей остеотомии и в более поздние сроки при значительном лизисе шейки.Всегда наступает консолидация, функция ТБС вполне достаточная.А эндопротезирование в более сложных анатомических условиях, если оно потребуется - для специалистов Вашего НИИТО решаемая задача.
|
[
Ответить ]
|
Re: Нелеченный перелом шейки бедра
Djoldas Kuldjanov 30 Сентябрь 2008, 07:55
|
Привет Александр,
Дальнейшее консервативное лечение бесполезно, если оставить как есть, варус и укорочение будет прогрессировать.
Больному всего 50, мы бы выбрали межвертельную вальгусную технику, который удержит от дальнейшего укорочения и прогрессирующего варуса.
Джолдас
|
[
Ответить ]
|
Re: Нелеченный перелом шейки бедра
Andy Halliday 30 Сентябрь 2008, 16:01
|
My impression from that x-ray is that the head is avascular. I'd get a bone scan to assess viability.
Andy Halliday,
Consultant and Lead Clinician,
Trauma and Orthopaedics,
Grantham and District Hospital,
Manthorpe Road,
Grantham,
Lincs.
|
[
Ответить ]
|
Re: Нелеченный перелом шейки бедра
Maxim Agalakov 30 Сентябрь 2008, 21:41
|
THR цивилизованным протезом в ближайшее время почти гарантированно даст хороший результат лет на 15-20 с вероятностью 85-95%, стоит ли искать другие варианты с , вероятно, меньшими шансами на успех? В случае неудовлетворительного результата остеотомии, ему придется отстоять в очереди года 2-3 (эндопротезирование в этом случае будет сложнее), либо прооперироваться платно, какой вариант ближе пациенту ?
С уважением, Максим
|
[
Ответить ]
|
Re: Нелеченный перелом шейки бедра
Игорь Атманский 02 Октябрь 2008, 11:00
|
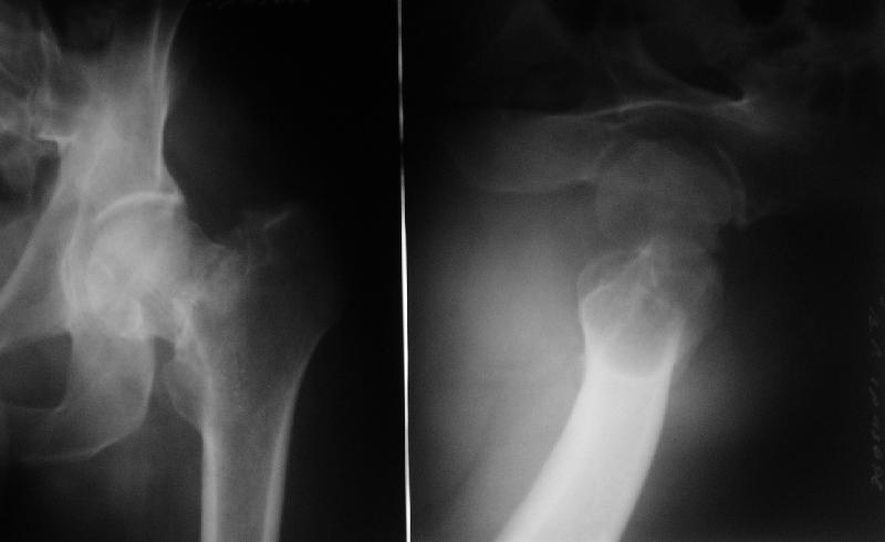
Уважаемый Александр Николаевич!
На R-гр. в прямой проекции очень явственно виден малый вертел, что свидетельствует об избыточной наружной ротации бедренной кости. А по тексту следует фиксированная ротация. Возможно, следует провести дополнительное R-обследование.
С Ув. И.Атманский.
|
[
Ответить ]
|
Re: Нелеченный перелом шейки бедра
Ерсин Жунусов 02 Октябрь 2008, 22:21
|
Привет Александр! Как доехал? Спасибо тебе наконец-то попал на форум.
мое мнение может возраст еще позволить чем протезировать, я за остеотомию и синтез. только чем будешь фиксировать если первый вариант выберешь, мне кажется лучше ДХС, только я диафизарную часть пластины разгибаю под углом вальгуса, обычно заранее. недавно я тоже делал такой же случай, но там он был моложе. Ерсин. Астана
|
[
Ответить ]
|
Re: Нелеченный перелом шейки бедра
Adonin 02 Октябрь 2008, 23:48
|
+1 to THA
|
[
Ответить ]
|
Re: Нелеченный перелом шейки бедра
Михаил 05 Октябрь 2008, 22:21
|
Уважаемый Александр Николаевич,
Позвольте высказать свое мнение.
Поскольку вы говорите, что движения безболезненны и, судя по срокам, нагрузку еще никто не разрешал - предлагаю с иммобилизационной целью зафиксировать тремя спонгиозными винтами. Пускай занимается ЛФК и ждет полного сращения.
По снимкам могу предположить, что укорочение составляет ~ 2,0 - 2,5 см и варусная деформация около 7 - 10 градусов. Вероятно, в дальнейшем такое смещение больного может и не беспокоить.
Тем более, что зафиксировать винтами намного проще, чем проводить протезирование. Последнее никогда не поздно - если нарастет картина через пол года тогда и проблема выбора решится.
С уважением, Михаил.
|
[
Ответить ]
|
Re: Нелеченный перелом шейки бедра
Солод Эдуард 06 Октябрь 2008, 20:29
|
Интересно когда судят о смещении и угле только по р-ме одного сустава. Для этого минимум нужен обзорный снимок таза. Судя по всему здесь Пауэлс 2, гарден2. Судя по клинике перелом стабильный и р-ме. Несмотря на срок после травмы(а это тоже важно) в таком возрасте необходим остеосинтез.Кстати, похожая больная у нас была( тип перелома такой же -3 недели после травмы). Фиксировали V-образными спицами. Перелом через год "как ни странно" сросся. ( а протез установить никогда не поздно). Большой привет!!!!
|
[
Ответить ]
|
Re: Нелеченный перелом шейки бедра
Alexander Chelnokov 11 Октябрь 2008, 00:49
|
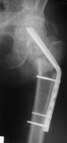
Приветствую всех. Спасибо за активное участие в обсуждении. Выбрали вариант с остеотомией.
Снимки в приложении.

Надеемся на днях поднять на костыли.
|
[
Ответить ]
|
( Ответить )
|