ВХОД ДЛЯ ПАЦИЕНТОВ
вверх
поиск
админ
главная
исходное
|
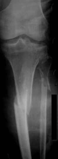
Re: Перелом голени
послал Андрей Волна 06 Декабрь 2008, 22:43
|
Уважаемые коллеги, случай интересен прежде всего тем, что в данном переломе присутствуют два компонента - внутрисуставной и метадиафизарный, требующих соблюдения разных принципов при хирургическом лечении. Для внутрисуставного компонента необходима анатомичная репозиция с межфрагментарной компрессией и достижением абсолютной стабильности. При наличии импрессии надо быть готовым к замещению дефекта. Артротомию выполнять придётся, но она может быть достаточно деликатной, что, впрочем, не всегда возможно. И здесь хорошим подспорьем является предварительно наложенный аппарат внешней фиксации. Для артроскопически ассоциированной репозиции всё-таки лучше подходят случаи с преобладанием импрессии, а не раскалывания, как у данного пациента.
Для метадиафизарной части этого повреждения обнажение перелома с анатомичной репозицией не является абсолютно необходимым, и, более того, неизбежно приведёт к деваскуляризации кости и возможным проблемам с заживлением перелома. Для этой части перелома желательно шинирование без обнажения зоны перелома. Шинирование может быть интрамедуллярным соответствующим гвоздём или экстрамедуллярным (пластиной или аппаратом внешней фиксации). Главное для метадиафизарной части перелома - это восстановление длины, оси конечности с правильной ротационной установкой и достижением относительной стабильности.
В заключение - клинический пример хирургического лечения похожего перелома из моего архива (1,2). После анатомичной репозиции суставной поверхности с введением стягивающего винта замещён дефект (3,4). Метадиафизарная часть перелома шинирована блокированной пластиной без обнажения отломков (5,6,7).

С уважением, Андрей Волна
|
| Послать ответ |
Обратите внимание: Поля с жирными названиями обязательны.
Старайтесь отвечать в рамках обсуждаемой темы, а не начинать новые обсуждения.
Указывайте адекватную тему сообщения, чтобы было ясно, о чем оно.
Не послайте сообщений не по теме (оффтопик), раздраженных, грубых или обидных комментариев. Здесь это неуместно.
|