Ответить
|
Re: Перелом голени
Гринь Алексей 05 Декабрь 2008, 22:16
|
В плане диагностики советую выполнить КТ, это помогло бы Вам определиться есть ли импрессия или нет. Если есть то заранее подумать о материале которым будете замещать дефект после репозиции.
С выбранным Вами методом лечения согласен, но перед операцией я бы выполнил скелетное вытяжение на 2-3 дня с целью восстановления длины голени - это Вам облегчит репозицию.
С уважением Алексей.
|
[
Ответить ]
|
Re: Перелом голени
Отправитель: Наврась Олег 06 Декабрь 2008, 00:42
|
Спасибо за ответ. КТ Планирую выполнить обязательно в понедельник. Скелетным вытяжением пациенка лечилась на районе. Рентгенологически длина голени практически воостановлена.
|
[
Ответить ]
|
|
Re: Перелом голени
Михаил Васильев 06 Декабрь 2008, 00:43
|
Опыт показывает, что при использовани аппарата Илизарова возникают проблемы с удалением интерпозиции тканей. Конечно, окончательный вариант всегда выбирается после оценки всей совокупности факторов, но при использовании конструкции с угловой стабильностью можно не усложняться артроскопией. При сопоставлении отломков мне кажется достаточно будет интраоперационной рентгенограммы (в оригинале ЭОП контроль). Удачи.
|
[
Ответить ]
|
Re: Перелом голени
Отправитель: Наврась Олег 06 Декабрь 2008, 00:54
|
ЭОП имеется, однако при начиличии смещения центральной части мыщелка, оценка вправления затруднена (на контрольной КТ можно "удивиться"), поэтому объективизация стояния фрагментов суставной поверхности, на мой взгляд, должна быть более информативной (Артро -скопия или -томия). Конечно, не хочется затягивать время операции, но, пренебрегать визуальным контролем, наверное, не совсем правильно. А как Вы считаете? Спасибо.
|
[
Ответить ]
|
Re: Перелом голени
Отправитель: Михаил 06 Декабрь 2008, 22:59
|
Согласен, имменно по этой причине добавлял оговорку, что конечная методика выбирается с оценкой всей совокупности факторов и реальной ситуации у пациента.
|
[
Ответить ]
|
|
Re: Перелом голени
Alexander Chelnokov 06 Декабрь 2008, 01:20
|
Если опыта артроскопии именно при такой патологии немного, то посмотреть в скоп для тренировки, конечно, можно, но планировать лучше открытую репозицию суставной поврехности. Уже прошло 2 недели, пока возьмете - еще пройдет несколько дней. Скопическими инструментами не достать фрагменты, которые находятся глубже суставной поверхности между отломками. Оперировать лучше в дистракторе, растягивающем коленный сустав. Диафизарный перелом не надо открывать. Пластину если использовать, то сильно длинную. Можно и гвоздь с большим количеством проксимальных отверстий. И аппарат циркулярный или гибридный сгодится. Можно и в 2 этапа сделать - наложить аппарат, а через месяца 1,5-2, когда эпиметафиз срастется, заштифтовать.
|
[
Ответить ]
|
Re: Перелом голени
Ерсин Жунусов 06 Декабрь 2008, 12:44
|
Уважаемый Олег! КТ конечно желательно, но то, что импрессия есть и так-то видно. при политравме оптимальными сроками являются 1-2 сутки, 7-10 сутки и/или свыше 21 суток (окна благопрятствия), в эти сроки помимо клинического состояния стабилизируются метаболические, иммунологические процессы. Вариантом фиксации, по нашему мнению,оптимальным будет LCP, но артротомия неизбежна, так как один из принципов лечения внтурисуставных переломов это - идеальная репозиция. В клинической практике всем известно, что ЭОП искажение приводит к расхождению в сравнении с истинным стоянием отломков.
Насчет ЧКДО это тоже альтернатива, но учтите что ранняя нагрузка будет в любом случае исключена, во вторых возникнут трудности закрытой репозиции.
поэтому предпочтительна открытая репозиция и фиксация пластиной. в плане репозиции диафзарной части перелома интраоперационо можно поступить следующим образом: после сопоставления наружного мышелка и фиксации проксимальной части пластины дистальный отломок диафиза можно растянут на спицевом дистракторе, то есть одну спицу проводите через проксимальный метафиз б/б кости, дургую в дистальном метафизе, спицы закрепляете в полукольцах от апп. Илизарова (по задней поврехности голени), полукольца соединяете телескопическими стержнями создаете одномоментную дистракцию и дистальную часть пластины укладываете на диафиз. это облегачет репозицию так как освобождает от третьего ассистента (который участвует только для того чтобы тянут конечность)и ортопедической приставки, после установки пластины дистрактор демонтируется.
У нас были случаи когда приходилась поднимат мышелок и субхондрально вбивали титановую пластину (разработка одного из наших коллег) или устанавливали аутокостный трансплантат. С уважением Ерсин Жунусов зав отд множеств травмы НИИТО Астана.
|
[
Ответить ]
|
Re: Перелом голени
Odessky Jacob M.D. 06 Декабрь 2008, 13:36
|
Уважаемый Олег! в приложенном файле Вы сможете найти закрытую технику репозиции подобного типа переломов.
Файл PDF, 1,42 Mb
С уважением!
|
[
Ответить ]
|
Re: Перелом голени
Андрей Волна 06 Декабрь 2008, 22:43
|
Уважаемые коллеги, случай интересен прежде всего тем, что в данном переломе присутствуют два компонента - внутрисуставной и метадиафизарный, требующих соблюдения разных принципов при хирургическом лечении. Для внутрисуставного компонента необходима анатомичная репозиция с межфрагментарной компрессией и достижением абсолютной стабильности. При наличии импрессии надо быть готовым к замещению дефекта. Артротомию выполнять придётся, но она может быть достаточно деликатной, что, впрочем, не всегда возможно. И здесь хорошим подспорьем является предварительно наложенный аппарат внешней фиксации. Для артроскопически ассоциированной репозиции всё-таки лучше подходят случаи с преобладанием импрессии, а не раскалывания, как у данного пациента.
Для метадиафизарной части этого повреждения обнажение перелома с анатомичной репозицией не является абсолютно необходимым, и, более того, неизбежно приведёт к деваскуляризации кости и возможным проблемам с заживлением перелома. Для этой части перелома желательно шинирование без обнажения зоны перелома. Шинирование может быть интрамедуллярным соответствующим гвоздём или экстрамедуллярным (пластиной или аппаратом внешней фиксации). Главное для метадиафизарной части перелома - это восстановление длины, оси конечности с правильной ротационной установкой и достижением относительной стабильности.
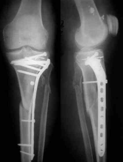
В заключение - клинический пример хирургического лечения похожего перелома из моего архива (1,2). После анатомичной репозиции суставной поверхности с введением стягивающего винта замещён дефект (3,4). Метадиафизарная часть перелома шинирована блокированной пластиной без обнажения отломков (5,6,7).

С уважением, Андрей Волна
|
[
Ответить ]
|
Re: Перелом голени
Отправитель: Наврась Олег 07 Декабрь 2008, 23:27
|
Большое спасибо! Благодаря Вашим советам я принял решение начать с артротомии, остеосинтеза мыщелков стягивающими винтами. С последующим остеосинтезом пластиной с угловой стабильностью. От артроскопии решил отказаться. Посоветуйте, пожалуйста, какова должна быть длина пластины (кол-во отверстий по диафизу). Это важно, так как пациентка приобретает конструкцию. И большого выбора на операции у меня не будет (максимум 2-3 пластины), поскольку в наличии наких конструкций в клинике нет. Фирма заказывает их в Польше. Мне нужно заказать конкретных 2-3 пластины и винты к ним. На снимке - выбраная мной пластина, но я не уверен насчет длины.
|
[
Ответить ]
|
Re: Перелом голени
Отправитель: А.Ситник 08 Декабрь 2008, 20:33
|
Уважаемый Олег,
Длина пластин в зависимости от количества отверстий должна быть указана в каталоге. Соответственно можно померять почти прямо по снимку с учетом его увеличения. Похоже пластины на 8 диафизарных отверстий будет вполне идостаточно, если закажете ещзе на 10 и 12 - фирма не обидится - т.к. при наличии пластинм подходящий перелом появится быстро:)
Удачи,
А.Ситник
|
[
Ответить ]
|
|
Re: Перелом голени
Alexey Semenisty 08 Декабрь 2008, 07:28
|
"...Я пока склоняюсь к открытому впралению без артротомии с артроскопическим видеоконтролем, остесинтез пластиной с угловой стабильностью..."
"...но, пренебрегать визуальным контролем, наверное, не совсем правильно. А как Вы считаете? "
Олег, Не совсем ясно, что вы хотите "вправлять" открыто? Суставной перелом? Диафизарный перелом?
На мой взгляд, следует избежать открытой репозиции именно диафизарного перелома, здесь малоинвазивная техника Ex-fixator assisted reduction была бы очень уместна.
Артроскопия здесь трудно выполнима вследтвие того же диафизарного перелома, который не позволит манипулировать свободно сегментом... КТ безусловно была бы полезна.
Репозицию и фиксацию следует начинать с суставного перелома. В данном случае неширокая артротомия плюс ЭОП контроль плюс все теже приемы репозиции вдавленного фрагмента, которые бы вы применили бы при артроскопической визуализации. После фиксации суставного перелома спицами и винтами перейти к малоинвазивной репозиции и стабилизации диафиза блокированной пластиной. Дистрактор или модуль аппарата Илизарова очень помогут вам с репозицией.
С уважением, А.Семенистый.
ГКБ № 13, Москва.
|
[
Ответить ]
|
Re: Перелом голени
Андрей Волна 08 Декабрь 2008, 09:34
|
Уважаемый Олег, реально Вы можете ошибиться лишь в короткую сторону, так что проблема подбора длины вполне решаемая. Приблизительные рекомендации - в приложенном фрагменте лекции.
 Файл PDF, 80Kb
С уважением.
|
[
Ответить ]
|
Re: Перелом голени
nastenaa1620 17 Март 2010, 01:15
|
Здравствуйте Уважаемые,
Пожалуйста, помогите!
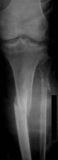
Мама 4 дня назад получила двойной перелом в голени
Диагноз такой:
1) Открытый перелом нижней 3-й большой берцовой кости
2) Верхней 3-й малой берцовой кости справа со смещением
Снимки смогли сделать только через 4 дня, я смогла приложить только 1 снимок к форуму
В пятку ей вставили штырь и повесили гирю сразу.
Есть возможность сделать операцию и вставить титановую пластину.
Проконсультировались с другим врачом-травматологом, он говорит, что при таком переломе нужен аппарат Илизарова. И делать нужно как можно скорее.
А наш врач говорит, что в ноге, так где кость проткнула кожу есть инфекция, сейчас ей обрабатывают марганцовкой и назначили кварцевание. Врач назначил операцию по вставлению тинановой пластины только через неделю, ссылаясь на инфекцию. Говорит, что если делать сейчас мы сможем ее занести внутрь на 80%, а он на себя такую ответственность брать не собирается. Говорит там пузырь и только когда кожу залечим, будем делать операцию
Другой врач говорит, что важно сделать операцию сейчас, а кожу залечить потом
Помогите, пожалуйста, не знаешь кому верить
Заранее большое спасибо
перелом верх2.jpg
1767KB (1810411 bytes)
|
[
Ответить ]
|
( Ответить )
|
|