вверх
отправить
поиск
админ
главная
Предыдущее
|
Re: Перипротезный перелом
Alexander Chelnokov 22 Декабрь 2008, 00:02
|
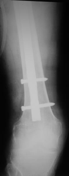
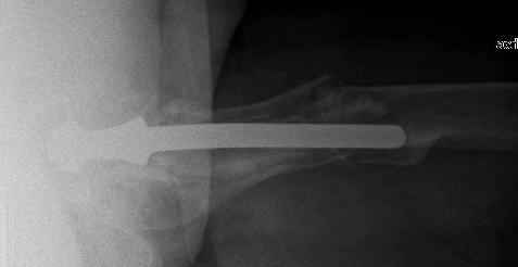
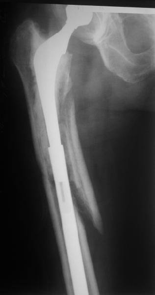
Спасибо за обсуждение. После нескольких дней тракции аппаратом сделали. Попытка закрытой репозиции не удалась из-за смещения по ширине, мешали фрагменты цемента. После их удаления репозиция получилась. Еще убрали немного цемента с ножки по латерльной стороне, чтобы обнажить 40-50 мм ее дистальной части, для плотной посадки гвоздя. Дальнейшее введение гвоздя было несложным. Протез показался нам стабильным в проксимальной части как латерально, так и медиально. Картинки в приложении.
THX for the discussion. After few days of traction by ex-fix the surgery was performed. An attempt of closed nailing was unsuccesful because of fragment translation, which was blocked by cement fragments. After removal of broken cement pieces reduction was reached "automagically". Also some cement from lateral part was removed by
chisel to expose distal 40-50 mm of the stem to allow tight fit of the nail. Further fixation by the nail was pretty easy and straightforward. Images attached. The stem looked stable in its proximal part both laterally and medially. Comments/critics are welcome.

Комментарии и критика приветствуются.
|
|
|
Ответить
|
Re: Перипротезный перелом
Jeff Brooks 22 Декабрь 2008, 17:55
|
I assume you preserved the medial fragment blood supply? If so, wow. very very nice. I'd like to stand and applaud your avoidance of strangulation cables around the medial fragment.
That's really a brilliant implant if the stem/nail interface is truly rigid.
I just hope it's truly a B1.
Thanks very much for sharing that.
Jeff Brooks
Stamford, CT
|
[
Ответить ]
|
Re: Перипротезный перелом
JAGDISH MENON 22 Декабрь 2008, 17:59
|
WELL DONE , ALEXANDER
INGENIOUS
Regards
Jagdish Menon
Pondicherry
India
|
[
Ответить ]
|
Re: Перипротезный перелом
Hüseyin Demirörs 22 Декабрь 2008, 18:01
|
Excellent technique and surgery,
I would like to ask one little question, you said 'tight fit of the nail' to the femoral stem, since all the rotational stability of the system (distal fragment with nail and locking screws) comes from that point, is it reliable?.
Best regards,
Huseyin Demirors MD
|
[
Ответить ]
|
Re: Перипротезный перелом
Enes M. Kanlic 22 Декабрь 2008, 18:04
|
Dear Alex,
Idea is very, very unusual (for me :O; is it any series published-presented doing it this – whose way?).
X-rays look very good .... it would be nice to have follow up as well, please?
At some point patient will need acetabular insert exchanged as well....
Thank you, you do not stop surprising me :-)
Enes M. Kanlic, MD, FACS
Professor
|
[
Ответить ]
|
Re: Перипротезный перелом
Отправитель: Bill Burman 22 Декабрь 2008, 21:04
|
Hello Alex,
Thank you for an interesting case presentation.
Kanlic, Enes wrote:
>>> is it any series published-presented doing it this - whose way?)
Besides your reference from Prof. R. Schnettler published in CORR 2007
Also see: On-line 2008 dissertation "The Bridging Nail"> by Rutger Zuurmond, from Groningen, Netherlands (also published in Injury 2007)
Bill
Bill Burman, MD
HWB Foundation
|
[
Ответить ]
|
|
Re: Перипротезный перелом
Sandro Reverberi 28 Декабрь 2008, 12:07
|
dear Alexander,
your is a fine and elegant solution.
You transformed a cemented hip prosthesis to a cementless revision hip prosthesis with a little approach.
But I have some questions:
* your nail has a point of minus resistance at the tip of femural stem and at the fulcrum of the fracture; by the time could it break?
* by the time stem and nail could reciprocally move?
* distal fixation of the nail is based near only on two screws : are they sufficient to secure a good stability before fracture consolidation?
* materials of the stem and nail (I think Iron steel in both); if they should be different (and many hip prosthesis are made by an alloy that is not the same of the nails) we could see electrolytic phenomena
So I think that your is a good idea, it can be actually good in this case, but is not sure in all cases.

I generally should prefer a long stem revision prosthesis, as that allegated.
Sandro Reverberi
|
[
Ответить ]
|
Re: Перипротезный перелом
Отправитель: Alexander Chelnokov 31 Декабрь 2008, 16:33
|
Dear Sandro.
rs> ° your nail has a point of minus resistance at the tip of
rs> femural stem and at the fulcrum of the fracture; by the time could it break?
I don't expect early breakage because of lack of bending forces. Though precise estimation of fatigue strength should be performed in lab tests sooner or later.
rs> ° by the time stem and nail could reciprocally move?
The nail tip is jammed. Since it is conical, it can only be jammed more with axial load.
rs> ° distal fixation of the nail is based near only on two
rs> screws : are they sufficient to secure a good stability before fracture consolidation?
I'd say yes because we use same 6 mm screws for femoral nailing and allow immediate weight-bearing regardless of fracture pattern.
rs> ° materials of the stem and nail (I think Iron steel in
rs> both);
The nail is Ti-based alloy.
rs> if they should be different (and many hip prosthesis are
rs> made by an alloy that is not the same of the nails) we could see electrolytic phenomena
Maybe, but i don't know exactly its clinical significance.
rs> So I think that your is a good idea, it can be actually good in
rs> this case, but is not sure in all cases.
rs> I generally should prefer a long stem revision prosthesis, as that allegated.
Bill Burman provided us with good references which show us that the topic is very hot, and the new option is being developed and evaluated. So it is too early to make final conclusion about its place and role.
|
[
Ответить ]
|
|
( Ответить )
|
|