вверх
отправить
поиск
админ
главная
|
Перелом пилона 6 мес. давности |
 |
 |
 |
Отправлено Кучерявый Игорь 23 Январь 2009, 23:59 Сергиев Посад, РБ
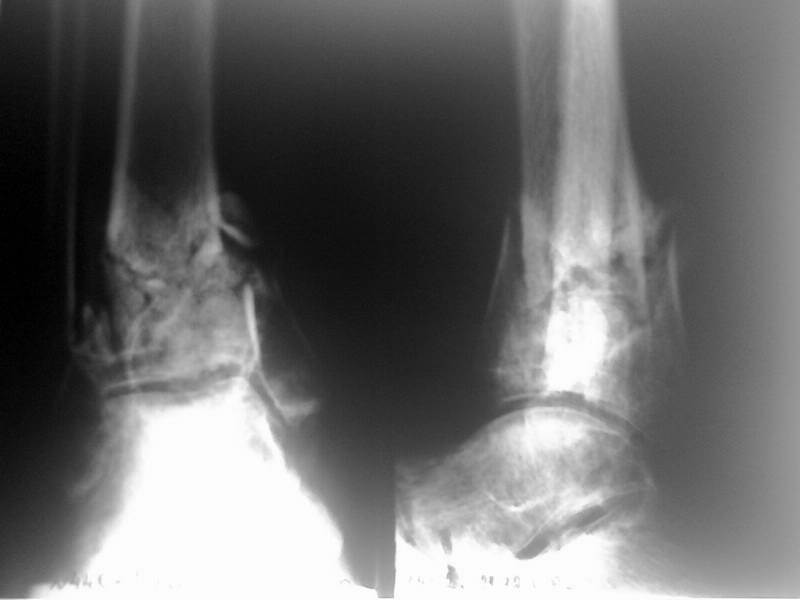
Доброго времени суток! Хотелось бы посоветоваться по срокам и тактике лечения пациента с переломом пилона 6 месячной давности. Пациент 50 лет, получил травму в июле 2008г. - упал с высоты 2 м, подвернул ногу. Лечился вытяжением в соседнем отделении, через 4 недели был загипсован и отправлен восвояси. Через 3 месяца в поликлинике ему сняли гипс и заставили ходить с нагрузкой на ногу, чего он сделать не смог - нога подворачивается, сильных болей нет. Через 6 месяцев с момента травмы пациент сообразил, что что-то идет не так, и сам пришел к нам с вопросом - "Что делать?" При осмотре имеется тугая подвижность в зоне перелома, движения в голеностопном суставе ограничены, острых болей нет. Отек стопы и голени умеренный. Операция назначена на 27 января, планируем наложение аппарата Илизарова для устранения смещения по оси и длине, затем планируется накостный остеосинтез большеберцовой и малоберцовой. Но возникает ряд вопросов. - Оптимальные сроки накостного остеосинтеза?- Фиксаторы? Лист клевера и обычная пластина на малоберцовую или искать LCP? - И совсем уж крамольный вопрос - нужен-ли накостный остеосинтез для восстановления анатомической целостности в принципе, через 7 месяцев после травмы?
<
|
>
|
|
Ответить
|
Перелом пилона 6 мес. давности
Бен Эльайфар Мохамед 24 Январь 2009, 13:21
|
На снимке нет даты, если он свежий, сделайте МРТ.
|
[
Ответить ]
|
Re: Перелом пилона 6 мес. давности
адонин 25 Январь 2009, 12:47
|
не вижу смысла в наложении аппарата и постепенной коррекции. Если все равно хотите окончательно фиксировать пластиной - так и делайте это одномоментно, с коррегирующей остеотомией.
По поводу фиксации - оптимально - locking plate. я бы обязательно в операционной под рукой имел бы и аппарат внешней фиксации - возможно. что после наложения пластины окажется, что фиксация нестабильна
|
[
Ответить ]
|
Re: Перелом пилона 6 мес. давности
адонин 25 Январь 2009, 12:53
|
Да, небольшое дополнение. До того, как начнете что-нибудь делать, обьясните больному. что попытка коррекции может закончиться неудачно - в таком случае понадобится артродез г\с.
ответ на крамольный вопрос - коррекция деформации обязательна. Вполне возможно , что больной еще на этой ноге походит. Если нет - много проще будет делать артродез в будущем
|
[
Ответить ]
|
Re: Перелом пилона 6 мес. давности
Djoldas Kuldjanov 26 Январь 2009, 23:40
|
На снимке типичный перелом пилона с компрессией метафиза и с укорочением берцовой кости. Свежие переломы пилона лечатся восстановлением длины малоберцовой и с замещением дефекта большеберцовой структурным пластическим материалом. Обычная аутокость или синтетические заполнители служат пластическим материалом. В зависимости от перелома пластину устанавливают медиально или латерально.
Без восстановленного метафизарного дефекта перелом пилона со временем коллапсируется, а малоберцовая удерживает нагрузку и конечность деформируется в варус.
планируем наложение аппарата Илизарова для устранения смещения по оси и длине, затем планируется накостный остеосинтез большеберцовой и малоберцовой
В данном случае навряд ли аппарат Илизарова поможет, во-первых, дистальный эпиметафиз за 7 месяцев так размягчился, что потерял возможность что-либо удержать. Спицы прорежутся при первой же возможности. Без остеотомии в фокусе травмы трудно добиться устранения укорочения большеберцовой, а при несросшемся переломе лучше подождать до полного сращения.
Для создания опороспособности конечности я бы рекомендовал исправить ось остеотомией малоберцовой. Фиксация малоберцовой создаст латеральную стабильность. Идеальный мортизный снимок подскажет, насколько надо укоротить малоберцовую.
Наличие медиальной (locking) пластины не обязательно, хотя установленная щадящим (перкутанно) методом пластина даст уверенность.
Послеоперационно функциональный брейс для предупреждения контрактуры или при отсутствии обычный гипсовый сапожок.
Полная нагрузка ускорит процесс. Укорочение большеберцовой на данном этапе можно проигнорировать.
Djoldas Kuldjanov, MD
Department of Orthopedic Surgery
St. Louis University Medical Center
|
[
Ответить ]
|
Re: Перелом пилона 6 мес. давности
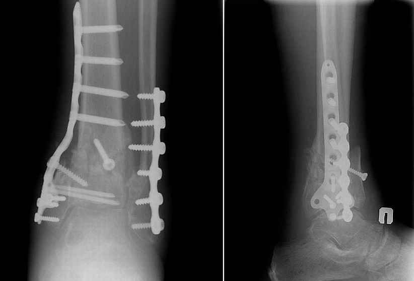
Отправитель: Кучерявый И. 15 Февраль 2009, 19:09
|

Прооперировали 6 февраля.
На операции - несращение проксимального диафизарного отломка и осколков эпифиза, которые представляли собой неправильно сросшийся, крепкий конгломерат. С учетом сохранности движений в голеностопном суставе (боясь ему навредить), решено было не разбирать их, а только исправить ось голени, что и было сделано, после остеотомии и резекции малоберцовой кости + остеопластика.
Получилось видимо не идеально, внушает оптимизм хорошее состояние мягких тканей и сохранность движений в голеностопном суставе после операции. Хотя... :)
|
[
Ответить ]
|
|
( Ответить )
|
|