AOTRAUMA.ORG Центр Илизарова  

Ортопедия и травматология Общие вопросы/General questions Help Информационные технологии в медицине
 вверх
 отправить
 поиск
 админ
 главная


Pathologic Femur Fracture
Ортопедия и травматология Отправлено Djoldas Kuldjanov 25 Март 2009, 21:32
Уважаемые коллеги,

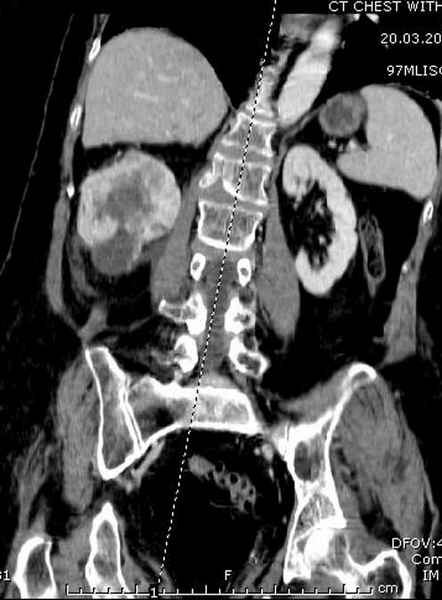
Здесь случай 66 летней пациентки со спонтанными болями в левой нижней конечности, обратилась в приемное, сделаны снимки бедра и КТ.
Патологический перелом бедра, конечность на вытяжении.

Без определения характера и первоисточника опухоли стоит ли провести остеосинтез? Рекомендации по вариантам остеосинтеза?

Djoldas Kuldjanov, MDDepartment of Orthopedic SurgerySt. Louis University Medical Center

<  |  >

 

  • Сообщения о Ортопедия и травматология
  • Также Djoldas Kuldjanov
  • Связаться с автором
  • Ответить

    Re: Pathologic Femur Fracture
    Максим Королев 26 Март 2009, 21:24
    На мой взгляд необходимо стабилизировать перелом (штифт)и провести диагностический поиск с взятием биопсии и цитологии.
    [ Ответить ]

    Re: Pathologic Femur Fracture
    Коган П.Г. 26 Март 2009, 21:53
    Доброго всем времени суток!
    Я бы, как вариант, предпочел внеочаговую стабилизацию перелома до момента конкретного ответа на вопрос - ЭТИОЛОГИЯ перелома (МРТ+биопсия). Т.к. при штифтовании неисключено "проталкивание клеток" из перелома?!
    [ Ответить ]

    • Re: Pathologic Femur Fracture
      Отправитель: Адонин 27 Март 2009, 04:58
      А чем "проталкивание клеток" может повредить 66 летней больной с остеолитическим метастазом в кости?

      [ Ответить ]
      • Re: Pathologic Femur Fracture
        Отправитель: Коган П.Г. 27 Март 2009, 11:39
        Вопрос - "А чем "проталкивание клеток" может повредить 66 летней больной с остеолитическим метастазом в кости?", считаю не совсем корректным (попахивает методами House M.D. - шутка).
        Стабилизация перелома до момента установки диагноза не обсуждается, а методики - это дело лечащего врача (что он может(умеет) и что он хочет). Если подтвердиться ваша гипотеза о метастатичесой природе перелома - это одно дело, если это первоисточник (такое тоже нельзя категорично исключать) - другое.

        Если бы этот случай произошел с моей пациетнкой и в России, я бы поступил так: оставил бы с вытяжением, на вытяжении - МРТ(тут вы можете вспомнить, что метал в МРТ нельзя, тут при желании можно найти выход),затем биопсия (с максимально коротким наркозом или хорошим обезболиванием) и ТОЛЬКО после ГИСТОЛОГИЧЕСКОГО заключения- думал бы о штифте, аппарате или о ампутации.

        P.S. - это сугубо лучное мнение, но может быть подвержена критике. Забить штифт, а потом ампутировать ногу(возможно) - как то "это" не очень красиво будет выглядеть, да и это получается ДВЕ серьезные операции на "немолодом организме".

        [ Ответить ]
        • Re: Pathologic Femur Fracture
          Отправитель: Адонин 28 Март 2009, 00:03
          Уважаемый доктор Коган, Вы , наверное, заметили, что я в большинстве случаев пишу не просто то, что мне кажется, а то, что рекомендуют хорошие учебники.

          Editors: Bucholz, Robert W.; Heckman, James D.; Court-Brown, Charles M.
          Title: Rockwood & Green's Fractures in Adults, 6th Edition
          Copyright б╘2006 Lippincott Williams & Wilkins
          Femoral Diaphysis
          Pathologic fractures of the femoral diaphysis are treated most effectively with a statically locked cephalomedullary nail, with or without PMMA (Fig. 20-10) (46,47). Plate fixation, although more rigid, will not protect a large enough segment of bone and is prone to failure with disease progression. Cephalomedullary nail fixation protects the entire bone and is technically simple, especially when performed prophylactically. A trochanteric or piriformis entry point can be used, and the canal is slowly overreamed 1.0 to 1.5 mm to avoid high impaction forces during rod placement (78). Because the device will be load-bearing if the fracture does not unite, the largest possible diameter nail should be used.


          По поводу металла и мрт - во первых, большинство современным имплантов немагнитны и не препятствуют проведению исследования, а , во-вторых, что Вам даст МРТ такого, что повлияет на тактику лечения? Я бы еще согласился, если бы Вы, например, сказали. что боитесь , что это метастаз RCC и потому больной начнет ужасно кровить, и Вы хотите сделать ангиографию или ангио КТ или ангио МРТ


          И еще. Обьясните, зачем Вы вообще собираетесь "потом ампутировать ногу" ?


          [ Ответить ]
    Re: Pathologic Femur Fracture
    Адонин 27 Март 2009, 04:55
    Cовершенно согласен с доктором Королевым.
    Открытый антероградный блокированный остеосинтез с одновременной биопсией.
    [ Ответить ]

    Re: Pathologic Femur Fracture
    Корнеев Ф.А 27 Март 2009, 10:49
    скорее всего здесь речь пойдет об ампутации бедра в в/3
    [ Ответить ]

    Re: Pathologic Femur Fracture
    В.Машталов 27 Март 2009, 21:37
    В данном клиническом случае надо определиться с возможностью радикального лечения опухоли, наличие еденичного метастаза не исключает лечение опухоли первичного очага и лечение метастаза., Биос даст возможность стабилизации и улучшения качества жизни , но его неабластичность исключит возможность
    радикального лечения метастаза. Наверное, внеочаговая фиксация и определение тактики лечения опухоли после онкопоиска в последующем решит вопрос костной хирургии.
    БИОС симптоматическое лечение онкологических больных, улучшающих качество их жизни.
    [ Ответить ]

    • Re: Pathologic Femur Fracture
      Отправитель: Адонин 28 Март 2009, 00:24
      Уважаемый доктор Маштаков, при каком именно виде злокачественной опухоли наличие удаленного костного метастаза не исключает радикальное лечение? И, если радикальное лечение невозможно, в чем тогда смысл "неабластичности" фиксации патологичесакого перелома?

      Если бы не было необходимости брать биопсию с целью определить первичный очаг - не нужно было бы открывать место перелома вообще, а прочто заштифтовать блокированным гвоздем маскимального диаметра.

      Буду очень рад, если свое мнение о возможности радикального излечения подобной больной Вы подтвердите ссылками на литературу.

      [ Ответить ]
    Re: Pathologic Femur Fracture
    Pavel 28 Март 2009, 14:23
    б ДНОНКМЕМХЕ Й пНЙБСДС Ъ АШ ОПНЖХРХПНБЮК Malawer M. Musculoskeletal Cancer Surgery 2001, (Treatment of Metastatic Bone Disease, Femoral Shaft): "Generally, the most appropriate means of stabilizing impending or actual pathologic fractures of the femoral shaft is second-generation IM nails with locking capabilities proximally and distally. Combined osteosynthesis (i.e. plate-and-screw fixation and PMMA) may be successful; however, it is not preferred because of the risk of fracture proximal and distal to the plate, increased operative time, and the need for more extensive surgical exposure. IM rod fixation is generally done by the ⌠open■ method, i.e. the tumor/fracture site is exposed, the tumor is curetted, PMMA is injected proximal and distal, and the IM rod is inserted. The proximal and distal fragments are reamed of all gross disease to permit easy insertion of the PMMA and rod. A uniform cement mantle should be obtained around the rod. The need to open and visualize the tumor and augment it with PMMA is dependent on the size and degree of cortical destruction. Immediate ambulation with full weight-bearing is permitted within a few days after surgery. Pain relief is almost universal and approximately 90% of patients maintain ambulation."
    [ Ответить ]

    Re: Pathologic Femur Fracture
    Коган П.Г. 28 Март 2009, 22:44
    Уважаемый доктор Адонини, очень Вас прошу, пожалуйста, не сочтите это за грубость или еще за что - либо подобное. Если Вы знаете точный диагноз, то зачем все эти вопросы, догадки, споры?!
    То что это - скорее всего метастаз, мы все предпологаем.
    Скажите(напишите) его, тогда это будет спор по существу.
    Касательно МРТ - можно увидеть что произсходит в окружающих мягких тканях, лимфоузлах (перечислять все не имеет смысла), да и на одноим сегменте конечности поиск ограничивать не стоит.Меня учили диагностику начинать с простейшего, поэтому ангио КТ и МРТ - делать нужно, но по необходимости.В общем - диагностика и методы лечения остаются выбором лечащего врача. Да и в конце концов, я же написал, что "сделал бы я"(ЭТО МОЁ мнение,ЛИЧНОЕ); книги, в моем понимании,- это не инструкция к действию,-это рекомендации к направлению мысли.

    PS- еще раз прошу (я не хочу Вас ничем обидеть, ничего личного), пожалуйста, не обижайтесь.


    [ Ответить ]

    Re: Pathologic Femur Fracture
    Adonin 28 Март 2009, 22:53
    Да, я с достаточной для принятия решения степенью уверенности могу говорить, что это метастаз, потому что
    -это не характерный возраст для осеосаркомы
    -это не типичная локализация для остеосаркомы
    -это не характерная рентгенкартина для остеосаркомы

    Выжидательная тактика лечения несет реальную угрозу осложнений ( тромбоэмболических в первую очередь, а также других , связанных с послетльным режимом и повышенными потребностями в аналгезии). Угроза осложнений превышает исчезающе малый шанс столкнуться и не сделать радикальную операцию на потенциально курабельной опухоли


    У меня к Вам та же просьба - без обид, ОК? Как то получается. что мы постоянно спорим последние пару недель :)
    [ Ответить ]

    • Re: Pathologic Femur Fracture
      Отправитель: Коган П.Г. 28 Март 2009, 23:09
      Обидеть меня практически невозможно, а сложившаяся ситуация - это повод "нажраться, разобраться и стать друзьями" :)(Буду в Москве, заранее отпишусь в ПМ, состыкуемся:))

      Касательно темы)- радикальной операцией в данном случае, что Вы считаете? БИОС?

      [ Ответить ]
    • Re: Pathologic Femur Fracture
      Отправитель: Adonin 28 Март 2009, 23:33
      Радикальная операция - ампутация или резекция первичной опухоли в пределах здоровых тканей в случае остеосаркомы без метастазов или с радикально удаляемыми метастазами ( до 6 лимфоузлов в корнях легких)

      Ко мне от Москвы еще 13 часов лета с пересадкой :) Я работаю в Тринидаде

      [ Ответить ]
      • Re: Pathologic Femur Fracture
        Отправитель: Коган П.Г. 29 Март 2009, 01:57
        ... э-э-э-э, я вообщето спрашивал, про данный случай. Допустим, что это единственный(хотя крайне сомнительно конечно) метастаз, тогда что? Ампутация или резекция?! Будет ли, уже установленный ранее, стержень к месту, или же без него будет проще?


        PS - Ого как Вас занесло!:) При таком расстоянии "остаканиться" и подружиться будет значительно сложнее.
        - МИРУ-МИР. Травматологи всех стран - обьединяйтесь! :)

        [ Ответить ]
    Re: Pathologic Femur Fracture
    Adonin 29 Март 2009, 07:27
    даже если это единственный мет - никакого радикализма, насколько я знаю основы онкологии, быть не может.
    Надо просто фиксировать , и все. Рекомендации, процитированной вчера доктором Павлом -максимально удалять мет - я не знал.
    [ Ответить ]

    • Re: Pathologic Femur Fracture
      Отправитель: Adonin 29 Март 2009, 07:34
      Дополню. В большинстве случаев срок жизни больного с момента появления костных метов исчисляется неделями или месяцами, намного реже - годами ( например, при метах рака щитовидки - но это , опять же, обычно у более молодых - рак щитовидки у пожилых обычно недифференцированный и крайне злокачественный). Так что надежная фиксация - штифт плюс-минус цемент - приносит больному много больше пользы, чем попытки срастить перелом и полностью резецировать мет какими-бы то ни было другими методами

      [ Ответить ]
    Re: Pathologic Femur Fracture
    Djoldas Kuldjanov 30 Март 2009, 23:32



    Известно, что многие из нас независимо от метода лечения и стадии первичной опухоли проводят интрамедуллярное штифтование при различных патологических состояниях бедра, включая патологические переломы.


    В зависимости от характера опухоли некоторые патологические переломы имеют риск кровотечения во время операции. Множественные литературные данные подтверждают, что надо проявить осторожность при интрамедуллярном остеосинтезе при неизвестных опухолях, особенно где имеется подозрение на Renal Cell Carcinoma. (RCC- hypernephroma) http://www.bonetumor.org/tumors/pages/page64.html


    Со слов, больная ничем не болела, только последние 3 месяцев чувствовала боли в бедренной области. КТ брюшной полости подтвердил увеличенную правую почку. (5-6)


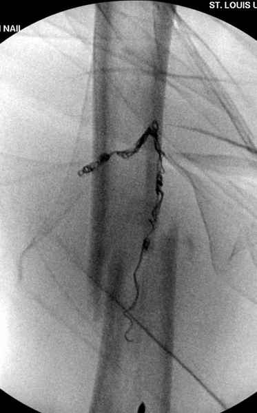
    Для предупреждения кровотечения во время рассверливания, за день до операции провели эмболизацию сосудов питающий метастаз. http://radiology.rsnajnls.org/cgi/reprint/150/3/673.pdf (7-11, 12-15-16)


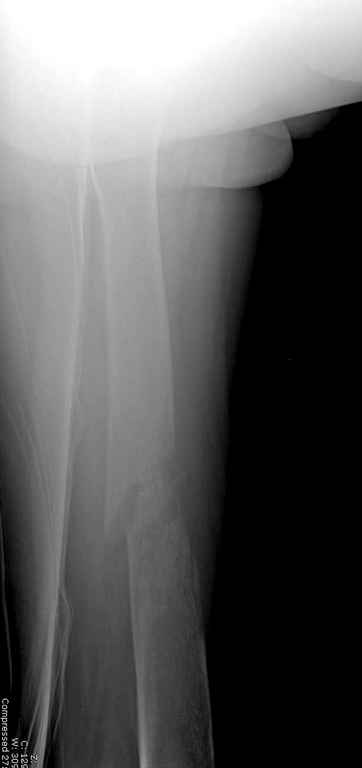
    С минимальным рассверливанием и ретроградным методом провели остеосинтез бедра 12 мм гвоздем. (17-20)

    Кровопотеря во время операции меньше 100 мл.

    Больная выписана, взятый во время рассверливания материал изучается.


    Спасибо всем за проявленный интерес и за высланные рекомендации.

    Djoldas Kuldjanov, MD
    Department of Orthopedic Surgery
    St. Louis University Medical Center
    [ Ответить ]

    • Re: Pathologic Femur Fracture
      Отправитель: Коган П.Г. 31 Март 2009, 01:19
      Огромное спасибо, д-р Кульджанов!

      Вы один из немногих, кто "закончил" клинический случай в форуме, - задав вопрос, написал конечный результат!
      По поводу "модной" тяги к "гвоздям" - это вы правы. А касательно эмболизации - просто СУПЕР!!!!,... никогда бы не допер. Просто ВАУ, нет слов.
      ...Когда мы до такого доживем?

      PS- никакого сарказма, усмешек, двойственного смысла я не имел в виду. Действительно сражен.


      [ Ответить ]
    Re: Pathologic Femur Fracture
    Заднепровский Никита 31 Март 2009, 09:10
    Джолдас, спасибо за этот случай.
    Еще один яркий пример отличной командной работы (сосудистого хирурга и ортопеда). Впечатляет уже в который раз.
    Еще раз спасибо!

    С уважением, Заднепровский Никита Николаевич
    [ Ответить ]


    ( Ответить )

    Powered by Zope  Squishdot Powered MedLink
    Посетитель: 0398113
      "По форме правильно, а по существу - издевательство" В.И.Ленин
    ©2001-2019Orthoforum Coordinator.
    [ Главная | Отправить сообщение | Поиск | Админ ]