AOTRAUMA.ORG Центр Илизарова  

Ортопедия и травматология Общие вопросы/General questions Help Информационные технологии в медицине
 вверх
 отправить
 поиск
 админ
 главная
 Предыдущее
 Весь тред


Re: Перелом плечевой кости.
adonin 09 Апрель 2009, 05:02
поддерживаю 100%
  • Сообщения о Ортопедия и травматология
  • Также adonin
  • Связаться с автором
  • Ответить

    Re: Перелом плечевой кости.
    Евгений 09 Апрель 2009, 22:53

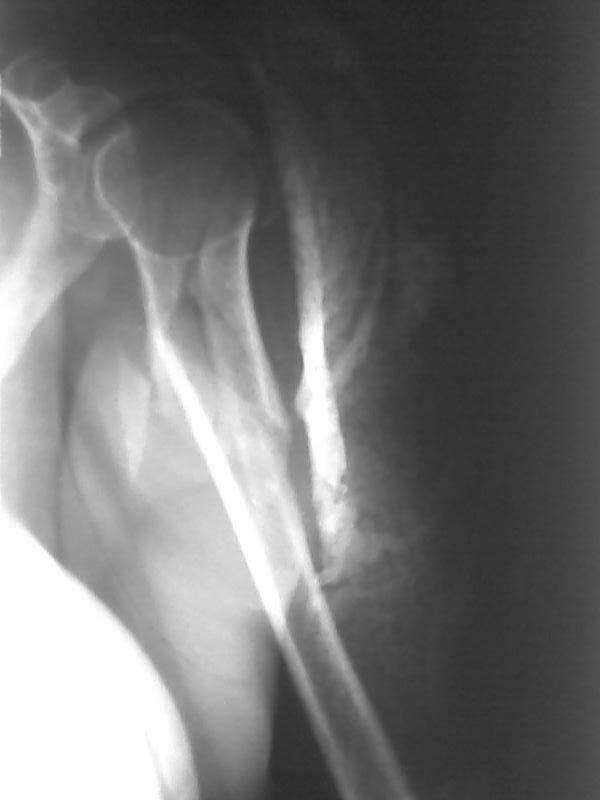
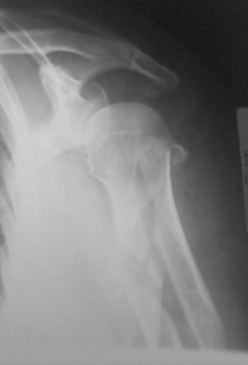
    Высылаю рентгенограммы больной до операции и в гипсовой лонгете. Сейчас больную вообщем-то особо ничего не беспокоит, незначительная болезненность в области перелома при движениях плечом, первые два дня была отечность кисти, которая сейчас исчезла, объем движений в локтевом суставе постепенно увеличивается, отведение плеча пока небольшое. Дистальное блокирование выполнено одним винтом в передне-заднем направлении (через бицепс. Да, клинок мы конечно же заблокировали концевым колпачком. Нас тоже беспокоит возможность развития импиджмент синдрома, надеемся на то, что больная разработает движения в плечевом суставе.

    [ Ответить ]


    ( Ответить )

    Powered by Zope  Squishdot Powered MedLink
    Посетитель: 0026373
      "По форме правильно, а по существу - издевательство" В.И.Ленин
    ©2001-2019Orthoforum Coordinator.
    [ Главная | Отправить сообщение | Поиск | Админ ]