вверх
отправить
поиск
админ
главная
|
Гетеротопический оссификат в локтевом суставе |
 |
 |
 |
Отправлено Быстров Сергей 27 Апрель 2009, 17:31
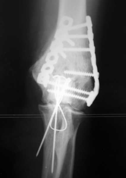
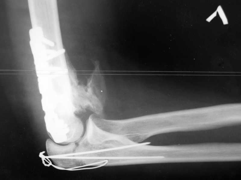
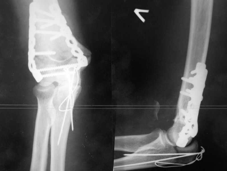
У пациентки 42 лет после операции остеосинтеза чрезмыщелкового перелома плеча, выполненной в нашей клинике 2 месяца назад, на контрольных R-граммах имеется гетеротопический оссификат по передней поверхности плеча. Оперирована по методике АО, после операции максимально рано начала заниматся ЛФК. В настоящее время основная жалоба пациентки на ограничение сгибания в локтевом суставе. Клинически объем движений: сгибание 90 градусов, разгибание 170 градусов, ротационные движения в полном объеме. Привожу снимки сразу после операции и через 2 месяца. (На рентгенограммах после операции в мягких тканях по передней поверхности плеча имеется небольшой костный фрагмент, но его ширина во фронтальной плоскости не более 1 мм., обнаружен был по снимкам после операции. Интраоперационно основные крупные фрагменты отрепонировались хорошо, объем движений был сгибание до 75 градусов, разгибание 175 град.) Пациентка неудовлетворена объемом сгибания, хотя была предупреждена о высокой вероятности ограничения движений. Профилактика гетеротопической оссификации (прием индометацина) не проводилась, т.к. имелась язвенная болезнь, да и эффект от его приема считаю сомнительным. Вопросы: 1.Стоит ли вмешиваться и пытаться удалить экзостоз? Если да,то в какие сроки и каким доступом лучше идти? 2. Оставить все как есть? 3. Не поможет ли ударно-волновая терапия либо какая-то другая методика? Буду благодарен за все ответы и оценки своей работы. С таким осложнением столкнулся впервые.
<
|
>
|
|
Ответить
|
Re: Гетеротопический оссификат в локтевом суставе
Коган П.Г. 28 Апрель 2009, 22:25
|
Уважаемый доктор Быстров,
не могли бы вы уточнить, боковая проекция сделана просто по правилам укладки или в положении максимального сгибания?
И чего хочет пациентка?
С уваженем Коган Павел)
|
[
Ответить ]
|
Re: Гетеротопический оссификат в локтевом суставе
Отправитель: Быстров Сергей 30 Апрель 2009, 18:23
|
Снимки сделаны по правилам укладки, но объем сгибания сейчас 90 градусов. Пациентка хочет большего объема сгибания.
|
[
Ответить ]
|
|
Re: Гетеротопический оссификат в локтевом суставе
Aнтон 02 Май 2009, 11:08
|
В данном случае лучше ни чего не трогать до года, произойдет консолидация, затем при удалении металла можно будет сделать артропластику с удаление оссификата и освободить передний отдел, а возможно к тому времени и задний. Пациентка должна поддерживать имеющийся объем движений.
Доступ обычно наружно-боковой без опаски, если не удается все достать, то внутренний боковой с выделением локтевого нерва(безопасней и спокойней). ФЗТ на локтевом суставе обычно без эффекта.
|
[
Ответить ]
|
( Ответить )
|
|