AOTRAUMA.ORG Центр Илизарова  

Ортопедия и травматология Общие вопросы/General questions Help Информационные технологии в медицине
 вверх
 отправить
 поиск
 админ
 главная
 Предыдущее


Re: Врожденный вывих бедра
IHOR 04 Июнь 2009, 22:39
Здравствуйте уважаемый Mark Eidelma,
Огромное спасибо за Ваш совет. Скажите пожалуйста ,какую остеотомию таза Вы рекомендуете в данном случае.
Огромное спасибо IHOR.

  • Сообщения о Ортопедия и травматология
  • Также IHOR
  • Связаться с автором
  • Ответить

    Re: Врожденный вывих бедра
    eidelman mark 05 Июнь 2009, 22:32
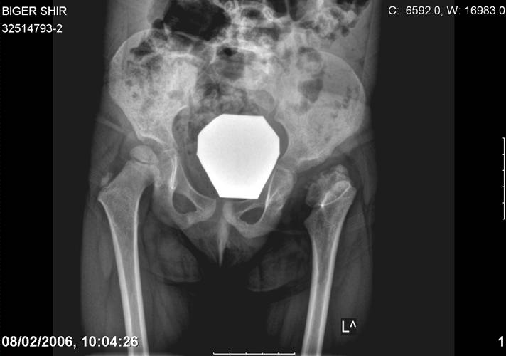
    Navernoe Dega




    Chto by ne byt goloslovnym posilau vam svoi sluchai gde sdelal vse chto napisal vyshe
    Mark Eidelman

    [ Ответить ]


    ( Ответить )

    Powered by Zope  Squishdot Powered MedLink
    Посетитель: 0007535
      "По форме правильно, а по существу - издевательство" В.И.Ленин
    ©2001-2019Orthoforum Coordinator.
    [ Главная | Отправить сообщение | Поиск | Админ ]