вверх
отправить
поиск
админ
главная
|
Перелом бедра у гемофилика |
 |
 |
 |
Отправлено Djoldas Kuldjanov 31 Май 2009, 14:41
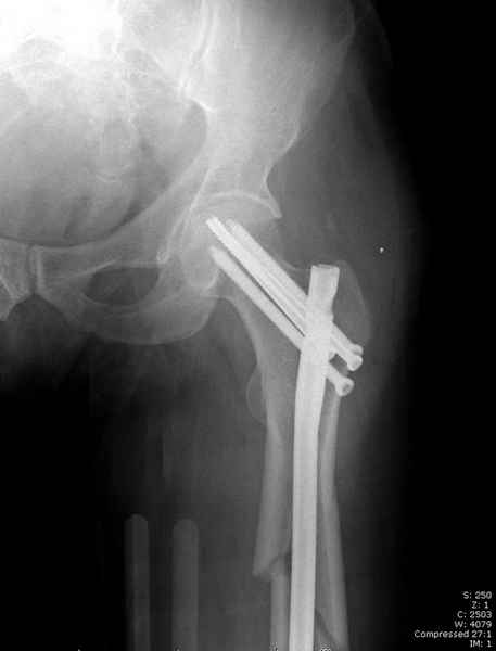
Среди русскоговорящих коллег Ортофорум стал одним из мест, где многие из нас черпают знания для решения своих ежедневных проблем в виде практических советов и обмена опытом. Кроме таких советов, Ортофорум стал источником новых познаний среди ортопедов, особенно по редко встречающимся состояниям в ортопедии. Продолжая традицию, я хотел бы представить редко встречающий случай перелома бедра у больного с гемофилией. Больному 42, гемофилия типа А, из истории упал с высоты около 1,5 метра, переправлен из другой больницы. По происхождению мексиканец, 10 лет назад по поводу артроза пр. коленного сустава в Мексике сделано протезирование, которое закончилось ампутацией выше коленного сустава. При поступлении бедро напряженное, сосудистых и неврологических расстройств нет. На рентгенограмме оскольчатый перелом бедра с вовлечением проксимальной спирали в шейку бедра. Хотели бы знать тактику ведения подобных больных и на что надо обратить внимание? Djoldas Kuldjanov, MD Department of Orthopedic Surgery St. Louis University Medical Center
<
|
>
|
|
Ответить
|
Re: Перелом бедра у гемофилика
Pavel 02 Июнь 2009, 21:53
|
В чем подвох, не догадываюсь...
Инфузия факторов по одному из протоколов, - по совету и под наблюдением гематолога, внимание обратил бы на развитие компартмента, метод фиксации - PFN.
|
[
Ответить ]
|
Re: Перелом бедра у гемофилика
Отправитель: Djoldas Kuldjanov 04 Июнь 2009, 20:36
|
>В чем подвох, не догадываюсь...
Это обычно общепринятый прием, применяемый среди коллег, когда для разбора выбирается тема, которую разбирают среди участников с пользой для всех остальных. Например, для меня случай нечастый, не каждый день можно увидеть перелом в комбинации с гемофилией, хотелось узнать побольше. Поэтому, выставляя случай, у меня не было опасений, что "случай-подвох" оскорбит кого нибудь.
Недавно был анонс, что в Центре Гематологии в Москве провели конференцию по проблемам ортопедии у больных с гемофилией, но многие из нас не имеют возможности участия в конференциях, проводимых в различных столичных городах, и отсутствие таких возможностей восполняет страница форума, где каждый участник в демократической форме получает ответы от профессоров или "асов" ортопедии.
Я считаю, что при отсутствии нормального постдипломного обучения в странах СНГ, которое обычно длится не менее 5-6 лет, а не ограничивается двумя годами клинической ординатуры, как раньше (может, сегодня изменилось к лучшему?), что страницу Форума можно было бы превратить в место, где коллеги могут получить не только справочную, но и академическую информацию.
Для этого должны обьединиься не только практические врачи, но и специалисты из высшего эшелона ответственных за развитие отечественной ортопедии. Кроме доктора Тихилова из Петербурга, редко можно увидеть выступления специалистов профессоров и заведующих кафедр, игнорируется образовательная деятельность на страницах форума.
Было бы интересно получить первичные консультации от специалистов своего дела, где их подсказка могла бы разрешить многие трудно решаемые вопросы в ортопедии.
"Инфузия факторов по одному из протоколов, - по совету и под наблюдением гематолога, внимание обратил бы на развитие компартмента, метод фиксации – PFN"
А вот насчет тактики больного с гемофилией Вы правы, и если у вас много таких случаев, можно было поделиться со всеми остальными, таким образом, сообщество узнало бы, куда в следующий раз отправить больного.
При гемофилии типа А известно, что страдает фактор VIII, который контролирует свертывание, и таких случаях надо ввести фактор VII, и у нас по протоколу каждые два часа, что в результате можно контролировать кровотечение во время операции.
Учитывая, что случай ургентный, больной поступил вечером, не стали делать вытяжение и срочно провели операцию по фиксации перелома бедра антеградным штифтом Versa Nail от DePuy.
Для профилактики дальнейшего раскола в шейке предварительно во время проксимального рассверливания спереди и сзади провели временные спицы, которые в дальнейшем были заменены на шурупы (miss nail method)

Обычная спасательная фасциотомия для обычного больного в этом случае было бы приговором, поэтому несмотря на высокие цифры компартментального мониторинга больного оставили под наблюдением с обкладкой конечности льдом.
Кровотечение удалось контролировать, и больной через пару дней выписан на амбулаторное лечение.
Djoldas Kuldjanov, MD
Department of Orthopedic Surgery
St. Louis University Medical Center
|
[
Ответить ]
|
Re: Перелом бедра у гемофилика
Отправитель: Pavel 04 Июнь 2009, 23:32
|
Таких случаев не много (у меня лично - ни одного). Большое спасибо.
|
[
Ответить ]
|
Re: Перелом бедра у гемофилика
Отправитель: Evgeny Tchekashkine 05 Июнь 2009, 17:23
|
Джолдас,
Спасибо за презентацию. Один момент остался для меня непонятным: Почему возникли опасения раскола шейки бедра при штифтовании ?
Заранее признателен за пояснения.
Евгений Чекашкин
|
[
Ответить ]
|
|
Re: Перелом бедра у гемофилика
Evgeny Tchekashkine 05 Июнь 2009, 17:22
|
Djoldas,
Spasibo za presentatiu sluchaya.
Regards,
Evgueny
|
[
Ответить ]
|
( Ответить )
|
|