ВХОД ДЛЯ ПАЦИЕНТОВ
вверх
поиск
админ
главная
исходное
|
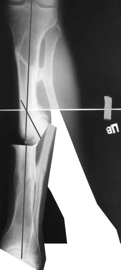
Re: псевдоартроз большеберцовой кости
послал Alexander Chelnokov 02 Июнь 2009, 18:13
|
Одномоментно такой угол устранить трудно, сильно натянутся ткани по наружной поверхности голени. Может и стопа повиснуть. А что по второй проекции?
Мы бы сделали после остеотомии малоберцовой и аппаратной коррекции. Большеберцовую можно исправить за счет растяжения пседартроза. Можно и сделать поперечную остеотомию чуть дистальнее несращения, в этом случае будет удобный вход в периферический отломок. А зону несращения пройти разверткой просто по прямой. Схема в приложении.

|
| Послать ответ |
Обратите внимание: Поля с жирными названиями обязательны.
Старайтесь отвечать в рамках обсуждаемой темы, а не начинать новые обсуждения.
Указывайте адекватную тему сообщения, чтобы было ясно, о чем оно.
Не послайте сообщений не по теме (оффтопик), раздраженных, грубых или обидных комментариев. Здесь это неуместно.
|