вверх
отправить
поиск
админ
главная
|
псевдоартроз большеберцовой кости |
 |
 |
 |
Отправлено Александр Митрофанов 02 Июнь 2009, 08:05
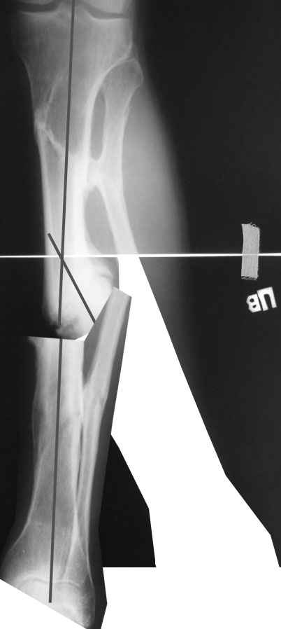
Уважаемые коллеги. Имеется вот такой псевдоартроз. Планируем БИОС tibia стержнем Chm, остеотомию малоберцовой и большеберцовой через зону псевдоартроза. Вопрос! Коррекцию лучше сделать одномоментно во время операции или дозированно в аппарате недели за 2-3, а потом nailing? И ещё делать нормо или с учетом вальгуса гиперкоррекцию?Заранее спасибо за советы!Митрофанов А.И. г. Курган
<
|
>
|
|
Ответить
|
Re: псевдоартроз большеберцовой кости
Alexander Chelnokov 02 Июнь 2009, 18:13
|
Одномоментно такой угол устранить трудно, сильно натянутся ткани по наружной поверхности голени. Может и стопа повиснуть. А что по второй проекции?
Мы бы сделали после остеотомии малоберцовой и аппаратной коррекции. Большеберцовую можно исправить за счет растяжения пседартроза. Можно и сделать поперечную остеотомию чуть дистальнее несращения, в этом случае будет удобный вход в периферический отломок. А зону несращения пройти разверткой просто по прямой. Схема в приложении.

|
[
Ответить ]
|
Re: псевдоартроз большеберцовой кости
Отправитель: александр 02 Июнь 2009, 20:14
|
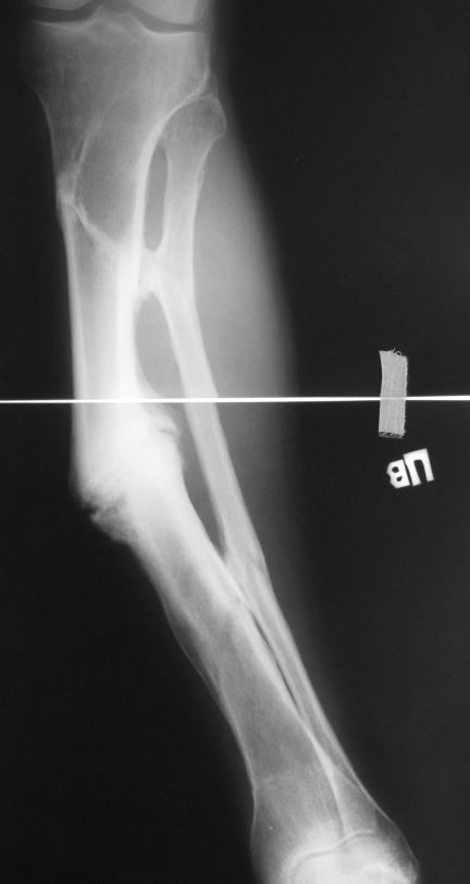
Александр Николаевич, вечер добрый! Извиняюсь за отсутствие второй прекции. там тоже ещё та деформация! Дозировано исправлять - не уверен что идиально получится выставить по оси дистальный отломок, а смещение даже на кортикал, не влияющие на консолидацию в аппарате, при формировании канала и введении стержня в условиях вальгуса и рекурвации, ну не знаю. Второй вариант, о котором и вы говорите, думаю более предпочтителен. А если делать остеотомию дистальнее ложняка, то что помешает одномоментно откоррегировать? Парез и при аппаратной коррекции с той же долей вероятности может быть.
|
[
Ответить ]
|
Re: псевдоартроз большеберцовой кости
Отправитель: Alexander Chelnokov 02 Июнь 2009, 21:16
|
а> Дозировано исправлять - не уверен что идиально получится выставить
а> по оси дистальный отломок, а смещение даже на кортикал, не
а> влияющие на консолидацию в аппарате, при формировании канала и
а> введении стержня в условиях вальгуса и рекурвации, ну не знаю.
Да все реально. Чтобы эти трудности уменьшить, лучше углы и ширину устранить с небольшой гиперкоррекцией, а главое - создать запас по длине.
а> Второй вариант, о котором и вы говорите, думаю более
а> предпочтителен. А если делать остеотомию дистальнее ложняка, то
а> что помешает одномоментно откоррегировать?
Ткани сильно натянутся. И закрыто вывести дистальный отломок под гвоздь будет проблематично, даже если дистрактор наложить. Можно попытаться одномоментно сопоставить, но без фанатизма. Ели что не устраняется сразу, аппаратом за несколько дней дозированно уже
дотягиваем.
а> Парез и при аппаратной коррекции с той же долей вероятности может
а> быть.
Ну... В аппарате вроде это все более плавно развивается, можно заметить парестезии, слабость, приостановиться. Или натяжение даже уменьшить, после паузы продолжить...
|
[
Ответить ]
|
|
Re: псевдоартроз большеберцовой кости
Марек 03 Июнь 2009, 00:16
|
Интересно, на основании чего люди думают, что если аппаратом дозированно сложно устранить многолетнюю деформацию, то одно моментно все будет хорошо и просто? Не будет.
|
[
Ответить ]
|
Re: псевдоартроз большеберцовой кости
Отправитель: Митрофанов Александр 03 Июнь 2009, 04:04
|
Ну если "люди думают" - это уже неплохо. Уж с этм то наверное согласятся все. А легких путей никто и не ищет.
Александру Николаевичу спасибо за конструктивный ответ. Обещаю выложить снимки с результатом.
|
[
Ответить ]
|
|
Re: псевдоартроз большеберцовой кости
Антон Андрианов 03 Июнь 2009, 05:35
|
Уважаемый Александр,
Вы не описываете состояние кожных покровов в области псевдоартроза. Непонятна установка на БИОС, если Вы планируете остеотомию МБК, кортикотомию ББК, то плавная коррекция в ЧКДА приведет к консолидации ЛС.Ваш знаменитый земляк и его ученики разработали эти методики в совершенстве.Удачи Вам.
|
[
Ответить ]
|
Re: псевдоартроз большеберцовой кости
Отправитель: Митрофанов Александр 03 Июнь 2009, 06:59
|
Кожный покров голени без особенностей. Сомнений в том что такой псевдоартроз консолидируется при использовании ЧКО нет. Срок примерно 90-100 дней. Аппаратная коррекция займет дней 20-25. хотелось бы период внешней фиксации заменить внутренней.
Я кстати тружусь в том самом учреждении имени "знаменитого земляка".
А разве остеотомия МБК и кортикотомия ББК исключают БИОС?
|
[
Ответить ]
|
Re: псевдоартроз большеберцовой кости
Отправитель: Djoldas Kuldjanov, M.D. 05 Июнь 2009, 23:34
|
"А разве остеотомия МБК и кортикотомия ББК исключают БИОС?"
В 2007 году на конференции АСАМИ в Чикаго Robert Rozbruch совместно с Аркадий Бляхером и Светланой Илизаровой опубликовали работу, что после удлинения конечности в аппарате для окончательной фиксации гвоздь или пластина (Lengthening And Then Nailing-LATN; Lengthening And Plating-LAP намного сокращает время пребывания в аппарате наружной фиксации. Кроме того рано нагружает на конечность, сокращается время реабилитации и без наружных элементов больные чувствует намного свободнее.
Поэтому в последнее время методика так называемая PCIM post correction IM nail или PCP Post Correction Plate становится популярныи методом среди специалистов.
|
[
Ответить ]
|
|
( Ответить )
|
|