вверх
отправить
поиск
админ
главная
|
Отправлено Denis Rimashevsky 02 Июнь 2009, 17:13
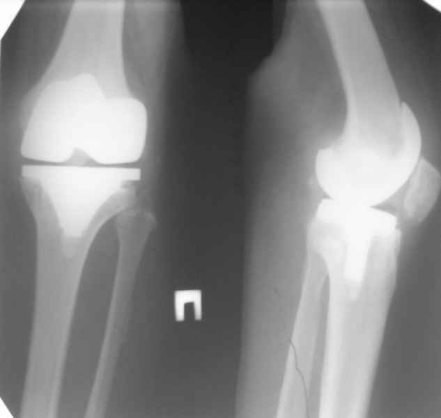
Уважаемые коллеги, Прошу совета. В феврале 2007 года пациентке выполнено эндопротезирование коленного сустава.
13/02/07 |  25/07/07 |  дек. 07 |  25/06/08 |  14/01/09 | Через 1 месяц после операции объем движений 90 градусов, через 2 месяца 60, через 3 - 40, через 5 - качательные движения.
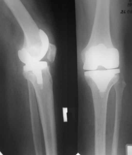
В июле 2007 года выполнена ревизия - полости сустава нет. Капсула сустава имеет толщину от 1 до 1.5 см, собственная связка надколенника имеет толщину до 3 см. Сустав заполнен фиброзно-рубцовой тканью. Компоненты стабильны.
Резецирована капсула, удалены фиброзные ткани из сустава. В области межмыщелковой ямки на бедре обнаружены 2 канала уходящих в мыщелки и проксимально, глубиной до 2 см и диаметром до 1 см. Выскаблены и заполнены синтетическим костным трансплантатом с ванкомицином.Взяты ткани из разных отделов сустава для бак. исследования.
Рана ушита с объемом движений до 70 градусов.По результатам анализов - все стерильно. Как и в посеве крови. 4 недели антибиотикотерапия. Активная ЛФК. Через 6 месяцев - движения качательные.
Осевая нагрузка практически безболезненна. Первое время после ревизии периодически беспокоили озноб, локальное повышение температуры в области сустава. В последнее время этого практически нет. В анализах - придраться можно только к СОЭ - 27.
Есть вопросы к установке протеза. Скорее всего тибиальное плато было не конца резецировано и в задненаружных отделах осталась ступенька. Это привело к тому, что тибиальный компонент завалился на варус.
Можно пойти на повторную ревизию, удалить большеберцовый компонент и поставить его правильно, но как справиться с артрофиброзом?
Надо ли вести случай как нагноение с удалением протеза и установкой спейсера?
Заранее благодарен,
С уважением, Римашевский Д.
<
|
>
|
|
Ответить
|
Re: Фиброз коленного суства
Андрей Капустин 04 Июнь 2009, 16:43
|
Судя по первому снимку возникает вопрос - а надо было?
|
[
Ответить ]
|
Re: Фиброз коленного суства
Отправитель: Денис Римашевский 04 Июнь 2009, 16:44
|
Уважаемый Андрей, действительно по снимку до операции сустав кажется сохранным. Но этой пациентке за несколько месяцев до операции была выполнена артроскопия, задокументировано отсутствие хряща на суставных поверхностях внутренних мыщелков бедренной и б\б костей. Этот снимок сделан без нагрузки и поэтому создается впечатление "сохранного сустава". Если бы был сделан снимок до операции с нагрузкой, вашего вопроса не было бы.
Пациентка - врач, её согласие было обоснованным.
С уважением, Денис
|
[
Ответить ]
|
Re: Фиброз коленного суства
Отправитель: Андрей Капустин 04 Июнь 2009, 16:47
|
Надо было протезировать такой сустав? Может быть у меня на компьютере не очень хорошее разрешение, но мне показалось, что сустав еще сохранный и можно было полечить более консервативными методами - артроскопия, хондропротекторы. Хотя я знаю, Александр Николаевич, Ваше отношение к ним.
|
[
Ответить ]
|
|
Re: Фиброз коленного суства
Куликов Иван 06 Июнь 2009, 16:10
|
Здравствуйте Денис. Ситуация конечно сложная. говорить о том что надо было или не надо было.. как говорится - "шо маемо то маемо". на мой взгляд фиброзный процесс имеет воспалительную этиологию, то-ли задавленная антибиотиками инфекция, то-ли последствия асептического воспаления (постановка протеза). мое мнение что необходимо произвести ревизию б/берцового компонента с иссечением фиброзно измененной капсулы, соответствующей анибактериальной терапией и применением ферментных препаратов. на счет спейсера я не думаю. на операции все увидите глазом когда демонтируете б/берцовый компонент, но все для спейсера надо приготовить. удачи.
|
[
Ответить ]
|
Re: Фиброз коленного суства
Отправитель: Денис Римашевский 08 Июнь 2009, 11:39
|
Иван, спасибо!
Я так и планировал, но подготовимся мы на все варианты - оба компонента, спейсеры...
Ещё планирую обсудить эту ситуацию с коллегами в Европе. Вопросов очень много. Необходимые дополнительные методы диагностики, интраоперационная обработка капсулы, послеоперационное ведение,...
С уважением, Римашевский Д.
|
[
Ответить ]
|
|
Re: Фиброз коленного суства
Валерий Мурылев 08 Июнь 2009, 20:46
|
Привет,Денис!
Ты мне говорил об этом случае, а теперь я увидел снимки. Для исключения или подтверждения гнойного процесса надо взять обязательно посев. По-моему и бедро шатается. Ревизовать при ислючении гнойно-септических осложнений надо полностью либо CCK комплектом или связанным.
С уважением.
|
[
Ответить ]
|
Re: Фиброз коленного суства
Валерий Мурылев 08 Июнь 2009, 20:46
|
Привет,Денис!
Ты мне говорил об этом случае, а теперь я увидел снимки. Для исключения или подтверждения гнойного процесса надо взять обязательно посев. По-моему и бедро шатается. Ревизовать при ислючении гнойно-септических осложнений надо полностью либо CCK комплектом или связанным.
С уважением.
|
[
Ответить ]
|
Re: Фиброз коленного суства
Djoldas Kuldjanov 08 Июнь 2009, 22:44
|
Денис,
>Через 1 месяц после операции объем движений 90 градусов, через 2 месяца 60, через 3 - 40, через 5 - качательные движения”
По представленным снимкам (patella infera) и по клиническому описанию у Вашего больного типичный Артрофиброз (Knee Arthrofibrosis) обычное после замены сустава осложнение, характеризуется ограничением движения в суставе за счет образования рубцовой ткани. Такое осложнение встречается и после травм коленного сустава или после восстановительных работ на передней крестообразной связке.
Об артрофиброзном состоянии можно говорить, когда движение в сгибании не более 80 градусов после замены сустава и после 6-8 недель разработки.
В зависимости от потери движения Del Pizzo с соавторами разделил на четыре категории. Сегодня в основном принимается классификация Артрофиброза по Shelbourne:
Тип 1 сгибание-нормальное, разгибание больше 10 градусов
Тип 2 сгибание нормальное, разгибание меньше 10 градусов
Тип 3 сгибание меньше 25, разгибание меньше 10 градусов
Тип 4 сгибание меньше 30, разгибание меньше 10 +Patalle infera
Имеется работы, что Myofibroblast играет решающую роль в формации рубцовых ткани в суставе: a-Smoot muscle actin containing contractile fibrotic cells in human knee artrofibrosis tissue Frank N. Unterhauser, Ulrich Boshch, Johannes Zeichen and Andreas Weiler , а также зависит от назначенных антикоагуляционных препаратов Arthrifibrosis following total knee replacement; does therapeutic warfarin make a difference? N.P. Walton, I. Jahromi, P.J. Dobson/ K.p. Angel, P.L. Lewis, D.G. Campbell
после ревизии периодически беспокоили озноб, локальное повышение температуры в области сустава. В последнее время этого практически нет.
В анализах - придраться можно только к СОЭ – 27
Обычно после суставных операции СОЭ держится в повышенных пределах. Если при отсутствии других очагов инфекции в организме и после 6 месяцев СОЭ держится повышенным, тогда надо заподозрить инфицирование сустава.
Лечение артрофиброза - манипуляция под анестезией (MUA-manipulation under anesthesia) коленного сустава, но при серьезных случаях MUA не помогает, тогда надо делать артротомию.
Учитывая, что в Вашем случае, кроме артрофиброза, несостоятельность протеза, я бы рекомендовал двухэтапную операцию.
Сперва артротомия с разработкой и установка антибиотического спейсера, затем артропластика по вашему усмотрению. CPM continuous passive motion с первых дней.
У меня имеется случай образование артрофиброза после банального скелетного вытяжения через мышелки бедра. Сегодня попозже буду делать манипуляцию коленного сустава. Если удастся выложи снимки или после приезда с ЕвроАзиатской конференции, завтра рано утром вылетаю в Иссык-Куль.
Djoldas Kuldjanov, MD
Department of Orthopedic Surgery
St. Louis University Medical Center
|
[
Ответить ]
|
( Ответить )
|
|