ВХОД ДЛЯ ПАЦИЕНТОВ
вверх
поиск
админ
главная
исходное
|
Re: Огнестрельный перелом бедра с дефектом кости.
послал Djoldas Kuldjanov 25 Июль 2009, 22:14
|
Несмотря на множественные публикация по тактике лечения огнестрельных переломов и по обработке огнестрельной раны, между сторонниками внутренней и наружной фиксации до сих пор идут споры о предпочтительности методов.
Многие коллеги уверены, что при огнестрельных повреждениях костей любая интервенция в фокусе травмы противопоказана. Также уверены, что гарантией успеха является "защита костного мозга" от интервенции любыми экстра или интрамедулярными имплантами, и поэтому метод лечения наружным фиксатором является популярным во многих странах, включая СНГ.
Возможно, это благодаря доминированию учения Илизарова, который создавал "комфорт и гордость", а ограниченный доступ к современным технологиям в некоторых регионах на просторах страны вынуждал заниматься только "bloodless" лечением.
Мой собственный 15 летний опыт лечения огнестрельных переломов был представлен в прошлом году на конференции в Москве, и недавно по просьбе организаторов на первом Евро-Азиатском форуме Ортопедов в Иссык-Куле.
Но наш опыт лечения огнестрельных переломов не всегда принимается оппонентами доброжелательно, считают, что мы чересчур агрессивны, и, главное, наши подходы противоречат учению, принятому у военных специалистов.
Не вдаваясь в дискуссии, какой метод лучше, я хотел бы поделиться нашим опытом лечения огнестрельных ран в условиях Level One Trauma Центра.
Свободный мир и свободный доступ к любому виду оружия создает свои проблемы в капиталистических странах. Мы, специалисты мирного времени, имеем достаточное количество больных с огнестрельными повреждениями, и для нас, ортопедов, стало рутинной задачей лечить таких больных.
Например, в нашем центре в течение года проходит около 250-350 пенетрирующих травм (в прошлом году 380) из них более 60% является огнестрельными.
Если в Ираке и в Афганистане преобладает минно-взрывные и травмы с высокой энергией, то мы имеем дело с персонально-атакующими видами оружия с разной кинетической энергией.
Повреждения, особенно низкоэнергетические, считаем открытыми переломами, и поэтому при лечении огнестрельных переломов соблюдаем те же принципы, что в лечении открытых повреждении костей.
При огнестрельных переломах ранами Первой и Второй степени по Gustilo при необходимости проводим как консервативную, так и оперативную методику лечения. Выбор метода фиксации всегда зависел от предпочтения специалиста, хотя в большинстве случаев преобладали накостные и интрамедуллярные методы.
Раны третьей степени, которые в последующем нуждаются в пластике мягких тканей, первоэтапно проводились в наружном фиксаторе типа "гибрид".
В последующем, почти все случаи конвертировались во внутренние фиксаторы - пластины или интрамедуллярные. Исключения были в тех случаях, когда было невозможно добиться адекватной фиксации из-за локализации линии перелома, например, при низких экстраартикулярных переломах голени. Такие переломы фиксировали с помощью аппарата Илизарова и для стабильности вводили множество спиц в дистальном отделе.
Были единичные исключения, например, соматическое состояние больного, не позволяющие провести окончательную фиксацию, тогда оставляли фиксатор до сращения.
Обработку входного и выходного отверстия от пули проводили обычным способом: на уровне канала "кюретажем" и без агрессии в зоне перелома. В пользу такой обработки: Проспективные рандомизированные клинические исследования показали I&D против обработки, где из 163 ОСР у 89 сделаны I&D, а 74 просто обработку без иссечения, в заключении 4 инфекции в первой и 2 инфекции во второй консервативной группе
Малые раны оставляли до заживления открытыми, они в большинстве случаев закрывались изнутри кнаружи в течение нескольких дней без осложнении, а иногда в течении нескольких недель.
Большие дефекты мягких тканей в зависимости от размера закрывали местной пластикой или кожной пластикой, а в больших дефектах прибегали к услугам пластических хирургов для ротационных или других покрытий.
Практика показала ущербность рекомендуемые в 80 годы военными специалистами тех глубоких ПХО, т.е. с иссечением якобы "нежизнеспособных отломков". Восстановление затягивалось неоправданно надолго, а иногда для восстановления сегментарного дефекта требовались годы.
Оставленные во время обработки нетронутые фрагменты со временем образуют основу костной мозоли. При недостаточности костной мозоли в последующем дефект восполнялся за счет аутопластики из минимального доступа.
Внутреннее кровоснабжение канала "запретная зона Илизарова" восстанавливалось в течение двух с половиной недель без осложнении после восстановления непрерывности канала.
Кроме мощных антибиотиков и современных имплантов, считаю, важную роль в успехе лечения внутренними фиксаторами играет методика обработки раны.
Небольшое количество перекиси водорода и физиологический раствор не создают адекватной ПХО. Без "ирригации и дебридмент" и общей анестезии невозможно очистить поверхность от частиц грязи и мертвой ткани.
Поступающая жидкость для промывания должна подаваться под давлением специальной Jet Lavage машинкой, не менее 5 литров, и в зависимости от загрязнения увеличивается количество жидкости до 10 литров.
Vacuum играет огромную роль в профилактике вторичного инфицирования.
Трудно решить, какой метод лучший, но при отсутствии технологии не всегда оправдана методика, рекомендуемая из-за океана или из других клиник, поэтому лучше применить ту методику, к которой привыкли, иначе можно сыграть роковую роль в неудаче лечения.
Обычно при осложнении больше оппонентов, чем доброжелателей, начиная от администрации, коллег, и самое главное - разочарование больного, который Вам доверил свою судьбу.
На Вашем месте мы бы сделали ретроградний интрамедуллярный штифт. Нагрузка с первых дней не самоцель, хотя 12 мм штифт с двумя интерлокинг винтами выдерживает вес 75 кг., но разработку сустава можно начать как можно быстрее.
Достаточно пары месяцев для определения нужды в дополнительной костной пластики.
Здесь несколько примеров из нашей практики:
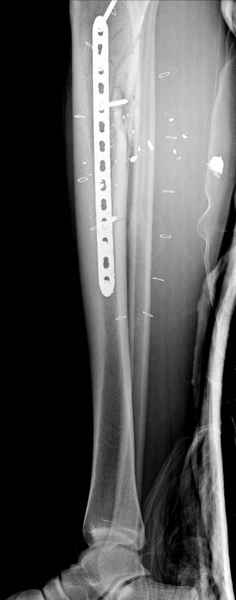
1 неполный перелом большеберцовой кости перкутанная пластина

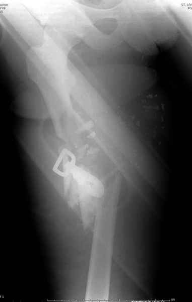
2 перелом бедра

3 такие раны после удаления пули и остатков одежды можно закрыть первично

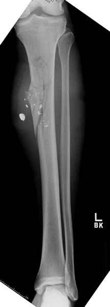
И последний

Djoldas Kuldjanov, MD
Department of Orthopedic Surgery
St. Louis University Medical Center
|
| Послать ответ |
Обратите внимание: Поля с жирными названиями обязательны.
Старайтесь отвечать в рамках обсуждаемой темы, а не начинать новые обсуждения.
Указывайте адекватную тему сообщения, чтобы было ясно, о чем оно.
Не послайте сообщений не по теме (оффтопик), раздраженных, грубых или обидных комментариев. Здесь это неуместно.
|