Ответить
|
Re: Огнестрельный перелом бедра с дефектом кости.
Alexander Artemiev 02 Июль 2009, 21:56
|
Здравствуйте, Сергей.
Интересное наблюдение. Классика жанра. Ностальгия...
Низкоэнергетические ранения по степени разрушения сравнимы с открытыми переломами (отсутствует т.н. вторичная пульсирующая полость, обусловливающая значительные разрушения на протяжении), и при возможности проточно-промывного дренирования, антибиотикотерапии,
иммобилизации и, самое главное - наблюдения - имеется возможность воздержаться от радикальных ПХО, приводящих к значительным дефектам кости. Прошу не путать ПХО как таковое (из руководств по ВПХ) и т.н. промывание раны и пр. Я - за второй вариант в данном случае.
К счастью, Вы не переусердствовали с радикализмом.
Моё мнение - сблизить отломки, устранив при этом смещение под углом, открытым кпереди, перемонтировать аппарат, укрепив дистальный отломок и освободив коленный сустав. Тогда по наступлении сращения в обычные для данной локализации сроки Вы будете лечить не дефект, а
укорочение. А это гораздо легче всем, поверьте.
Если очень хочется - можете сменить по ходу внешнюю фиксацию на внутреннюю. Но это дело вкуса (не моего).
Из имеющегося под рукой - моё наблюдение из бурных 90-х.
Высокоэнергетическое ранение (калаш), обошелся вообще без ПХО. Полное восстановление оси, длины и функции. Правда, дольше обычного - больше полугода ходил в аппарате.
С уважением Александр Артемьев
|
[
Ответить ]
|
Re: Огнестрельный перелом бедра с дефектом кости.
Отправитель: Сергей Шакола 04 Июль 2009, 11:25
|
Большое спасибо, уважаемый Alexander Artemiev, за Ваше мнение. Мы также имеем опыт лечения подобных травм аппаратами внешней фиксации. Однако сопутствующие этому методу осложнения (нагноение в зоне спиц\стержней, контрактуры суставов и т.д - не мне Вам рассказывать )заставляют изменять тактику лечения. С учетом того, что в настоящий момент отсутствуют признаки инфекционных осложнений мы считаем , что возможно применить внутреннюю систему фиксации. Да и пациент (32 года)не особо желает находиться в аппарате 4-6 месяцев. Вы предлагаете сначала достичь сращение в аппарате, а потом выполнить удлинение конечности. Но это серьезно увеличит сроки лечения.Пока склоняемся к монолокальному варианту замещения дефекта.
|
[
Ответить ]
|
Re: Огнестрельный перелом бедра с дефектом кости.
Отправитель: Alexander Artemiev 05 Июль 2009, 11:06
|
Здравствуйте, Сергей.
> предлагаете сначала достичь сращение в аппарате, а потом выполнить
> удлинение конечности.
Боюсь, Вы меня неправильно поняли.
Я за то, чобы достичь сращения в принципе. Поверьте, это не самая простая задача.
А потом, если пациенту будут по средствам Ваши услуги, предложить ему удлинение. Лучше - голени. Всего-то 3-4 см.
> Но это серьезно увеличит сроки лечения.Пока
> склоняемся к монолокальному варианту замещения дефекта.
Что Вы подразумеваете под монолокальным вариантом
замещения дефекта?
С уважением,Alexander Artemiev
|
[
Ответить ]
|
|
Re: Огнестрельный перелом бедра с дефектом кости.
Alexander Chelnokov 04 Июль 2009, 12:16
|
Самое важное сейчас, очевидно, не кость, а коленный сустав.
Замещение дефекта, даже с последующим штифтованием, может на колено повлиять не лучшим образом. Поэтому, как только раны поджили, мы бы
начали со штифтования, а не с замещения дефекта. И сразу же надо восстанавливать амплитуду движений в колене. Если взять стержень
помощнее, то и нагрузку на ногу можно не ограничивать.
Мы бы сделали антеградное штифтование, хотя и ретроградное тут вполне приемлемо. При таком положении отломков плюс при попадании продуктов
рассверливания в зону дефекта есть неплохие шансы на формирование там костной спайки. Пусть это будет не циркулярная костная мозоль, а только с какой-то одной стороны, вместе со стержнем этого будет более чем достаточно для любых нагрузок.
|
[
Ответить ]
|
Re: Огнестрельный перелом бедра с дефектом кости.
Отправитель: Сергей Шакола 07 Июль 2009, 12:00
|
Уважаемый Александр Николаевич! Спасибо за Ваше мнение. Ограниченность в выборе бедренного стержня ( разрешено использовать только DC )не позволит выполнить антеградный вариант остеосинтеза из-за малого диаметра дистальных отверстий. Дистракцией в аппарате по зоне перелома мы восстановим длину конечности. Какими Вы видите оптимальные сроки возможной костной пластики после остеосинтеза стержнем?
|
[
Ответить ]
|
Re: Огнестрельный перелом бедра с дефектом кости.
Отправитель: Alexander Chelnokov 07 Июль 2009, 18:57
|
> мы восстановим длину конечности. Какими Вы видите оптимальные сроки
> возможной костной пластики после остеосинтеза стержнем?
Мне представляется, что здесь должно обойтись без пластики. Во всяком случае задуматься о пластике или рассверливании и реостеосинтезе более толстым стержнем не раньше полугода после перехода на гвоздь.
|
[
Ответить ]
|
|
Re: Огнестрельный перелом бедра с дефектом кости.
Владимир Р 14 Июль 2009, 21:30
|
Однако сопутствующие этому методу осложнения (нагноение в зоне спиц\стержней, контрактуры суставов и т.д
я хотел бы сказать така без обид, если владеть этим способом на уровне то ни каких проблем не будет))) освободите колено, у вас (по снимкам) достаточно места для 2-х колец в дистальном отломке! а идея с гвоздём немного не подходит кость и так достаточно разобщенна, и дефект не малый а вы её ещё больше повредите и сосуды последние рассверливанием кончите)
|
[
Ответить ]
|
Re: Огнестрельный перелом бедра с дефектом кости.
Отправитель: Alexander Chelnokov 15 Июль 2009, 11:52
|
Это умозрительное соображение, или это суждение основано на каком-то конкретном негативном опыте интрамедуллярного остеосинтеза после огнестрельных ранений?
Если это собственный опыт, то сколько было больных, что и как делали, что получилось? Если это по публикациям - ссылку дайте pls.
|
[
Ответить ]
|
Re: Огнестрельный перелом бедра с дефектом кости.
Отправитель: Сергей Шакола 16 Июль 2009, 12:11
|
Уважаемый Владимир Р! Я могу Вам только позавидовать, если Вы часто применяете методы внеочагового остеосинтеза при огнестрельных переломах с дефектом кости и не имеете вышеуказанных проблем. Вопрос с интрамедуллярным кровоснабжением отломков при внутрикостном остеосинтезе обсуждался на форуме. Мы все же решили пойти по пути монолокального замещения дефекта - достигли контакта отломков, через 12 дней начнем восстановление длины конечности , проводим разработку коленного сустава ( сгибание достигнуто до 90 градусов ) и при благоприятных условиях по окончании дистракции - остеосинтез стержнем.
|
[
Ответить ]
|
|
Re: Огнестрельный перелом бедра с дефектом кости.
Djoldas Kuldjanov 25 Июль 2009, 22:14
|
Несмотря на множественные публикация по тактике лечения огнестрельных переломов и по обработке огнестрельной раны, между сторонниками внутренней и наружной фиксации до сих пор идут споры о предпочтительности методов.
Многие коллеги уверены, что при огнестрельных повреждениях костей любая интервенция в фокусе травмы противопоказана. Также уверены, что гарантией успеха является "защита костного мозга" от интервенции любыми экстра или интрамедулярными имплантами, и поэтому метод лечения наружным фиксатором является популярным во многих странах, включая СНГ.
Возможно, это благодаря доминированию учения Илизарова, который создавал "комфорт и гордость", а ограниченный доступ к современным технологиям в некоторых регионах на просторах страны вынуждал заниматься только "bloodless" лечением.
Мой собственный 15 летний опыт лечения огнестрельных переломов был представлен в прошлом году на конференции в Москве, и недавно по просьбе организаторов на первом Евро-Азиатском форуме Ортопедов в Иссык-Куле.
Но наш опыт лечения огнестрельных переломов не всегда принимается оппонентами доброжелательно, считают, что мы чересчур агрессивны, и, главное, наши подходы противоречат учению, принятому у военных специалистов.
Не вдаваясь в дискуссии, какой метод лучше, я хотел бы поделиться нашим опытом лечения огнестрельных ран в условиях Level One Trauma Центра.
Свободный мир и свободный доступ к любому виду оружия создает свои проблемы в капиталистических странах. Мы, специалисты мирного времени, имеем достаточное количество больных с огнестрельными повреждениями, и для нас, ортопедов, стало рутинной задачей лечить таких больных.
Например, в нашем центре в течение года проходит около 250-350 пенетрирующих травм (в прошлом году 380) из них более 60% является огнестрельными.
Если в Ираке и в Афганистане преобладает минно-взрывные и травмы с высокой энергией, то мы имеем дело с персонально-атакующими видами оружия с разной кинетической энергией.
Повреждения, особенно низкоэнергетические, считаем открытыми переломами, и поэтому при лечении огнестрельных переломов соблюдаем те же принципы, что в лечении открытых повреждении костей.
При огнестрельных переломах ранами Первой и Второй степени по Gustilo при необходимости проводим как консервативную, так и оперативную методику лечения. Выбор метода фиксации всегда зависел от предпочтения специалиста, хотя в большинстве случаев преобладали накостные и интрамедуллярные методы.
Раны третьей степени, которые в последующем нуждаются в пластике мягких тканей, первоэтапно проводились в наружном фиксаторе типа "гибрид".
В последующем, почти все случаи конвертировались во внутренние фиксаторы - пластины или интрамедуллярные. Исключения были в тех случаях, когда было невозможно добиться адекватной фиксации из-за локализации линии перелома, например, при низких экстраартикулярных переломах голени. Такие переломы фиксировали с помощью аппарата Илизарова и для стабильности вводили множество спиц в дистальном отделе.
Были единичные исключения, например, соматическое состояние больного, не позволяющие провести окончательную фиксацию, тогда оставляли фиксатор до сращения.
Обработку входного и выходного отверстия от пули проводили обычным способом: на уровне канала "кюретажем" и без агрессии в зоне перелома. В пользу такой обработки: Проспективные рандомизированные клинические исследования показали I&D против обработки, где из 163 ОСР у 89 сделаны I&D, а 74 просто обработку без иссечения, в заключении 4 инфекции в первой и 2 инфекции во второй консервативной группе
Малые раны оставляли до заживления открытыми, они в большинстве случаев закрывались изнутри кнаружи в течение нескольких дней без осложнении, а иногда в течении нескольких недель.
Большие дефекты мягких тканей в зависимости от размера закрывали местной пластикой или кожной пластикой, а в больших дефектах прибегали к услугам пластических хирургов для ротационных или других покрытий.
Практика показала ущербность рекомендуемые в 80 годы военными специалистами тех глубоких ПХО, т.е. с иссечением якобы "нежизнеспособных отломков". Восстановление затягивалось неоправданно надолго, а иногда для восстановления сегментарного дефекта требовались годы.
Оставленные во время обработки нетронутые фрагменты со временем образуют основу костной мозоли. При недостаточности костной мозоли в последующем дефект восполнялся за счет аутопластики из минимального доступа.
Внутреннее кровоснабжение канала "запретная зона Илизарова" восстанавливалось в течение двух с половиной недель без осложнении после восстановления непрерывности канала.
Кроме мощных антибиотиков и современных имплантов, считаю, важную роль в успехе лечения внутренними фиксаторами играет методика обработки раны.
Небольшое количество перекиси водорода и физиологический раствор не создают адекватной ПХО. Без "ирригации и дебридмент" и общей анестезии невозможно очистить поверхность от частиц грязи и мертвой ткани.
Поступающая жидкость для промывания должна подаваться под давлением специальной Jet Lavage машинкой, не менее 5 литров, и в зависимости от загрязнения увеличивается количество жидкости до 10 литров.
Vacuum играет огромную роль в профилактике вторичного инфицирования.
Трудно решить, какой метод лучший, но при отсутствии технологии не всегда оправдана методика, рекомендуемая из-за океана или из других клиник, поэтому лучше применить ту методику, к которой привыкли, иначе можно сыграть роковую роль в неудаче лечения.
Обычно при осложнении больше оппонентов, чем доброжелателей, начиная от администрации, коллег, и самое главное - разочарование больного, который Вам доверил свою судьбу.
На Вашем месте мы бы сделали ретроградний интрамедуллярный штифт. Нагрузка с первых дней не самоцель, хотя 12 мм штифт с двумя интерлокинг винтами выдерживает вес 75 кг., но разработку сустава можно начать как можно быстрее.
Достаточно пары месяцев для определения нужды в дополнительной костной пластики.
Здесь несколько примеров из нашей практики:
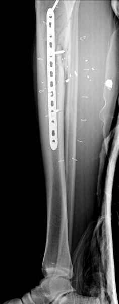
1 неполный перелом большеберцовой кости перкутанная пластина

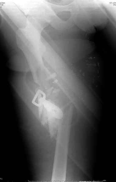
2 перелом бедра

3 такие раны после удаления пули и остатков одежды можно закрыть первично

И последний

Djoldas Kuldjanov, MD
Department of Orthopedic Surgery
St. Louis University Medical Center
|
[
Ответить ]
|
( Ответить )
|
|