AOTRAUMA.ORG Центр Илизарова  

Ортопедия и травматология Общие вопросы/General questions Help Информационные технологии в медицине
 вверх
 отправить
 поиск
 админ
 главная
 Предыдущее


Re: Pelvic and acetabular fracture
Milton L. Routt 06 Июль 2009, 21:00
This patient has extensive and complicated skeletal injuries...much more data (such as additional relevant images and clinical information regarding the soft tissues and overall patient status) would help us formulate an informed plan.

These are truly significant injuries that deserve a smart plan.

The sacral pattern alone is quite difficult and seems to be some version of an H-pattern, but I can’t tell from these films.

At 5 days after injury, every detail becomes important.

chip

  • Сообщения о Ортопедия и травматология
  • Также Milton L. Routt
  • Связаться с автором
  • Ответить

    Re: Pelvic and acetabular fracture
    Josep M. Muñoz Vives 06 Июль 2009, 21:06


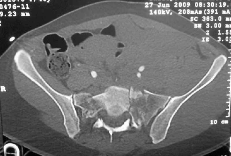
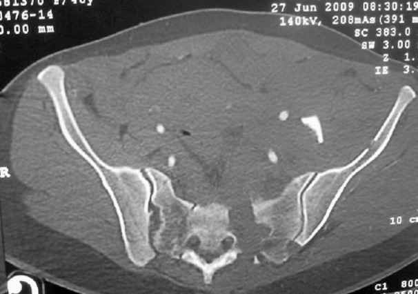
    General condition is fine except for an intractable pelvic pain, no associated injuries (only ankle fracture), no sciatic nerve injury.




    The soft tissues are also in mild condition, buttock hematoma and probably a Morel-Lavalle. I send some more CT images. There are some conminution in the posterior column (I don’t have images now). The patient is scheduled for surgery next Monday. The plan is percutaneous sacral fixation and then ilioinguinal approach .

    Thank you



    Pedro Caba
    Unidad de Trauma Hospital 12 de Octubre
    [ Ответить ]

    • Re: Pelvic and acetabular fracture
      Отправитель: Milton L. Routt 06 Июль 2009, 21:10
      I am a huge fan of closed reduction and percutaneous posterior pelvic fixation, but that particular sacral injury warrants an open reduction.

      I’d begin with that in order to have a high quality osseus foundation for subsequent acetabular repair.

      But it’d be best to see more films before a final vote-

      chip

      [ Ответить ]

     

    ( Ответить )

    Powered by Zope  Squishdot Powered MedLink
    Посетитель: 0000014
      "По форме правильно, а по существу - издевательство" В.И.Ленин
    ©2001-2019Orthoforum Coordinator.
    [ Главная | Отправить сообщение | Поиск | Админ ]