вверх
отправить
поиск
админ
главная
|
TKR после THR после анкилоза |
 |
 |
 |
Отправлено Maxim Agalakov 06 Июль 2009, 20:22
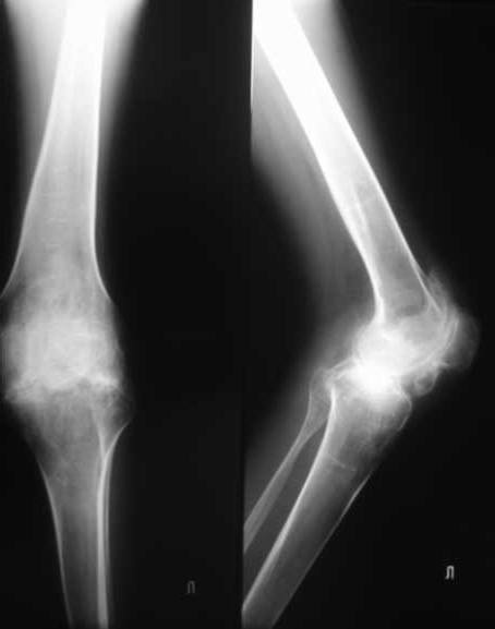
Уважаемые коллеги. пациент, страдает ревматоидным артритом с детства, ранее докладывался... костный анкилоз т/б суставов. 4 месяца назад THR левого т/б сустава, движения в т/б суставе приличные - с/р 90/5/0, движения в коленном суставе ухудшились - с/р 120/45/0. В настоящее время конечность неопорна из-за сгибательной кнтрактуры в к/с Вопросы о дальнейшей тактике лечения (пациенту 28 лет):1. рассматриваются варианты остеотомий (бедра, б/б кости), насколько это целесообразно, учитывая необходимость артротомии (остеофиты), каков может быть ожидаемый результат? варианты остеотомий (бедро или голень)?2. эндопротезирование к/с: мягкотканный дисбаланс- достаточно будет релиза капсулы и связок или мышцы тоже (учитывая разгибание в т/б после эндопротезирования и натяжение мышц на уровне колена после этого) Чего опасаться и к чему быть готовым?3. другие варианты? ссылки на литературу?собств наблюдения?С уважением Максим Агалаков
<
|
>
|
|