AOTRAUMA.ORG Центр Илизарова  

Ортопедия и травматология Общие вопросы/General questions Help Информационные технологии в медицине
 вверх
 отправить
 поиск
 админ
 главная


Ложный сустав и деформация плечевой кости
Ортопедия и травматология Отправлено Abdurashid 13 Июль 2009, 18:53
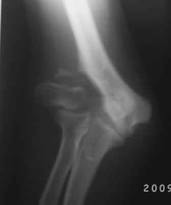
Уважаемые коллеги! Обратился больной 17 лет с жалобами на деформацию пр. локтевого сустава.
Травму получил 7 лет назад. Локально: вальгусная деформация л/с под углом 45гр., сгибание -30, разгибание-170гр., наружный мышелок плеча под пальцами подвижен, что интересно- мышелок плеча при пронации и супинации п/плечья вместе с головкой луча поднимается и опускается( см снимки).
Наш план:
1-этап. Клиновидная остеотомия на вершине деформации плечевой кости, или шарнирная, фиксация в аппарате Илизарова.
2- этап. Честно сказать, я сам еще не знаю, что делать? с этим ложным суставом!
Уважаемые коллеги! Помогите советом!
С уважением Абдурашид.

<  |  >

 

  • Сообщения о Ортопедия и травматология
  • Также Abdurashid
  • Связаться с автором
  • Ответить

    Re: Ложный сустав и деформация плечевой кости
    Гуза Николай 14 Июль 2009, 23:46
    Какая степень подвижности между головкой локтевой ксоти и наружным мыщелком?
    Возможно во время операции необходим артрориз.
    [ Ответить ]

    • Re: Ложный сустав и деформация плечевой кости
      Отправитель: Гуза Николай 14 Июль 2009, 23:52
      Прошу прощения за ошибку.
      Какая степень подвижности между головкой лучевой кости и мыщелеком? (Плече-лучевой сустав)
      Возможно во время операции необходимо провести артрориз плече-лучевого сустава.

      [ Ответить ]
    Re: Ложный сустав и деформация плечевой кости
    Женя 15 Июль 2009, 01:01
    Доброй ночи, Абдурашид!
    Зачем здесь нужна клиновидная или шарнирная остеотомия плечевой кости в аппарате Илизарова? Имеется ложный сустав латерального мыщелка плеча, необходим стабильный синтез его блокируемой пластиной с костной пластикой костными чипсами (наверное) и максимально ранней ЛФК.
    [ Ответить ]

    • Re: Ложный сустав и деформация плечевой кости
      Отправитель: Abdurashid 15 Июль 2009, 19:54
      Уважаемый Николай, Вы правы, больной должен на днях приехать, и буду проверять функцию плече-лучевого сустава, и Вы, наверное, хотели сказать "артролиз" а не "артрориз"? я так понял.

      Уважаемый Женя! Имеется ложный сустав 7-летной давности, за этом время рос только медиальный мышелок, а лат. мышелка почти не
      осталось. имеется только головчатое возвышение, полностью заполнять дефект чипсами или аутопластикой технически невозможно, и это привело бы к импинджменту плече-лучевого сустава, а остеосинтез оставшейся части мышелка к плечевой кости может решать только вопрос ложного сустава, а вальгусная деформация так и остается, поэтому я планировал сначала восстановить биомеханику логичным и проверенным путем- надмышелковой остеотомией плечевой кости. А дальше надо хорошо ортопедически все продумать, и здесь необходим опыт и знания наших ученых и старших уважаемых ортопедов Форума, я очень надеюсь на это!
      С уважением Абдурашид.

      [ Ответить ]
    Re: Ложный сустав и деформация плечевой кости
    Женя 16 Июль 2009, 00:10
    Уважаемый Абдурашид!
    Просто, я имел в виду сначала как-то консолидировать дистальный суставной конец плечевой кости в максимально возможной анатомической позиции, а уж потом, заниматься коррекцией вальгусного локтя. Что касается вида костной пластики (опять-таки, наверное) - чипсы, на фоне стабильной фиксации, выгоднее, т.к. в этом месте кость - сам знаешь - папиросная бумага, ничего "толстого" и "сочного" не поставишь.
    Извиняюсь за обращение "на ты".
    [ Ответить ]

    Re: Ложный сустав и деформация плечевой кости
    Андрей Волна 16 Июль 2009, 21:33
    Уважаемый Абдурашид, 3 важные составляющие данной процесса: 1. Функция сустава; 2. Стабильность сустава; 3. Деформация. И все три составляющие, с моей точки зрения, необходимо учитывать при планировании операции.
    И так, самое главное, что есть в этом суставе на данный момент положительного - это достаточно хорошая функция. И, желательно, функцию эту не потерять в процессе реконструкции. Чего мы хотим добиться? - исправления деформации, насколько я понимаю, прежде всего. Хотим ли мы увеличить стабильность сустава? Очевидно, что да. Но, мы должны с достаточной степенью уверенности осознавать, что платой за увеличение стабильности, в том числе и за восстановление костной массы, платой за сращение в наружных отделах сустава будет потеря функции в той ли иной степени. Вплоть до полной потери движений. Вы ведь сами отмечаете, что при супинационных движениях происходят сложные вращательно- - поступательные движения головки лучевой кости ВМЕСТЕ с остатками наружных отделов кости плечевой. И достижение консолидации здесь приведёт к потере, как минимум, пронационно-супинационных движений кисти. Вряд ли это нужно пациенту. Конечно, трудно принять решение в таком сложном случае дистанционно, не имея возможности самостоятельно осмотреть больного, но, наверное, я бы следовал Вашему плану: надмыщелковая остеотомия с фиксацией аппаратом Илизарова и постепенным исправлением деформации (и аппарат, и именно постепенное исправление деформации важны из-за склероза, как мне кажется, избыточно нагружаемой кости в зоне предполагаемой остеотомии). И, конечно, работа локтевого сустава на протяжении всего периода коррекции и фиксации. А дальше - я бы остановился. И дал возможность прожить пациенту жизнь (или её лучшую часть - молодость) с хорошей функцией локтевого сустава. И, ещё раз подчеркну, трудно принять решение в данном случае без осмотра пациента. Но, скорее всего, моё решение было бы именно таким. Но я не исключаю и других вариантов в руках другого хирурга.
    С уважением, Андрей Волна
    [ Ответить ]

    • Re: Ложный сустав и деформация плечевой кости
      Отправитель: Abdurashid 18 Июль 2009, 21:38

      Уважаемый Андрей Волна, я очень рад Вас услышать.
      Вы очень конкретно и правильно поставили вопросы и очень аргументированно анализировали, смысл мне понравился, дело в том что у меня был случай 4-года назад. Б-ная 18 лет, травму получила в детстве, клиника точно такая, только движения в плече-лучевом суставе была сохранена, произведена клиновидная надмышелковая остеотомия, фиксация спицами и тогда была наложена гипсовая повязка на 1,5месяца, разработка движений начался очень хорошо, и она уехала в другой город, где оказывается удалили спицы и она доволно результатом.( ложный сустав латераль. мышелка так и осталось и ей не мешает!)
      Для интереса представляю снимки.
      С уважением и благодарностью Абдурашид.

      Кликните для загрузки файла IMG_0829.jpg
      10KB (10681 bytes)

      [ Ответить ]
    • Re: Ложный сустав и деформация плечевой кости
      Отправитель: Abdurashid 18 Июль 2009, 21:41

      Уважаемый Андрей Волна, я очень рад Вас услышать.
      Вы очень конкретно и правильно поставили вопросы и очень аргументированно анализировали, смысл мне понравился, дело в том что у меня был случай 4-года назад. Б-ная 18 лет, травму получила в детстве, клиника точно такая, только движения в плече-лучевом суставе была сохранена, произведена клиновидная надмышелковая остеотомия, фиксация спицами и тогда была наложена гипсовая повязка на 1,5месяца, разработка движений начался очень хорошо, и она уехала в другой город, где оказывается удалили спицы и она доволно результатом.( ложный сустав латераль. мышелка так и осталось и ей не мешает!)
      Для интереса представляю снимки.
      С уважением и благодарностью Абдурашид.

      Кликните для загрузки файла 1.jpg
      57KB (59263 bytes)

      [ Ответить ]
    • Re: Ложный сустав и деформация плечевой кости
      Отправитель: Abdurashid 18 Июль 2009, 21:42

      Уважаемый Андрей Волна, я очень рад Вас услышать.
      Вы очень конкретно и правильно поставили вопросы и очень аргументированно анализировали, смысл мне понравился, дело в том что у меня был случай 4-года назад. Б-ная 18 лет, травму получила в детстве, клиника точно такая, только движения в плече-лучевом суставе была сохранена, произведена клиновидная надмышелковая остеотомия, фиксация спицами и тогда была наложена гипсовая повязка на 1,5месяца, разработка движений начался очень хорошо, и она уехала в другой город, где оказывается удалили спицы и она доволно результатом.( ложный сустав латераль. мышелка так и осталось и ей не мешает!)
      Для интереса представляю снимки.
      С уважением и благодарностью Абдурашид.

      Кликните для загрузки файла 1 (1).jpg
      50KB (51630 bytes)

      [ Ответить ]
    • Re: Ложный сустав и деформация плечевой кости
      Отправитель: Abdurashid 18 Июль 2009, 21:44

      Уважаемый Андрей Волна, я очень рад Вас услышать.
      Вы очень конкретно и правильно поставили вопросы и очень аргументированно анализировали, смысл мне понравился, дело в том что у меня был случай 4-года назад. Б-ная 18 лет, травму получила в детстве, клиника точно такая, только движения в плече-лучевом суставе была сохранена, произведена клиновидная надмышелковая остеотомия, фиксация спицами и тогда была наложена гипсовая повязка на 1,5месяца, разработка движений начался очень хорошо, и она уехала в другой город, где оказывается удалили спицы и она доволно результатом.( ложный сустав латераль. мышелка так и осталось и ей не мешает!)
      Для интереса представляю снимки.
      С уважением и благодарностью Абдурашид.

      Кликните для загрузки файла IMG_1163.jpg
      15KB (15852 bytes)

      [ Ответить ]
    Re: Ложный сустав и деформация плечевой кости
    Eidelman Mark 17 Июль 2009, 16:45
    Privet zemlyak,
    esli ya pravilno uvudel(kachestvo snimkov ostavlyaet ghelat luchshego!), to eto nonunion of lateral condyle.Esli tak vse chto nado eto dobitsya union.Poslal vam moi sluchay, sdelal open reduction in situ + bone graft.Ilizarov eto klass, no zachem parnya muchit?
    Udachi
    Mark Eidelman,
    Head of Pediatric orthop unit, Haifa, Israel.
    Кликните для загрузки файла abdurasshid.pptx
    865KB (886709 bytes)

    [ Ответить ]

    • Re: Ложный сустав и деформация плечевой кости
      Отправитель: Abdurashid 18 Июль 2009, 21:55

      Привет Mark.
      Спасибо что ответили, действительно это nonunion of Lateral condyle и плюс valgus deformation. Но Марк почеиу-то прикрепленный файл не открывается? Что делать?
      С уважением Абдурашид.

      [ Ответить ]
    Re: Ложный сустав и деформация плечевой кости
    Николай Васильевич 31 Июль 2009, 12:41
    Деформация за счет отсутствия точки опоры на латеральный надмыщелок плеча.
    Предлагаю первым этапом сформировать латеральный надмыщелок за счет костной аутопластики.
    Вторым этапом после восстановления латерального надмыщелка артропластика локтевого сустава.
    Если пациент не согласен на столь длительное лечение, то конечно, коррегирующая остеотомия плечеовй кости.
    [ Ответить ]


    ( Ответить )

    Powered by Zope  Squishdot Powered MedLink
    Посетитель: 0410531
      "По форме правильно, а по существу - издевательство" В.И.Ленин
    ©2001-2019Orthoforum Coordinator.
    [ Главная | Отправить сообщение | Поиск | Админ ]