ВХОД ДЛЯ ПАЦИЕНТОВ
вверх
поиск
админ
главная
исходное
|
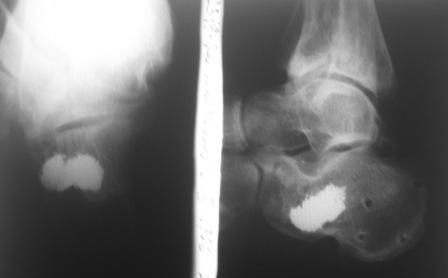
Re: Перелом пяточной кости
послал Александр А. 26 Июль 2009, 11:56
|
Здравствуйте Сергей!
Из личного опыта могу сказать, что всё что в данном случае консервативно или минимизировано, закончится инвалидизацией и негативным отношением пациента к Вам. Можно закрыто выполнить репозицию, но как только, даже в отдалённый период(через 8 месяцев и более)начнётся полноценная нагрузка на конечность кость начнёт проседать со всеми вытекающими.
В качестве примера у себя нашёл снимки больного оперированного около двух лет назад, функция восстановлена полностью, ходит без каких бы то нибыло нарушений, сварщик - работает в полном объёме. Не сохранился первичный снимок, можете поверить на слово перелом примерно аналогичный, как у Вашего пациента.

Другое дело, если действительно не владеете этим способом лечения, у Вас есть время передать больного в другое лечебное учреждение, но это уже решать Вам самому на месте.
Спасибо.
|
| Послать ответ |
Обратите внимание: Поля с жирными названиями обязательны.
Старайтесь отвечать в рамках обсуждаемой темы, а не начинать новые обсуждения.
Указывайте адекватную тему сообщения, чтобы было ясно, о чем оно.
Не послайте сообщений не по теме (оффтопик), раздраженных, грубых или обидных комментариев. Здесь это неуместно.
|