Ответить
|
Re: Перелом пяточной кости
Александр А. 25 Июль 2009, 20:29
|
Добрый вечер Сергей!
Однозначно -операция. Полное конгруэнтное сопоставление суставной поверхности пяточной кости по таранно пяточному суставу с восстановлением высоты кости и правильного таранно пяточного угла. Заполнение дефекта разрушенного губчатого вещества пяточной кости любым остеопротектором, начиная от аутокости, пористый "Никелид", Хронос и т.д., А далее фиксация металлоконструкцией.
Самый дешёвый способ:заполнение дефекта губчатым веществом подвздошной кости с последующей фиксацией спицами Киршнера и внешней иммобилизацией (гипс или АВФ).
Очень хорошо: заполнение дефекта ChronOS Inject, пластина с угловой стабильностью SYNTHES, правда очень дорого.
Я в таких случаях чаще делаю "Пористый Никелид Титана" + пластина с угловой стабильностью "Остеосинтез" Рыбинского производства, у нас их реализует "ДЕОСТ".Считаю вариант наиболее приемлемым в соотношении цена - качество.
Спасибо.
|
[
Ответить ]
|
Re: Перелом пяточной кости
Maxim Agalakov 25 Июль 2009, 21:09
|
задняя фасетка выглядит более-менее целой, передняя - оскольчатая (конечно нужны доп проекции). Если пациент не действующий олимпийский чемпион, ограничился бы репозицией по Essex-Lopresti (перелом похоже начинался как "с языковидным фрвгментом"), возможно с фиксацией винтами через проколы. Очень вероятно, что дело закончится артродезом. но можно сохранить пяточные углы без высокого риска осложнений. Дешево и сердито.
|
[
Ответить ]
|
Re: Перелом пяточной кости
Алексадр Ситник 25 Июль 2009, 21:39
|
Перелом типа "утиного клюва" как и указано ранее,наименее инвазивно - ввести винт Шанца в основной фрагмент, под ЭОП контролем репонировать к суставной тарана с восстановлением формы пятки и всех углов и фиксировать - можно спицы, можно винты канблированные. Если же сроки более нескольких дней - то придется видимо открываться.
|
[
Ответить ]
|
Re: Перелом пяточной кости
Djoldas Kuldjanov 26 Июль 2009, 06:52
|
Переломы пяточной кости в основном ( Richard E. Buckley, MD. http://www.hwbf.org/ota/bfc/buck2/exp.htm) лечатся оперативно Paul Tornetta, MD. http://www.hwbf.org/ota/bfc/torn/exp.htm
Для этого нет необходимости скелетного вытяжения, а достаточно обычной удерживающей повязки (типа Robert Jones) лонгеты с мягкой подстилкой.
Главная задача в течение нескольких дней необходимо проконтролировать отек, особенно в зоне операционного доступа.
Если отсутствуют другие сопутствующие повреждения, обычно до 70% и из них более 10% приходится на нижнию конечность, то больной может быть отпущен домой.
Насчет операции, имеются разные школы, здесь ссылка из дебаты:
Bruce J. Sangeorzan, MD http://www.hwbf.org/ota/otad2/bsan/exp.htm
и Stephen K. Benirschke, MD http://www.hwbf.org/ota/otad2/sben/exp.htm
Один за минимальный, а другой за расширенный доступ, хотя оба являются представителями Сиэтлской школы-Ted Hansenа.
За редким исключением (открытые) такие операции плановые, и если сами не делаете операции на пяточной кости, то у вас достаточного времени для обсуждения перевода больного в отделения, где пройзводятся операции.
Djoldas Kuldjanov, MD
Department of Orthopedic Surgery
St. Louis University Medical Center
|
[
Ответить ]
|
Re: Перелом пяточной кости
Александр А. 26 Июль 2009, 11:56
|
Здравствуйте Сергей!
Из личного опыта могу сказать, что всё что в данном случае консервативно или минимизировано, закончится инвалидизацией и негативным отношением пациента к Вам. Можно закрыто выполнить репозицию, но как только, даже в отдалённый период(через 8 месяцев и более)начнётся полноценная нагрузка на конечность кость начнёт проседать со всеми вытекающими.
В качестве примера у себя нашёл снимки больного оперированного около двух лет назад, функция восстановлена полностью, ходит без каких бы то нибыло нарушений, сварщик - работает в полном объёме. Не сохранился первичный снимок, можете поверить на слово перелом примерно аналогичный, как у Вашего пациента.

Другое дело, если действительно не владеете этим способом лечения, у Вас есть время передать больного в другое лечебное учреждение, но это уже решать Вам самому на месте.
Спасибо.
|
[
Ответить ]
|
Re: Перелом пяточной кости
Отправитель: Maxim Agalakov 27 Июль 2009, 22:27
|
>Другое дело, если действительно не владеете этим способом лечения
собрано действительно здорово, наверное владеете методом, если владеете то встречались с остеомиелитами пятки, как пациенты? позитивно настроены?
сейчас не найду, но в JBJS была обзорная статья в которой они пришли к осторожным выводам о необходимости оп лечения у пациентов с очень высокими требованиями, типа профессиональных спортсменов, если найду, вышлю
|
[
Ответить ]
|
Re: Перелом пяточной кости
Отправитель: Александр А. 02 Август 2009, 11:16
|
Уважаемый Максим!
Долго думал, что Вам ответить, а ответить нечего всё правильно.
Единственное, что могу сказать, что под термином "владеете методом" подразумевается весь спектр мероприятий направленных на уменьшение осложнений, и сама операция это совсем небольшой объём работы от целого. Частности опять таки вырабатываются каждым доктором конкретно. Я например достаточно давно не использую турникет практически при всех операциях, и использую антибиотики местно (знаю, что есть работы доказывающие полную несостоятельность их местного применения), но как только отступаю от этого, обязательно возникают неприятности и т.д. Лично для меня в данном случае двух мнений быть не может, только операция, использовать малоинвазивные способы не имею технических возможностей, а раз не делал то и не обсуждаю. Однако согласитесь, что спица при импрессии костного вещества, да ещё и с грузом это уж совсем лишнее мероприятие. Что касается консервативного лечения, оно ведь не менее трудоёмко, почему-то у многих после рекомендаций лечить консервативно возникает тождество "ничего не делать".Очень хороший материал по ссылке ниже Волна А.А. но и там нет чёткого представления оперативно или консервативно, можешь делай операцию не можешь лечи консервативно.
Спасибо.
|
[
Ответить ]
|
|
Re: Перелом пяточной кости
дмитрий бондарь 26 Июль 2009, 19:25
|
Приветствую,коллеги!Извините,но немного непонятно , как можно советовать, основываясь на только одной проекции. Извините, но необходимы, как минимум, аксильная (Харриса) и косая (Бродена)проекции . Это даёт неоходимый минимум информации о степени разрушения подтаранного сустава. Хорошо бы так же иметь КТ и фото мягких тканей(внешний вид пятки). После этого стоит говорить о тактике лечения
С уважением Д.Б.
|
[
Ответить ]
|
Re: Перелом пяточной кости
Отправитель: Александр А. 27 Июль 2009, 16:53
|
Уважаемый Дмитрий! Абсолютно с Вами согласен, но думаю, что это уже частности необходимые для предоперационного планирования и зависят от мощности лечебного учереждения, чем и будет заниматься доктор непосредственно сам. Вопрос же принципиально заключается как оперировать? И мне кажется, что даже по этому малоинформативному снимку Вы представляете степень разрушения кости.
Спасибо.
|
[
Ответить ]
|
|
Re: Перелом пяточной кости
Андрей Волна 31 Июль 2009, 05:44
|
Уважаемые коллеги! Полностью согласен с тем, что принятие решения о хирургическом лечении перелома пяточной кости - вопрос крайне ответственный. Не так давно для курсов АО в Украине сделал лекцию по данной теме и разместил её на Российском АО сайте. Может быть, кому-то она окажется полезной. Адрес: http://aoalumni.ru/?p=page&id=45
С уважением, Андрей
|
[
Ответить ]
|
Re: Перелом пяточной кости
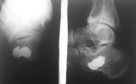
Отправитель: Сергей 04 Август 2009, 11:35
|
Сделали данному больному операцию. Фиксация перелома спицами. Это интраоперационный снимок.

|
[
Ответить ]
|
|
Re: Перелом пяточной кости
РОМАН БУТУЗОВ 29 Декабрь 2010, 05:08
|
ЗДРАСТВУЙТЕ. ПОДСКАЖИТЕ ПОЖАЛУЙСТА 2 МЕСЯЦ НАЗАД Я УПАЛ С 4ГО ЭТАЖА-СЛОМАЛ ПЯТКУ. МНЕ СДЕЛАЛИ ОПЕРАЦИЮ, С ТАЗА ВЗЯЛИ КОСТЬ И ВСУНУЛИ В ПЯТКУ. ВРАЧИ ПРОМУЧАЛИ МЕНЯ ПОЧТИ 2 МЕСЯЦА И В ОКАНЦОВКЕ НЕ ДАЛИ ГАРАНТИИ ЧТО Я СМОГУ НАСТУПАТЬ НА НЕЕ И ЧТО ВОЗМОЖНЫ ЕЩЕ ОПЕРАЦИИ. СЕЙЧАС Я НАХОЖУСЬ ДОМА НА ЛЕЧЕНИИ С СПИЦАМИ В ПЯТОЧНОЙ КОСТИ. ВРАЧИ НЕ МОГУТ СКАЗАТЬ КОГДА Я СМОГУ ХОДИТЬ.ЧТО МНЕ ДЕЛАТЬ В ТОЙ СИТУАЦИИ?
Фото0046.jpg
172KB (176231 bytes)
|
[
Ответить ]
|
( Ответить )
|
|