AOTRAUMA.ORG Центр Илизарова  

Ортопедия и травматология Общие вопросы/General questions Help Информационные технологии в медицине
 вверх
 отправить
 поиск
 админ
 главная
 Предыдущее


Re: Чрезвертельный перелом бедра
Гладков Алексей 10 Август 2009, 07:59
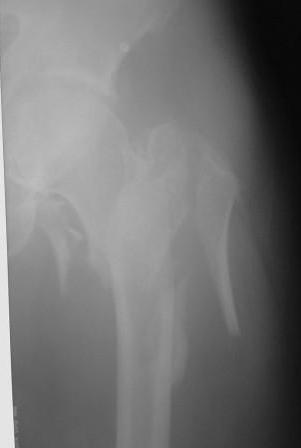
По нашему мнению линия перелома проходит вверху через латеральный отдел шейки бедра, вертельная область состоит из нескольких фрагментов. В таких условиях применить DHS или дистальную бедренную пластину LCP представляется нам сомнительным. Закрытый остеосинтез проксимальным гамма-гвоздем или PFNa невозможен т.к. нет ЭОПа.
Возможно открытый остеосинтез гвоздем PFNa?



Прилагаю Р-ы на вытяжении.

  • Сообщения о Ортопедия и травматология
  • Также Гладков Алексей
  • Связаться с автором
  • Ответить

    Re: Чрезвертельный перелом бедра
    Alexander Chelnokov 10 Август 2009, 14:15
    ГА> фрагментов. В таких условиях применить DHS или дистальную
    ГА> бедренную пластину LCP представляется нам сомнительным.


    Да, с пластинкой тут не очень уютно.

    ГА> Закрытый остеосинтез проксимальным гамма-гвоздем или PFNa невозможен т.к. нет ЭОПа.

    Насчет "невозможен" - это чересчур. Некомфортно, трудно, долго, но сделать вполне можно.
    Нужно либо тракционный стол, либо дистрактор таз-бедро, под диафиз надо будет поднимающую кпереди планку предусмотреть. Ну и ввести спицу по оси бедра через верхушку вертела (2 проекции), вскрыть канюлированным шилом вход, ввести проводник (2 проекции), рассверлить или сразу ввести стержень, убрать проводник, ввести спицу на место шеечного винта (2 проекции). Скорее всего, убрать спицу и подкорректировать положение гвоздя по глубине и ротации, еще раз спицу в шейку и 2 проекции. Ну и если все на месте, померять нужную длину винта по введенной спице. И ввести винт. Дистально можно ничего не вводить, с нагрузкой потом не торопиться только.

    ГА> Возможно открытый остеосинтез гвоздем PFNa?

    Открыто - теряется компонент репозиции за счет мягкотканого футляра. Можно и этим гвоздем, конечно, если это самый доступный имплантат. Хотя можно и любым другим, лишь бы была возможность предварительно ввести на место шеечного винта спицу и сделать снимок в 2 проекциях.
    А с этим клинком еще там с глубиной введения могут быть проблемы.


    [ Ответить ]

    • Re: Чрезвертельный перелом бедра
      Отправитель: Дендымарченко Роман 11 Август 2009, 19:56
      Продолжая дискуссию; проксимальным штифтом длинной версии или достаточно короткой для данного перелома?

      [ Ответить ]
      • Re: Чрезвертельный перелом бедра
        Отправитель: Alexander Chelnokov 11 Август 2009, 22:59
        Короткие - это 180-240 мм. Здесь даже самый короткий подойдет, конечно. Наверно, без ЭОП это даже более предпочтительный вариант из-за беспроблемного дистального запирания.

        [ Ответить ]
        • Re: Чрезвертельный перелом бедра
          Отправитель: В.Машталов 12 Август 2009, 15:41
          Я бы не рисковал с короткой версией, лучше длинную и и дистально не блокировать, чем короткую с блокированием.

          В.Машталов

          [ Ответить ]
    Re: Чрезвертельный перелом бедра
    Maxim Agalakov 11 Август 2009, 21:53
    >Прилагаю Р-ы на вытяжении.
    если нет возможности для закрытой операции - лечите консервативно, стояние отломков вполне приемлимое. Если пациенту 60 лет, то скорее всего он сможет перенести скелетное вытяжение и гипс. Поскольку тема обсуждается, значит проблеме не первый день, так что открытый остеосинтез сейчас скорее всего не улучшит прогноз, а периоперационных проблем может добавить.
    [ Ответить ]


    ( Ответить )

    Powered by Zope  Squishdot Powered MedLink
    Посетитель: 0014038
      "По форме правильно, а по существу - издевательство" В.И.Ленин
    ©2001-2019Orthoforum Coordinator.
    [ Главная | Отправить сообщение | Поиск | Админ ]