вверх
отправить
поиск
админ
главная
|
очередной посттравматический артроз голеностопного сустава |
 |
 |
 |
Отправлено Батал Шушания 03 Сентябрь 2009, 22:40 ФГУ "3ЦВКГ имени А. А. Вишневского Минобороны России"
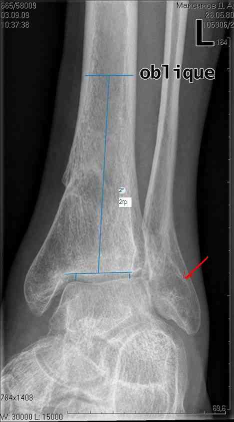
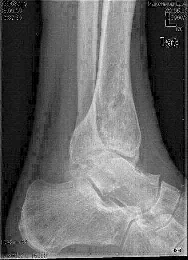
Здравствуйте коллеги. Представляю молодого человека 28 лет, получившего травму в апреле 2008года. Травму он получил на работе, левая голень со стопой оказались зажатыми между двумя тяжелыми предметами. В результате открытые переломы 1,2,3 плюсневых костей с размозжением мягких тканей над ними, открытый перелом наружной лодыжки со смещением дистального отломка кзади и подвывихом стопы кнаружи с размозжением мягких тканей над лодыжкой, закрытые переломы внутренней лодыжки и дистального метэпифиза большеберцовой кости.Учитывая наличие размозжения тканей стопы и области голеностопного сустава лечили в аппарате внешней фиксации. Переломы срослись, однако имеет место незначительный подвывих стопы кнаруже и неправильно сросшийся отломок наржной лодыжки (смещен кзади)Сегодня пациента ничего не беспокоит (с его слов. Клинически левый голеностопный сустав не отечный,пальпация всех структур данного сустава безболезненна. Имеет место ограничение тыльного сгибания стопы (сгибание к тылу стопы составляет до 10-15 гр), в связи с этим имеет место гиперподвижность в суставе Шопара. Пациент ходит со стельками (индивидуальные).Нужна ли пациенту реконструктивная операция в голеностопном суставе: исправление взаимоотношений в наружных отделах голеностопного сустава или что еще?С уважением Батал Шушания.
<
|
>
|
|
Ответить
|
Re: очередной посттравматический артроз голеностопного сустава
Батал Шушания 04 Сентябрь 2009, 20:30
|
Трофика тканей в области левого голеностопного сустава, на сегодня, не страдает. Потому, если оперировать, можно использовать любой доступ (смотря что собираешься делать).
Я хотел, через латеральный доступ, подойти к наружней лодыжке и дистальному межберцовому синдесмозу, остеотомировать латеральную лодыжку, расчистить от рубцов синдесмоз,вернуть лодыжку из порочного положения на место и произвести остеосинтез малоберцовой кости (треть трубчатой пластиной с угловой стабильностью). Но качество кости малоберцовой кости меня смущает для такого остеосинтеза. Можно для малоберцовой кости применить интрамедуллярный остесинтез....
Для большеберцовой кости, стоит ли делать корригирующую остеотомию, насколько это будет оправдано? Что скажите господа?
КТ исследование я не планировал, наверное надо сделать.
|
[
Ответить ]
|
Re: очередной посттравматический артроз голеностопного сустава
Dr. A. Liberson 04 Сентябрь 2009, 21:15
|
I would suggest him surgery, depending on soft tissue status from preferebly lateral, but possibly medial approach.
A CT-must.
AL
|
[
Ответить ]
|
Re: очередной посттравматический артроз голеностопного сустава
Женя 05 Сентябрь 2009, 01:46
|
Наверное наружная лодыжка ушла назад не одна - такое впечатление, что был сломан и задний отдел б/берцовой кости (малоберцовая вроде прямая, а эпифиз широковат, как-то). Поэтому, думается, что гоняться за лодыжкой и синдесмозом не стоит. А вот вальгусный голеностоп и деф. артроз таранно-ладьевидного сустава - налицо. Вальгус надо устранять и, скорее всего, в АВФ единым блоком (надлодыжечная остеотомия обеих костей). Что пациент сам-то хочет? Если его устраивает нынешнее положение вещей, в стельках ему комфортно, то зачем огород городить (к этому суставу, рано или поздно, все-равно придется возвращаться)?
|
[
Ответить ]
|
Re: очередной посттравматический артроз голеностопного сустава
травматолог 07 Сентябрь 2009, 14:50
|
учитывая асептический некроз блока тарана - артродез.
|
[
Ответить ]
|
Re: очередной посттравматический артроз голеностопного сустава
Отправитель: Alexey Semenisty 07 Сентябрь 2009, 19:49
|
Уважаемый "травматолог", а по каким признакам Вы "учли" асептический некроз таранной кости? Артродез - это конечно здорово! Но ведь: "...Сегодня пациента ничего не
беспокоит (с его слов. Клинически левый голеностопный сустав не отечный,пальпация всех
структур данного сустава безболезненна. Имеет место ограничение тыльного сгибания стопы..."
Так уж прям сразу артродез?! Какую задачу он сейчас решит???
О реконструктивной операции еще, пожалуй, можно подумать, и то, сначала хорошо подумать и обдумать, а потом за нож хвататься...
С уважением, А.Семенистый.
ГКБ № 13, Москва.
|
[
Ответить ]
|
Re: очередной посттравматический артроз голеностопного сустава
Отправитель: травматолог 11 Сентябрь 2009, 16:53
|
кисты тарана прослеживаются хорошо.
можно сделать скт для убедительности.
если пациента ничего не беспокоило, - вопроса на форуме не было.
|
[
Ответить ]
|
|
Re: очередной посттравматический артроз голеностопного сустава
Zeev Glozman 07 Сентябрь 2009, 16:03
|
Запах TraumaCAD чувствую. Хотите еше семинар?
|
[
Ответить ]
|
Re: очередной посттравматический артроз голеностопного сустава
Дедок Михаил 08 Сентябрь 2009, 15:16
|
По моему, ответ в фразе- "Сегодня пациента ничего не беспокоит". Наверно я слишком консервативен, но оперировать надо когда этого очень просит больной.
он просит?
не надо артродеза , лучше остеосинтез.
Дедок М.
|
[
Ответить ]
|
Re: очередной посттравматический артроз голеностопного сустава
Andrew Verkhovsky 09 Сентябрь 2009, 12:47
|
Батал Шушания ответ на Ваш вопрос кроется в самом вопросе, надо только заменить одно слово:"НУЖНА ли пациенту реконструктивная операция в голеностопном суставе" на "ПОКАЗАНА ли пациенту реконструктивная операция в голеностопном суставе" вот и все. А показания к подобного рода операциям, я уверен, вы знаете не хуже любого из нас.
С уважением Андрей Верховский.
|
[
Ответить ]
|
Re: очередной посттравматический артроз голеностопного сустава
Отправитель: Djoldas Kuldjanov 17 Сентябрь 2009, 19:07
|
>ПОКАЗАНА ли пациенту реконструктивная операция в голеностопном суставе" вот и все.
Больному всего 28.
На рентгенограмме вальгус, на боковом снимке не видна суставная щель и клинически явная деформация.
Больные, особенно активные молодые, достаточно не осведомлены о последствиях неустраненных смещений. Не желая потерять активность, они избегают разговоров про восстановительные операции. Тем более под внушением лечаших врачей что у него "все в норме", и при отсутствии боли больные с трудом соглашаются на повторные операции.
Реконструктивная операция является профилактикой ранних артрозов.
Мы предпочитаем через передне-латеральный доступ устранить вальгус, и удлинить малоберцовую. Из пластин предпочитаем Synthes LCP Anterior Lateral Distal Tibia Plate и для малоберцовой любая лодыжечная пластина.
Djoldas Kuldjanov, MD
Department of Orthopedic Surgery
St. Louis University Medical Center
|
[
Ответить ]
|
|
( Ответить )
|
|