ВХОД ДЛЯ ПАЦИЕНТОВ
вверх
поиск
админ
главная
исходное
|
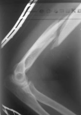
Re: Перелом н\3 плечевой кости. Тактика лечения?
послал Александр А. 26 Сентябрь 2009, 15:43
|
Здравствуйте Сергей!
Перелом нестабильный, тактика - если позволяет сосояние больной, оперативное лечение. Как пример см. ниже, можно без скобы - стяжки с ЭПФ.

Представленный способ, функциональный, данная больная в качестве внешней иммобиллизации в течение 3-х недель полльзовалась косыночной повязкой, востановление функции плеча полное. Правда травма изолированная, но операция выполнялась через три недели после травмы, тот час после обращения ко мне - иногородняя.
Спасибо.
|
| Послать ответ |
Обратите внимание: Поля с жирными названиями обязательны.
Старайтесь отвечать в рамках обсуждаемой темы, а не начинать новые обсуждения.
Указывайте адекватную тему сообщения, чтобы было ясно, о чем оно.
Не послайте сообщений не по теме (оффтопик), раздраженных, грубых или обидных комментариев. Здесь это неуместно.
|