Ответить
|
Re: Перелом н\3 плечевой кости. Тактика лечения?
Александр А. 26 Сентябрь 2009, 15:43
|
Здравствуйте Сергей!
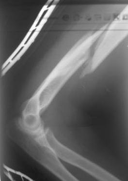
Перелом нестабильный, тактика - если позволяет сосояние больной, оперативное лечение. Как пример см. ниже, можно без скобы - стяжки с ЭПФ.

Представленный способ, функциональный, данная больная в качестве внешней иммобиллизации в течение 3-х недель полльзовалась косыночной повязкой, востановление функции плеча полное. Правда травма изолированная, но операция выполнялась через три недели после травмы, тот час после обращения ко мне - иногородняя.
Спасибо.
|
[
Ответить ]
|
Re: Перелом н\3 плечевой кости. Тактика лечения?
Александр А. 26 Сентябрь 2009, 16:00
|
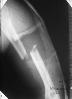
Досылаю ещё вложения не прошли с первого раза.
|
[
Ответить ]
|
Re: Перелом н\3 плечевой кости. Тактика лечения?
Отправитель: Сергей 26 Сентябрь 2009, 17:58
|
А вы не хотели поставить штифт... мы хотим штифтовать, единственный вопрос можно ли поставить антеградно или нет?
|
[
Ответить ]
|
Re: Перелом н\3 плечевой кости. Тактика лечения?
Отправитель: Александр А. 26 Сентябрь 2009, 20:02
|
А почему нет? Это был только пример, а способ тот который у вас чаще и лучше применяется. Антеградно только блокировать в двух плоскостях.
Спасибо.
|
[
Ответить ]
|
Re: Перелом н\3 плечевой кости. Тактика лечения?
Отправитель: Alexander Chelnokov 26 Сентябрь 2009, 20:11
|
мы хотим штифтовать, единственный вопрос можно ли поставить антеградно или нет?
Напомню расхожую истину, что хороший вопрос должен содержать как минимум половину ответа. На вопрос в исходном виде адекватно было ответить цитатами из руководств про общие принципы лечения переломов диафиза плеча. С которыми, видимо, все и так знакомы - чего про хрестоматийные вещи спрашивать?
А на самом-то деле вопрос, оказывается, не общий. А есть какие-то конкретные детали ситуации, свои соображения. Которые лучше бы сразу и было приводить. Какие возможности есть на месте, что доступно из имплантатов и оснащения, что сами думаете, в чем же конкретно проблема с выбором тактики?
На Ваш "единственный вопрос можно ли поставить антеградно или нет?" ответ утвердительный. Да, можно. Другие вопросы не появились в связи
с этим?
|
[
Ответить ]
|
Re: Перелом н\3 плечевой кости. Тактика лечения?
Отправитель: Сергей 27 Сентябрь 2009, 01:22
|
Напомню расхожую истину, что хороший вопрос должен содержать как минимум половину ответа. На вопрос в исходном виде адекватно было ответить цитатами из руководств про общие принципы лечения переломов диафиза плеча. С которыми, видимо, все и так знакомы - чего про хрестоматийные вещи спрашивать?
А на самом-то деле вопрос, оказывается, не общий. А есть какие-то конкретные детали ситуации, свои соображения. Которые лучше бы сразу и было приводить. Какие возможности есть на месте, что доступно из имплантатов и оснащения, что сами думаете, в чем же конкретно проблема с выбором тактики?
Уавжаемый Александр! Я понял что Вы конечно человек уважаемый! Но что вы сопли по асфальту размазываете... не по-мужски...мне не понятно....я спросил... что в этом такого...я не давно работаю в травме...или сайт создан для того чтобы понтоваться... тогда зачем все это нужно...
|
[
Ответить ]
|
Re: Перелом н\3 плечевой кости. Тактика лечения?
Отправитель: Alexander Chelnokov 27 Сентябрь 2009, 09:17
|
Не стоит все, что Вы, может, с первого прочтения не поняли, уничижительно характеризовать ("сопли размазываете"), да и вообще разговаривать в манере шпаны в подворотне.
Насчет "я спросил... что в этом такого..." - может быть, Вы пока не уяснили, но Ортофорум - не просто справочное бюро для "чайников".
Если у Вас есть вопрос, задавая его, уместно показать, что Вы сами над проблемой поработали, чего удалось добиться, а что осталось непонятно.
И спрашивать при этом получится как раз про то, что на самом деле нужно. Не про как вообще лечить переломы плеча, а, например, можно ли сделать при этом конкретном переломе антеградное штифтование, какие гвозди подходят, а какие нет, какие есть особенности техники при этой локализации перелома. И т.д.
Надеюсь на понимание.
|
[
Ответить ]
|
Re: Перелом н\3 плечевой кости. Тактика лечения?
Отправитель: Сергей 27 Сентябрь 2009, 01:40
|
Какие Вам нужны конкретные ситуации... ведь диагноз есть, Р-снимки представлены... я выссказал свое мнение относительно штифтования... это и так предусматривает что у нас есть достаточное оснащение для этого ... какие еще ситуации нужны... наличие денег у пациента? или что???
|
[
Ответить ]
|
Re: Перелом н\3 плечевой кости. Тактика лечения?
Отправитель: Alexander Chelnokov 27 Сентябрь 2009, 18:14
|
В третий раз терпеливо поясняю. В своем начальном сообщении Вы обозначили проблему так:
Подскажите какую тактику лечения лучше применить в данном случае.
Откуда можно было догадаться, что, оказывается, Вы размышляете о возможности именно интрамедуллярного остеосинтеза? Про то, какие есть для него условия, какие доступны штифты, есть ли римеры, какой опыт штифтования плеча в отделении, Вы до сих пор не упомянули.
В последующем сообщении все-таки про интрамедуллярный остеосинтез Вы, наконец, спросили. Получили ответ, что да, возможно антеградно заштифтовать. Это действительно все, что Вам нужно было узнать?
|
[
Ответить ]
|
Re: Перелом н\3 плечевой кости. Тактика лечения?
Отправитель: Ivan Petrov 29 Сентябрь 2009, 12:06
|
Уважаемый товарисч.Данный перелом можно вылечить антероградным, ретроградным штифтованием, пластиной, аппаратом внешней фиксации, вытяжением за локтевой отросток на шине ЦИТО. Учитывая наличие тяжелой ЧМТ предпочтение должно отдаваться минимальноинвазивной технике.
Язык "падонкафф" на форуме не уместен. Если все мы начнем советовать друг другу "выпить йаду" и "убираться в Бобруйск", то это будет совсем другой форум.
Качество паредставленных Вами рентгеновских снимков крайне низкое, что косвенно свидетельствует об общей культуре работы в Вашем отделении.
Humerus.jpg
170KB (174189 bytes)
|
[
Ответить ]
|
Re: Перелом н\3 плечевой кости. Тактика лечения?
Отправитель: Бережной С. 26 Сентябрь 2009, 18:02
|
У Синтеза (да и у других производителей, вероятно) есть блокируемые метадиафизарные пластины. Как раз для таких случаев. Учитывая высокую вероятность появления гетеротопических оссификатов на фоне ОЧМТ, успех во многом будет определяться стабильной фиксацией, санацией посттравматической гематомы, профилактикой послеоперационной гематомы (адекватный дренаж, эластичное бинтование), ранней разработкой движений.
|
[
Ответить ]
|
Re: Перелом н\3 плечевой кости. Тактика лечения?
Отправитель: Александр А. 26 Сентябрь 2009, 20:20
|

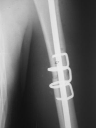
Да, как раз блокированная пластина и стоит, не синтезовская метадиафизарная, Рыбинская, но на порядок дешевле, а профилактика всех осложнений - в данном конкретном случае, начало ранней на вторые сутки - после удаления дренажа разработки движений в смежных суставах. Если же идти с ревизией т.е. всё равно, открыто как вариант небольших разрезов при поперечном переломе можно и комбинированный мос (см.на вкладыше), хотя думаю для такого способа перелом всётаки низковат.
Спасибо.
|
[
Ответить ]
|
Re: Перелом н\3 плечевой кости. Тактика лечения?
Отправитель: Alexey Semenisty 27 Сентябрь 2009, 08:52
|
.... Если же идти с ревизией т.е. всё равно, открыто как вариант небольших разрезов при поперечном переломе можно и комбинированный мос (см.на вкладыше), хотя думаю .
Ничего не понял((... чтто значит: "всё равно, открыто как вариант небольших разрезов при поперечном переломе"???, "комбинированный мос"???... что смотреть на вкладыше?
"..для такого способа перелом всётаки низковат" - для какого такого??
Dear Сергей!
... Техничски возможно и анте- и ретроградно штифтовать, и открыто и закрыто, а также остеосинтез радиционной пластиной или LCP , и спереди и сзади тоже возможно...
Мы бы, скорее всего, предпочли антеградное штифтование
С уважением, А.Семенистый.
ГКБ № 13, Москва.
|
[
Ответить ]
|
Re: Перелом н\3 плечевой кости. Тактика лечения?
Отправитель: Сергей 27 Сентябрь 2009, 18:17
|
Спасибо Алексей! Я и планировал провести антеградное штифтование но меня смущал относительно небольшой дистальный отломок. Может для кого-то данные вопросы и кажутся пустяком...но я только недавно начал использовать в своей работе штифты преимущественно Synthes. Еще раз спасибо
|
[
Ответить ]
|
Re: Перелом н\3 плечевой кости. Тактика лечения?
Отправитель: Alexander Chelnokov 27 Сентябрь 2009, 18:50
|
Может для кого-то данные вопросы и кажутся пустяком...
В том-то и беда, что Вы не задаете те вопросы, которые бы следовало задать, если предстоит не сильно знакомая операция антеградного остеосинтеза довольно дистального перелома плеча.
Давайте я Вам задам несколько вопросов. Какой гвоздь будуете использовать - производитель, длина, диаметр? Будете ли рассверливать канал? Чем, до какого диаметра? Как будете делать репозицию - на руках, дистрактор? Как будете запирать стержень в дистальном отломке - направление, количество винтов?
Спасибо.
|
[
Ответить ]
|
Re: Перелом н\3 плечевой кости. Тактика лечения?
Отправитель: Александр А. 30 Сентябрь 2009, 20:28
|
Уважаемый Алексей Юрьевич!
Всё правильно, просто я несколько разрозненно пытался сказать на частных примерах, то , что Вы систематизировали. Совершенно верно данный перелом можно и так и эдак, наиболее оптимально антеградное штифтование, хотя я бы предпочёл пластину LCP(просто - ну лучше у меня это получается и всё, а больному не вредит тот же функциональный способ). А низковато для неблокированного штифтования с конструкциями с термомеханической памятью, то, что представленно на втором снимке.
Спасибо.
|
[
Ответить ]
|
|
Re: Перелом н\3 плечевой кости. Тактика лечения?
кондырев николай 29 Сентябрь 2009, 23:20
|
Полностью согласен с Ivan Petrov по поводу большого объема травмы и, как разумного решения - малоинвазивной техники вмешательства.
Я бы остановился на 2-х TEN-ах(фирма Synthes) через мыщелки плеча и в U-образную гипсовую лонгету. Если, конечно сроки после травмы не требуют рассверливания к/м канала.
|
[
Ответить ]
|
Re: Перелом н\3 плечевой кости. Тактика лечения?
Отправитель: Alexey Semenisty 30 Сентябрь 2009, 13:00
|
Я бы остановился на 2-х TEN-ах(фирма Synthes) через мыщелки плеча и в U-образную гипсовую лонгету.
А разве в показаниях для применения TEN-ов говорится об их использовании при лечении диафизарных переломов плеча у взрослых???
Если, конечно сроки после травмы не требуют рассверливания к/м канала.
Разве сроки после травмы являются определяющими необходимость рассверливания???
С уважением, А.Семенистый.
ГКБ № 13, Москва.
|
[
Ответить ]
|
Re: Перелом н\3 плечевой кости. Тактика лечения?
Отправитель: кондырев николай 01 Октябрь 2009, 20:06
|
Там так же не сказано про остеосинтез TEN-ами переломов лодыжек, обеих костей предплечья(даже лучевой), ключицы, пястных костей и т.д.
Именно нижняя треть плеча для подобного нестабильного синтеза весьма спорный вопрос.
Готов обсудить.
|
[
Ответить ]
|
Re: Перелом н\3 плечевой кости. Тактика лечения?
Отправитель: Alexey Semenisty 01 Октябрь 2009, 23:23
|
Там так же не сказано про остеосинтез TEN-ами переломов лодыжек, обеих костей предплечья(даже лучевой), ключицы, пястных костей и т.д.
Не сказано, видимо, для того, чтоб этого не делали. Во всяком случае, при перечисленных Вами переломах, TEN не является имплантатом выбора, а скорее он имплантат резерва 2-го или даже 3-го порядка.
Именно нижняя треть плеча для подобного нестабильного синтеза весьма спорный вопрос.
Готов обсудить.
Не понято, что Вы готовы обсуждать? - Нестабильность остеосинтеза обсуждаемого перелома TEN? Преимущества применения в данном случае TEN перед блокируемым интрамедуллярном остеосинтезом UHN и его аналогами, или LCP?
С уважением, А.Семенистый.
ГКБ № 13, Москва.
|
[
Ответить ]
|
Re: Перелом н\3 плечевой кости. Тактика лечения?
Отправитель: Alexander Chelnokov 01 Октябрь 2009, 23:32
|
AS> Не сказано, видимо, для того, чтоб этого не делали. Во всяком
AS> случае, при перечисленных Вами переломах, TEN не является
Алексей, дорогой, там много чего не сказано, и не стоит относится к этим текстам как с небес Господом спущенным скрижалям, мол, раз там нету - то и не моги даже в ту сторону глядеть. Off-label use дает много интересного и полезного.
AS> Не понято, что Вы готовы обсуждать? - Нестабильность
AS> остеосинтеза обсуждаемого перелома TEN?
Эластичный стабильный интрамедуллярный остеосинтез (ESIN) существует
во множестве вариантов. TEN здесь, наверно, не оптимальный, да еще и дорогой. Вполне можно обсуждать и ESIN, и ригидный гводь, и что-то
еще... Лишь бы интересно было самимм обсуждающим. А если это поможет определиться с решением по конкретному пациенту - и вовсе замечательно.
|
[
Ответить ]
|
Re: Перелом н\3 плечевой кости. Тактика лечения?
Отправитель: Пациент 04 Октябрь 2009, 22:38
|
Ну вы уж определитесь там поскорее, а то в гипсе задолбался ходить, чесслово
|
[
Ответить ]
|
Re: Перелом н\3 плечевой кости. Тактика лечения?
Отправитель: кондырев николай 02 Октябрь 2009, 23:21
|
Александр, спасибо огромное - ответили на половину вопроса, практически моими словами.
Уважаемый Алексей! В какой-то момент в нашей клинике пришлось отказаться от применения классических стержней Богданова по причине их ужасающего качества(узлом можно было завязывать). Оперировали травматично, открыто и без ЭОПа. Были случаи заклинивания толстых штифтов. На тот момент АО с концепцией открытого стабильного синтеза (тогда еще LC-DCP) несомненно была на высоте.
Но за достаточно короткое время даже такая ригидная организация пресмотрела свои позиции в пользу биологичного синтеза.
Так вот, в локализациях тонких трубчатых костей, где блокированный штифт неприменим, наиболее биологичным оказывается эластичное штифтование, пусть и с дополнительной гипсовой фиксацией. Все зависит от возраста, соматики пациента, а так же от состояния мягких тканей.
По поводу представленного больного, соглашусь, что в дистальном отломке вполне уместится штифт-эксперт, хотя чтобы провести репозицию + заблокировать все 4 отверстия, придется здорово помять окружающие кость ткани.
|
[
Ответить ]
|
Re: Перелом н\3 плечевой кости. Тактика лечения?
Отправитель: Alexey Semenisty 04 Октябрь 2009, 00:21
|
Но за достаточно короткое время даже такая ригидная организация пресмотрела свои позиции в пользу биологичного синтеза..
То, что АО "такая ригидная организация" это заблуждение)
По поводу представленного больного, соглашусь, что в дистальном отломке вполне уместится штифт-эксперт,
Именно, обсуждается конкретный случай.
хотя чтобы провести репозицию + заблокировать все 4 отверстия, придется здорово помять окружающие кость ткани.
А зачем все 4?.. да и разве их там 4 (дистально)? Достаточно 2-х.
С уважением, А.Семенистый.
ГКБ № 13, Москва.
|
[
Ответить ]
|
|
( Ответить )
|
|