вверх
отправить
поиск
админ
главная
Предыдущее
Весь тред
|
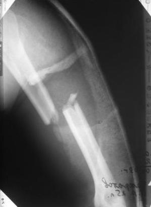
Re: Перелом н\3 плечевой кости. Тактика лечения?
Александр А. 26 Сентябрь 2009, 20:20
|

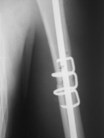
Да, как раз блокированная пластина и стоит, не синтезовская метадиафизарная, Рыбинская, но на порядок дешевле, а профилактика всех осложнений - в данном конкретном случае, начало ранней на вторые сутки - после удаления дренажа разработки движений в смежных суставах. Если же идти с ревизией т.е. всё равно, открыто как вариант небольших разрезов при поперечном переломе можно и комбинированный мос (см.на вкладыше), хотя думаю для такого способа перелом всётаки низковат.
Спасибо.
|
|
|
Ответить
|
Re: Перелом н\3 плечевой кости. Тактика лечения?
Alexey Semenisty 27 Сентябрь 2009, 08:52
|
.... Если же идти с ревизией т.е. всё равно, открыто как вариант небольших разрезов при поперечном переломе можно и комбинированный мос (см.на вкладыше), хотя думаю .
Ничего не понял((... чтто значит: "всё равно, открыто как вариант небольших разрезов при поперечном переломе"???, "комбинированный мос"???... что смотреть на вкладыше?
"..для такого способа перелом всётаки низковат" - для какого такого??
Dear Сергей!
... Техничски возможно и анте- и ретроградно штифтовать, и открыто и закрыто, а также остеосинтез радиционной пластиной или LCP , и спереди и сзади тоже возможно...
Мы бы, скорее всего, предпочли антеградное штифтование
С уважением, А.Семенистый.
ГКБ № 13, Москва.
|
[
Ответить ]
|
Re: Перелом н\3 плечевой кости. Тактика лечения?
Отправитель: Сергей 27 Сентябрь 2009, 18:17
|
Спасибо Алексей! Я и планировал провести антеградное штифтование но меня смущал относительно небольшой дистальный отломок. Может для кого-то данные вопросы и кажутся пустяком...но я только недавно начал использовать в своей работе штифты преимущественно Synthes. Еще раз спасибо
|
[
Ответить ]
|
Re: Перелом н\3 плечевой кости. Тактика лечения?
Отправитель: Alexander Chelnokov 27 Сентябрь 2009, 18:50
|
Может для кого-то данные вопросы и кажутся пустяком...
В том-то и беда, что Вы не задаете те вопросы, которые бы следовало задать, если предстоит не сильно знакомая операция антеградного остеосинтеза довольно дистального перелома плеча.
Давайте я Вам задам несколько вопросов. Какой гвоздь будуете использовать - производитель, длина, диаметр? Будете ли рассверливать канал? Чем, до какого диаметра? Как будете делать репозицию - на руках, дистрактор? Как будете запирать стержень в дистальном отломке - направление, количество винтов?
Спасибо.
|
[
Ответить ]
|
Re: Перелом н\3 плечевой кости. Тактика лечения?
Отправитель: Александр А. 30 Сентябрь 2009, 20:28
|
Уважаемый Алексей Юрьевич!
Всё правильно, просто я несколько разрозненно пытался сказать на частных примерах, то , что Вы систематизировали. Совершенно верно данный перелом можно и так и эдак, наиболее оптимально антеградное штифтование, хотя я бы предпочёл пластину LCP(просто - ну лучше у меня это получается и всё, а больному не вредит тот же функциональный способ). А низковато для неблокированного штифтования с конструкциями с термомеханической памятью, то, что представленно на втором снимке.
Спасибо.
|
[
Ответить ]
|
|
( Ответить )
|
|