AOTRAUMA.ORG Центр Илизарова  

Ортопедия и травматология Общие вопросы/General questions Help Информационные технологии в медицине
 вверх
 отправить
 поиск
 админ
 главная


Застарелый вывих плеча
Ортопедия и травматология Отправлено Батал Шушания 27 Сентябрь 2009, 21:07 ФГУ "3 ЦВКГ имени А. А. Вишневского Минобороны России"
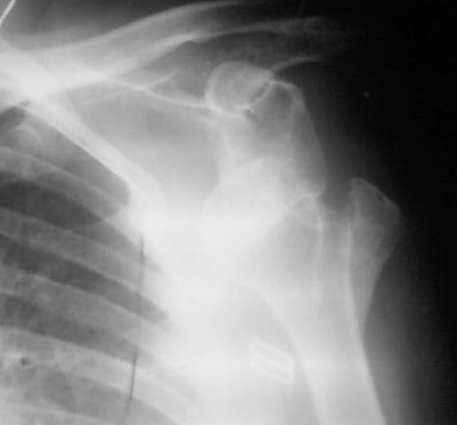
Обратилась девушка 30 лет с жалобами на боли и ограничение движений в левом плечевом суставе.
На рентгенснимке левого плеча в передне-задней проекции полный вывих плеча с отрывом большого бугорка. Пальпаторно головка под клювовидным отростком лопатки. Со слов девушки, 6 месяцев назад получила травму, упала на область левого плеча с высоты примерно 2 метров. За медицинской помощью обратилась только сейчас (не знаю почему столько времени находилась без медицинской помощи....почему то пациентка не хочет об этом говорить). Сейчас больше всего беспокоят боли, чем ограничение движений, хотя ограничение движений в левом плечевом суставе существенное.Неврологических и сосудистых нарушений в левой руке нет
У нас нет опыта вправления плеча, вывихнута через 6 месяцев.
За это время произошло сморщивание капсулы плечевого сустава....
Мы предполагаем открытое вправление головки плеча, остеосинтез большого бугорка, ревизию ротаторов плеча с возможной их пластикой.Не знаем какой будет функциональный результат от нашей операции.
Ваше мнение дорогие коллеги

<  |  >

 

  • Сообщения о Ортопедия и травматология
  • Также Батал Шушания
  • Связаться с автором
  • Ответить

    Re: Застарелый вывих плеча
    Салимов Руслан 27 Сентябрь 2009, 22:37
    Хороший функциональный результат вы врядле получите, это девушке нужно сразу объяснить. Поподробнее соберите анамнез-может быть эпилепсия или шизофрения.Если бы не перелом большого бугорка-можно было бы вправить закрыто( вправяля даже 10 месячные), а так путь один-открытое вправление, возможно придется отсечь клювовидный отросток, а затем остеосинтез его винтом.
    [ Ответить ]

    Re: Застарелый вывих плеча
    Александр Петрушин 28 Сентябрь 2009, 18:26
    Если бы была пациентка пожилого или старческого возраста, можно было оставить и так. Какой-то объем движений сохраняется, в основном за счет лопатки и образующеося со временем неоартроза. Но в 30 лет безусловно открытое вправление с фиксацией большого бугорка. Доступ - передний. скорее всего придется рассечь дельовидную мышцу. После репозиции рекомендовал бы фиксацию головки к суставной впадине 2-мя спицами на 3 нед.
    [ Ответить ]

    Re: Застарелый вывих плеча
    Evgueny 29 Сентябрь 2009, 07:13
    функция сустава потеряна безвозвратно: головка порозна и легко крошится при малейшем давлении, хрящ отслаивается как скорлупа с варённого яйца-
    рефиксация ротаторов с фрагментом большого бугорка не повлияет на исход, их функциональность сомнительна - за 6 мес наступает мышечная жировая
    дистрофия. артродез избавит больную от болей.
    артропластику как вариант можно рассматривать, но вероятность вывихов высока при скомпрометированных ротаторах и капсуле + характерологической особенности самой больной, впечатление о кторой складывается из приведённого
    анамнеза.
    Удачи,
    Е.И.Чекашкин
    [ Ответить ]

    Re: Застарелый вывих плеча
    В.Машталов 29 Сентябрь 2009, 14:12
    Учитывая, что больная 6 месяцев не обращалась за помошью .то и несмотря на 30 лет от роду, я бы рассматривал вопрос- оставить так. Функцию не улучшите, а ответственность за ее отсутствие переложите на себя, дай бог, если все без других осложнений пройдет. Думаю здесь вопрос не в технике операции а в правильности принятия решения о ее необходимости.
    С ув. Машталов В.Д.
    [ Ответить ]

    Re: Застарелый вывих плеча
    Антон Андрианов 29 Сентябрь 2009, 17:34
    Есть масса причин по которым дама могла не обращаться за помощью, причем вполне объективных, социальных.Так как у нее в отличие от пожилых, которые легче адаптируются к ограничению функции и, как правило, не отмечают боли, первым по описанию доктора стоит боль, то операция необходима.Открытое вправление, попытка фиксации фрагмента ББ, теносуспензия и 3-4 недели фиксации на отводящей шине.Это даст какой-то шанс.Ранее на форуме был приведен пример этапного вправления подобного вывиха аппаратом Илизарова.А.Н. может вспомнить.
    [ Ответить ]

    Re: Застарелый вывих плеча
    кондырев николай 29 Сентябрь 2009, 22:57
    Если нет противопоказаний к вмешательству, то с учетом молодого возраста, лучше выполнить открытую репозицию плеча с синтезом такого солидного б/бугорка короткой пластинкой с угловой стабилностью(3-4 диафизарных отверстия). В таких случаях большой бугорок будет удерживаться в основном за счет диафизарной фиксации пластины. Во время подготовки к операции надо сделать рентгеновскую КТ с 3D реконструкцией, запастись эритромассой и плазмой. Вооружившись коагулятором и терпением вполне возможно передним доступом выделить и вправить головку плеча. Если совсем не пойдет - можно отпилить одним блоком малый бугорок плечевой кости с сухожилием подлопаточной мышцы(по аналогии с остеотомией локтевого отростка при остеосинтезе мыщелков плеча), потом подшить к специальным отверстиям в пластине. Не грех дополнительно прошить сухожилия надостной и подостной мышц прямо у б\бугорка и так же зафиксировать лигатуры на пластине. Сразу после операции - фиксация верхней конечности на отводящей шине или подушке(чтоб убрать натяжение без того истощенных ротаторов). Начало пассивных отводящих движений прямо на шине с 4-5 недели. Активные движения с 6-7 недели. Естественно после операции больная должна быть только под Вашим наблюдением, иначе все потраченные усилия бесполезны.
    [ Ответить ]

    Re: Застарелый вывих плеча
    Батал Шушания 30 Сентябрь 2009, 22:15
    Спасибо всем коллегам за столь конструктивное обсуждение. Спасибо отдельное и Николаю Михаиловичу Кондыреву, как знатоку хирургии плечевого сустава за столь детальное изложение тактики хирургического лечения данной больной.
    Постараюсь проинформировать о результатах лечения данной пациентки.
    С уважением Шушания Батал Алексеевич.
    [ Ответить ]


    ( Ответить )

    Powered by Zope  Squishdot Powered MedLink
    Посетитель: 0000718
      "По форме правильно, а по существу - издевательство" В.И.Ленин
    ©2001-2019Orthoforum Coordinator.
    [ Главная | Отправить сообщение | Поиск | Админ ]